Suppr超能文献

TASL 是 TLR7-9 激活 IRF5 所必需的 SLC15A4 相关衔接子。

TASL is the SLC15A4-associated adaptor for IRF5 activation by TLR7-9.

机构信息

CeMM Research Center for Molecular Medicine of the Austrian Academy of Sciences, Vienna, Austria.

Boehringer Ingelheim Pharmaceuticals, Ridgefield, CT, USA.

出版信息

Nature. 2020 May;581(7808):316-322. doi: 10.1038/s41586-020-2282-0. Epub 2020 May 13.

Abstract

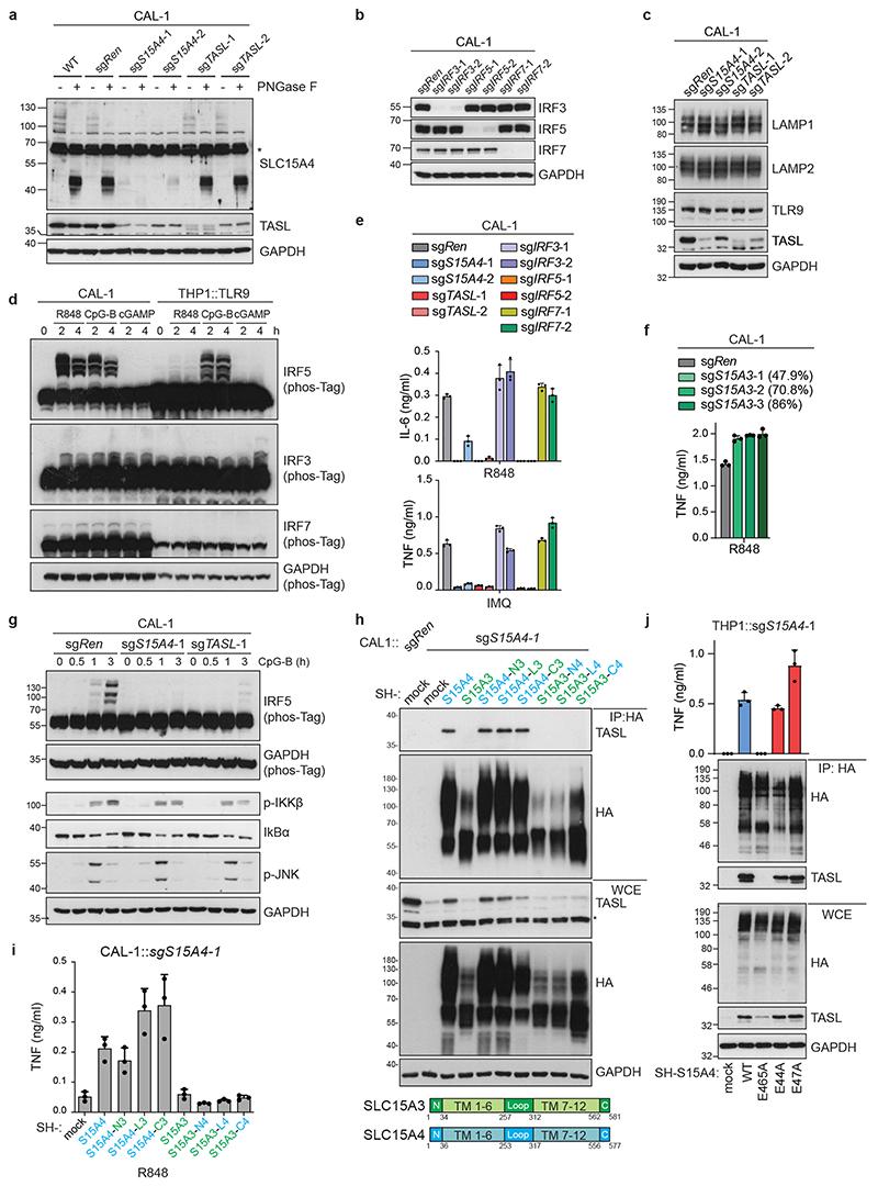
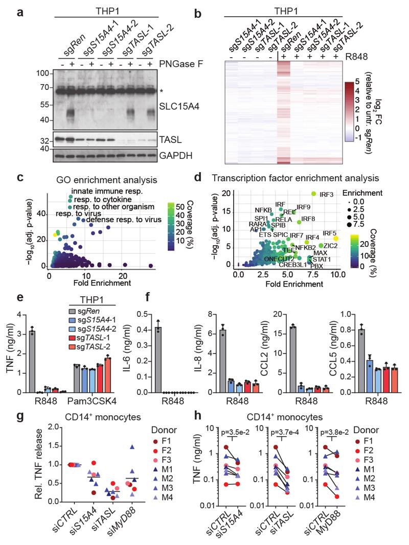
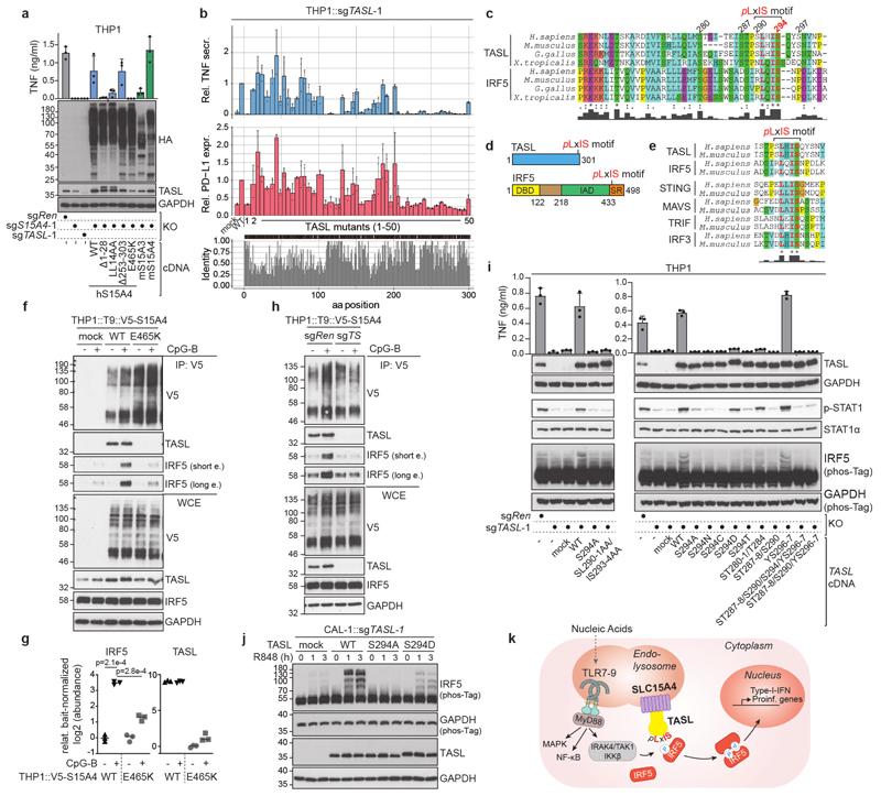
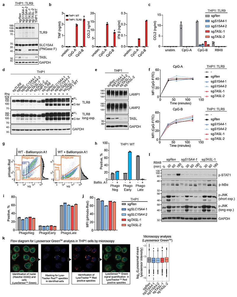
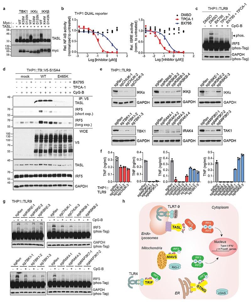
Toll-like receptors (TLRs) have a crucial role in the recognition of pathogens and initiation of immune responses. Here we show that a previously uncharacterized protein encoded by CXorf21-a gene that is associated with systemic lupus erythematosus-interacts with the endolysosomal transporter SLC15A4, an essential but poorly understood component of the endolysosomal TLR machinery also linked to autoimmune disease. Loss of this type-I-interferon-inducible protein, which we refer to as 'TLR adaptor interacting with SLC15A4 on the lysosome' (TASL), abrogated responses to endolysosomal TLR agonists in both primary and transformed human immune cells. Deletion of SLC15A4 or TASL specifically impaired the activation of the IRF pathway without affecting NF-κB and MAPK signalling, which indicates that ligand recognition and TLR engagement in the endolysosome occurred normally. Extensive mutagenesis of TASL demonstrated that its localization and function relies on the interaction with SLC15A4. TASL contains a conserved pLxIS motif (in which p denotes a hydrophilic residue and x denotes any residue) that mediates the recruitment and activation of IRF5. This finding shows that TASL is an innate immune adaptor for TLR7, TLR8 and TLR9 signalling, revealing a clear mechanistic analogy with the IRF3 adaptors STING, MAVS and TRIF. The identification of TASL as the component that links endolysosomal TLRs to the IRF5 transcription factor via SLC15A4 provides a mechanistic explanation for the involvement of these proteins in systemic lupus erythematosus.

