Suppr超能文献

LGR5 控制着发育中肠道干细胞的细胞外基质产生。

LGR5 controls extracellular matrix production by stem cells in the developing intestine.

机构信息

Faculty of Medicine, Institut de Recherche Interdisciplinaire en Biologie Humaine et Moléculaire (IRIBHM), Université Libre de Bruxelles ULB, Brussels, Belgium.

出版信息

EMBO Rep. 2020 Jul 3;21(7):e49224. doi: 10.15252/embr.201949224. Epub 2020 May 28.

Abstract

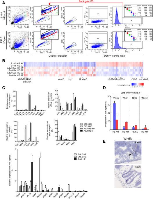
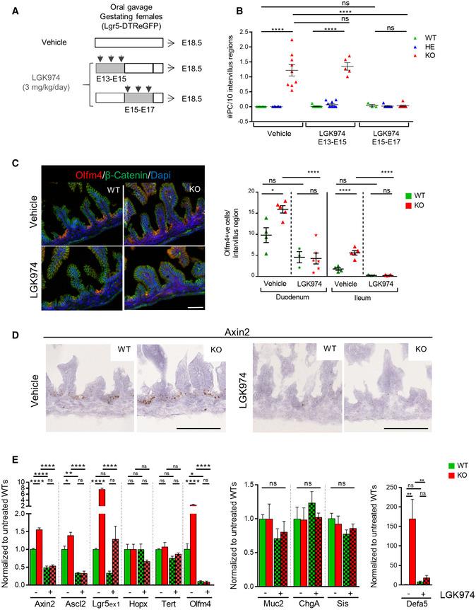
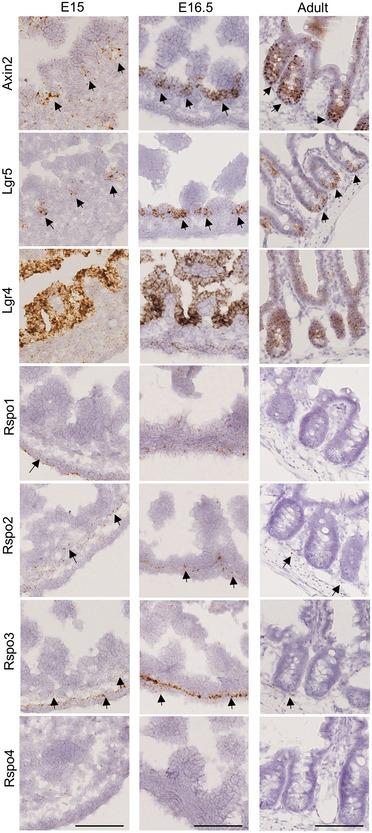
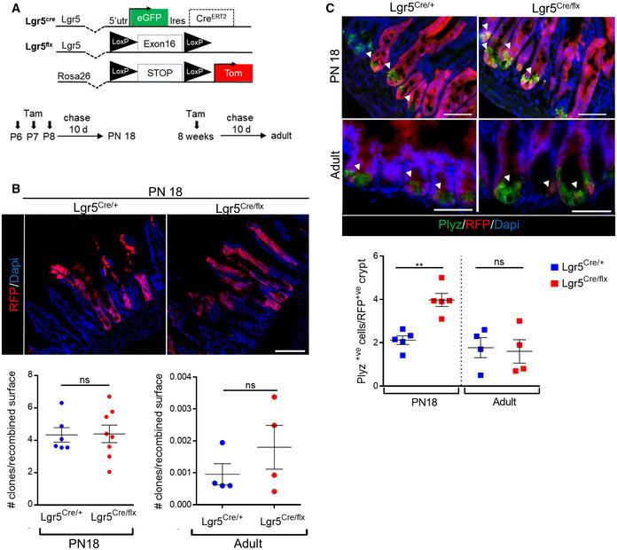
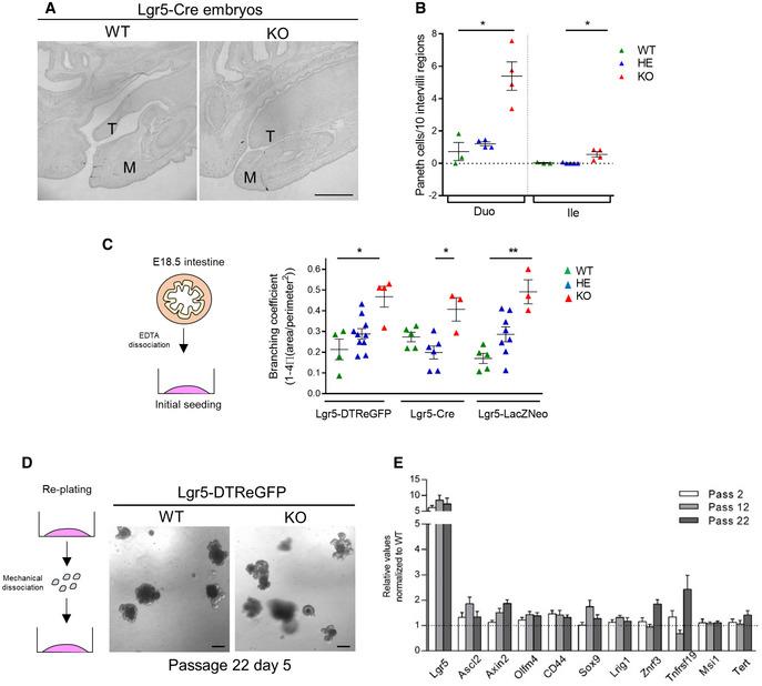
The Lgr5 receptor is a marker of intestinal stem cells (ISCs) that regulates Wnt/b-catenin signaling. In this study, phenotype analysis of knockin/knockout Lgr5-eGFP-IRES-Cre and Lgr5-DTReGFP embryos reveals that Lgr5 deficiency during Wnt-mediated cytodifferentiation results in amplification of ISCs and early differentiation into Paneth cells, which can be counteracted by in utero treatment with the Wnt inhibitor LGK974. Conditional ablation of Lgr5 postnatally, but not in adults, alters stem cell fate toward the Paneth lineage. Together, these in vivo studies suggest that Lgr5 is part of a feedback loop to adjust the Wnt tone in ISCs. Moreover, transcriptome analyses reveal that Lgr5 controls fetal ISC maturation associated with acquisition of a definitive stable epithelial phenotype, as well as the capacity of ISCs to generate their own extracellular matrix. Finally, using the ex vivo culture system, evidences are provided that Lgr5 antagonizes the Rspondin 2-Wnt-mediated response in ISCs in organoids, revealing a sophisticated regulatory process for Wnt signaling in ISCs.

