Suppr超能文献

甲氨蝶呤相关霍奇金淋巴瘤在类风湿关节炎患者中的成功治疗:贝林妥欧单抗联合多柔比星、长春碱和达卡巴嗪(BV+AVD)。

Methotrexate-associated Hodgkin Lymphoma in a Patient with Rheumatoid Arthritis Successfully Treated with Brentuximab Vedotin in Combination with Doxorubicin, Vinblastine, and Dacarbazine (BV+AVD).

机构信息

Department of Hematology, Juntendo University Urayasu Hospital, Japan.

Department of Hematology, Juntendo University Hospital, Japan.

出版信息

Intern Med. 2020 Sep 1;59(17):2165-2171. doi: 10.2169/internalmedicine.4417-20. Epub 2020 May 26.

Abstract

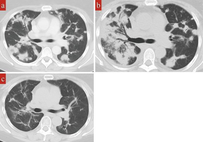
A 53-year-old woman had been diagnosed with rheumatoid arthritis (RA) in X-6. She was started on methotrexate (MTX) in X-1. She developed a cough, and chest computed tomography showed abnormalities. In X, MTX was discontinued, but the cough persisted. A lung biopsy revealed a diagnosis of nodular sclerosis classic Hodgkin lymphoma (CHL-NS). She was considered to have "other iatrogenic immunodeficiency-associated lymphoproliferative disorders" (OIIA-LPD), MTX-associated Hodgkin lymphoma (MTX-HL). She received six courses of brentuximab vedotin (BV) in addition to AVD (BV+AVD). A complete metabolic response was obtained, and the RA went into remission. This is the fourth reported case of BV+AVD for MTX-HL.

摘要

一位 53 岁女性于 X-6 年被诊断为类风湿关节炎(RA)。她于 X-1 年开始接受甲氨蝶呤(MTX)治疗。她出现咳嗽,胸部计算机断层扫描显示异常。在 X 年,停用了 MTX,但咳嗽仍持续存在。肺活检提示结节性硬化经典霍奇金淋巴瘤(CHL-NS)的诊断。她被认为患有“其他医源性免疫缺陷相关淋巴增生性疾病”(OIIA-LPD)、MTX 相关霍奇金淋巴瘤(MTX-HL)。她接受了六周期的 Brentuximab Vedotin(BV)联合 AVD(BV+AVD)治疗。获得完全代谢反应,RA 缓解。这是第四例报告的 MTX-HL 采用 BV+AVD 治疗的病例。

https://cdn.ncbi.nlm.nih.gov/pmc/blobs/7f70/7516310/2f68bc82a71b/1349-7235-59-2165-g001.jpg

文献AI研究员

20分钟写一篇综述,助力文献阅读效率提升50倍。

立即体验

用中文搜PubMed

大模型驱动的PubMed中文搜索引擎

马上搜索

文档翻译

学术文献翻译模型,支持多种主流文档格式。

立即体验