摘要

Toll 样受体 (TLRs) 在识别病原体和启动免疫反应中起着至关重要的作用。在这里,我们表明,一个以前未被表征的蛋白,由 CXorf21 基因编码,该基因与系统性红斑狼疮有关,与内体溶酶体转运蛋白 SLC15A4 相互作用,SLC15A4 是内体溶酶体 TLR 机制的一个必不可少但了解甚少的组成部分,也与自身免疫性疾病有关。这种类型 I 干扰素诱导的蛋白的缺失,我们称之为“TLR 衔接蛋白与溶酶体上的 SLC15A4 相互作用”(TASL),消除了原发性和转化的人类免疫细胞对内体溶酶体 TLR 激动剂的反应。SLC15A4 或 TASL 的缺失特异性地损害了 IRF 通路的激活,而不影响 NF-κB 和 MAPK 信号转导,这表明配体识别和 TLR 在内体溶酶体中的结合正常发生。对 TASL 的广泛突变表明,其定位和功能依赖于与 SLC15A4 的相互作用。TASL 包含一个保守的 pLxIS 基序(其中 p 表示亲水残基,x 表示任何残基),介导 IRF5 的募集和激活。这一发现表明,TASL 是 TLR7、TLR8 和 TLR9 信号的先天免疫衔接蛋白,与 STING、MAVS 和 TRIF 等 IRF3 衔接蛋白具有明显的机制类似性。TASL 作为将内体溶酶体 TLR 与 IRF5 转录因子连接的组件的鉴定,通过 SLC15A4 提供了这些蛋白质参与系统性红斑狼疮的机制解释。

https://cdn.ncbi.nlm.nih.gov/pmc/blobs/0906/7610944/74ebf97e739e/EMS114545-f005.jpg

文献AI研究员

20分钟写一篇综述,助力文献阅读效率提升50倍。

立即体验

用中文搜PubMed

大模型驱动的PubMed中文搜索引擎

马上搜索

文档翻译

学术文献翻译模型,支持多种主流文档格式。

立即体验