Suppr超能文献

RNA 去甲基酶 ALKBH5 通过 m6A-YTHDF2 依赖的方式在后转录水平激活 PER1 来阻止胰腺癌细胞的进展。

RNA demethylase ALKBH5 prevents pancreatic cancer progression by posttranscriptional activation of PER1 in an m6A-YTHDF2-dependent manner.

机构信息

Department of Gastroenterology, Shanghai General Hospital, Shanghai Jiaotong University School of Medicine, No. 100, Haining Road, Shanghai, 200080, People's Republic of China.

Department of Gastroenterology, Xinhua Hospital, Shanghai Jiaotong University School of Medicine, No. 1665, Kongjiang Road, Shanghai, 200092, People's Republic of China.

出版信息

Mol Cancer. 2020 May 19;19(1):91. doi: 10.1186/s12943-020-01158-w.

Abstract

BACKGROUND

N6-methyladenosine (m6A) is the most abundant reversible methylation modification of eukaryotic mRNA, and it plays vital roles in tumourigenesis. This study aimed to explore the role of the m6A demethylase ALKBH5 in pancreatic cancer (PC).

METHODS

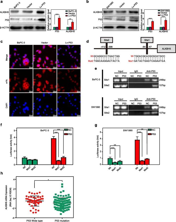
The expression of ALKBH5 and its clinicopathological impact were evaluated in PC cohorts. The effects of ALKBH5 on the biological characteristics of PC cells were investigated on the basis of gain-of-function and loss-of-function analyses. Subcutaneous and orthotopic models further uncovered the role of ALKBH5 in tumour growth. mRNA and m6A sequencing and assays of m6A methylated RNA immunoprecipitation-qPCR (MeRIP-qPCR) were performed to identify the targeted effect of ALKBH5 on PER1. P53-binding sites in the ALKBH5 promoter were investigated by ChIP and luciferase assays to reveal the interplay between ALKBH5 and PER1-activated ATM-CHK2-P53/CDC25C signalling.

RESULTS

ALKBH5 loss characterized the occurrence and poor clinicopathological manifestations in patients with PC. Overexpression of ALKBH5 reduced tumoural proliferative, migrative, invasive activities in vitro and ameliorated tumour growth in vivo, whereas ALKBH5 knockdown facilitated PC progression. Mechanistically, ALKBH5 posttranscriptionally activated PER1 by m6A demethylation in an m6A-YTHDF2-dependent manner. PER1 upregulation led to the reactivation of ATM-CHK2-P53/CDC25C signalling, which inhibited cell growth. P53-induced activation of ALKBH5 transcription acted as a feedback loop regulating the m6A modifications in PC.

CONCLUSION

ALKBH5 serves as a PC suppressor by regulating the posttranscriptional activation of PER1 through m6A abolishment, which may highlight a demethylation-based approach for PC diagnosis and therapy.

摘要

背景

N6-甲基腺苷(m6A)是真核 mRNA 中最丰富的可逆甲基化修饰,在肿瘤发生中发挥着重要作用。本研究旨在探索 m6A 去甲基化酶 ALKBH5 在胰腺癌(PC)中的作用。

方法

在 PC 队列中评估了 ALKBH5 的表达及其临床病理影响。基于功能获得和功能丧失分析,研究了 ALKBH5 对 PC 细胞生物学特性的影响。皮下和原位模型进一步揭示了 ALKBH5 在肿瘤生长中的作用。进行了 mRNA 和 m6A 测序以及 m6A 修饰 RNA 免疫沉淀-qPCR(MeRIP-qPCR)检测,以确定 ALKBH5 对 PER1 的靶向作用。通过 ChIP 和荧光素酶测定研究了 ALKBH5 启动子中的 P53 结合位点,以揭示 ALKBH5 和 PER1 激活的 ATM-CHK2-P53/CDC25C 信号之间的相互作用。

结果

ALKBH5 的缺失特征是 PC 患者的发生和不良临床病理表现。ALKBH5 的过表达减少了体外肿瘤增殖、迁移和侵袭活性,并改善了体内肿瘤生长,而 ALKBH5 的敲低促进了 PC 的进展。机制上,ALKBH5 通过 m6A-YTHDF2 依赖性方式对 PER1 进行转录后激活,从而进行 m6A 去甲基化。PER1 的上调导致 ATM-CHK2-P53/CDC25C 信号的重新激活,从而抑制细胞生长。P53 诱导的 ALKBH5 转录激活作为调节 PC 中 m6A 修饰的反馈回路。

结论

ALKBH5 通过消除 m6A 来调节 PER1 的转录后激活,从而作为 PC 的抑制剂发挥作用,这可能突出了基于去甲基化的 PC 诊断和治疗方法。

https://cdn.ncbi.nlm.nih.gov/pmc/blobs/f1fa/7236181/7c3fd951cefe/12943_2020_1158_Fig1_HTML.jpg

文献AI研究员

20分钟写一篇综述,助力文献阅读效率提升50倍。

立即体验

用中文搜PubMed

大模型驱动的PubMed中文搜索引擎

马上搜索

文档翻译

学术文献翻译模型,支持多种主流文档格式。

立即体验