Suppr超能文献

COVID-19 相关弥漫性脑白质病和微出血。

COVID-19-associated Diffuse Leukoencephalopathy and Microhemorrhages.

机构信息

From the Department of Radiology, New York University Grossman School of Medicine, 660 First Ave, 2nd Floor, New York, NY 10016.

出版信息

Radiology. 2020 Oct;297(1):E223-E227. doi: 10.1148/radiol.2020202040. Epub 2020 May 21.

Abstract

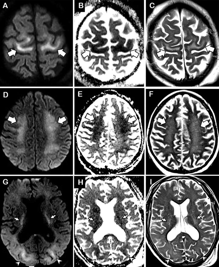
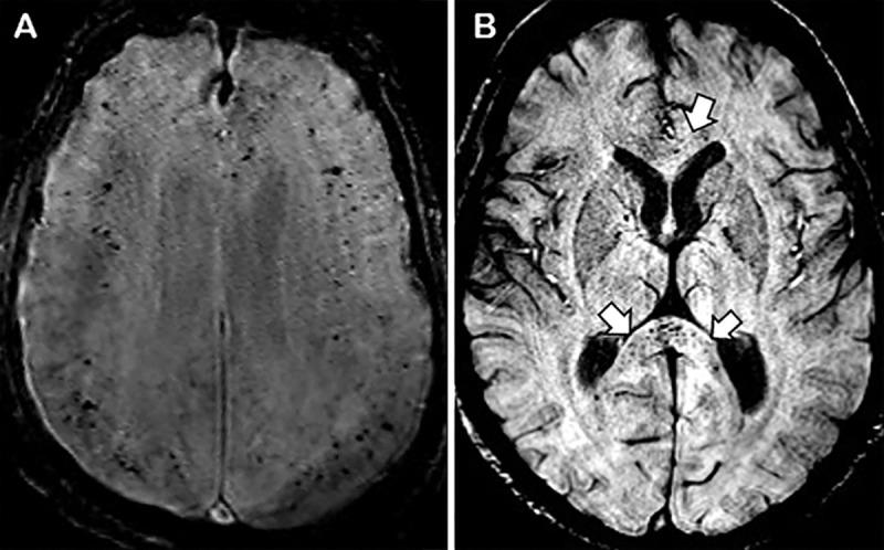
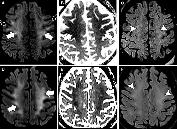
Diffuse leukoencephalopathy and juxtacortical and/or callosal microhemorrhages were brain imaging features in critically ill patients with coronavirus disease 2019. Coronavirus disease 2019 (COVID-19) has been reported in association with a variety of brain imaging findings such as ischemic infarct, hemorrhage, and acute hemorrhagic necrotizing encephalopathy. Herein, the authors report brain imaging features in 11 critically ill patients with COVID-19 with persistently diminished mental status who underwent MRI between April 5 and April 25, 2020. These imaging features include confluent T2 hyperintensity and mild restricted diffusion in bilateral supratentorial deep and subcortical white matter (in 10 of 11 patients) and multiple punctate microhemorrhages in juxtacortical and callosal white matter (in seven of 11 patients). The authors also discuss potential pathogeneses.

摘要

弥漫性脑白质病和皮质下及/或胼胝体微出血是 COVID-19 危重症患者的脑部影像学特征。有报道称,COVID-19(新冠肺炎)与多种脑部影像学表现相关,如缺血性梗死、出血和急性出血性坏死性脑病。在此,作者报告了 11 例 COVID-19 危重症患者的脑部影像学特征,这些患者的精神状态持续减退,于 2020 年 4 月 5 日至 4 月 25 日期间接受 MRI 检查。这些影像学特征包括 11 例患者中有 10 例双侧大脑半球深部和皮质下白质存在融合性 T2 高信号和轻度弥散受限,以及 7 例患者存在皮质下和胼胝体白质内多发性点状微出血。作者还讨论了潜在的发病机制。

https://cdn.ncbi.nlm.nih.gov/pmc/blobs/a539/7507998/0d2cbd270703/radiol.2020202040.fig1.jpg

文献AI研究员

20分钟写一篇综述,助力文献阅读效率提升50倍。

立即体验

用中文搜PubMed

大模型驱动的PubMed中文搜索引擎

马上搜索

文档翻译

学术文献翻译模型,支持多种主流文档格式。

立即体验