摘要

Lgr5 受体是肠道干细胞 (ISCs) 的标志物,它调节 Wnt/b-连环蛋白信号通路。在这项研究中,通过对 Lgr5-eGFP-IRES-Cre 敲入/敲除和 Lgr5-DTReGFP 胚胎的表型分析,揭示了 Wnt 介导的细胞分化过程中 Lgr5 的缺失会导致 ISCs 的扩增和早期分化为潘氏细胞,而 Wnt 抑制剂 LGK974 的宫内治疗可以拮抗这一现象。Lgr5 在出生后的条件性缺失,但不是在成年后的缺失,会改变干细胞向潘氏细胞谱系的命运。总之,这些体内研究表明,Lgr5 是一个反馈回路的一部分,用于调节 ISC 中的 Wnt 信号强度。此外,转录组分析表明,Lgr5 控制与获得明确稳定的上皮表型相关的胎儿 ISC 成熟,以及 ISC 产生自身细胞外基质的能力。最后,利用体外培养系统,提供了证据表明 Lgr5 在类器官中拮抗 Rspondin 2-Wnt 介导的 ISC 反应,揭示了 ISC 中 Wnt 信号的一个复杂调控过程。

https://cdn.ncbi.nlm.nih.gov/pmc/blobs/4edf/7332981/d0b9311a3c0c/EMBR-21-e49224-g003.jpg

文献AI研究员

20分钟写一篇综述,助力文献阅读效率提升50倍。

立即体验

用中文搜PubMed

大模型驱动的PubMed中文搜索引擎

马上搜索

文档翻译

学术文献翻译模型,支持多种主流文档格式。

立即体验