Suppr超能文献

自噬在成年拉氏黄鼠(Mammalia- Rodentia)卵巢中的双重死亡/存活作用。

A dual death/survival role of autophagy in the adult ovary of Lagostomus maximus (Mammalia- Rodentia).

机构信息

Centro de Estudios Biomédicos Básicos, Aplicados y Desarrollo CEBBAD, Universidad Maimónides, Buenos Aires, Argentina.

Consejo Nacional de Investigaciones Científicas y Técnicas, CONICET, Buenos Aires, Argentina.

出版信息

PLoS One. 2020 May 29;15(5):e0232819. doi: 10.1371/journal.pone.0232819. eCollection 2020.

Abstract

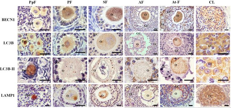
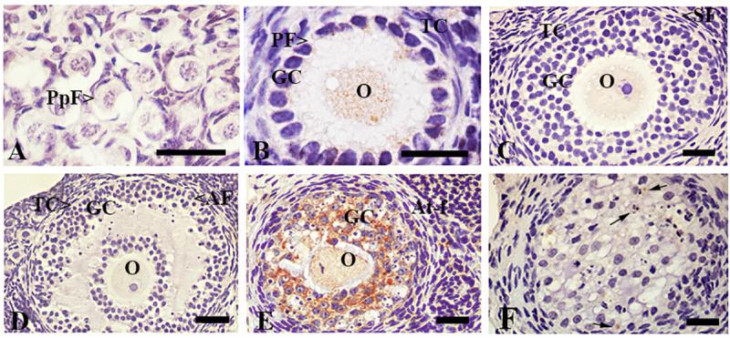
Follicular atresia is a cell death event that occurs in the great majority of follicles before ovulation in the mature mammalian ovary. Germ cell loss has been mainly associated to apoptosis although autophagy also seems to be at play. Aimed to increase our understanding on the possible cooperating role of autophagy and apoptosis in follicular atresia and/or follicular survival, we analyzed both programmed cell death mechanisms in a rodent model, the South American plains vizcacha, Lagostomus maximus. Female vizcacha shows highly suppressed apoptosis-dependent follicular atresia in the adult ovary, with continuous folliculogenesis and massive polyovulation. This strategy of massive ovulation requires a permanent remodeling of the ovarian architecture to maintain the availability of quiescent primordial follicles throughout the individual's reproductive lifespan. We report here our analysis of autophagy (BECN1, LAMP1 and LC3B-I/II) and apoptosis (BCL2 and ACTIVE CASPASE-3) markers which revealed interactive behaviors between both processes, with autophagy promoting survival or cell death depending on the ovarian structure. Strong BECN1, LC3B-II and LAMP1 staining was observed in atretic follicles and degenerating corpora lutea that also expressed nuclear ACTIVE CASPASE-3. Healthy follicles showed a slight expression of autophagy proteins but a strong expression of BCL2 and no detectable ACTIVE CASPASE-3. Transmission electron microscopy revealed a high formation of autophagosomes, autolysosomes and lysosomes in atretic follicles and degenerating corpora lutea and a low number of autophagic vesicles in normal follicles. The co-expression of LC3B-BECN1, LC3B-LAMP1 and LC3B-ACTIVE CASPASE-3 was only detected in atretic follicles and degenerating corpora lutea, while co-expression of BCL2-BECN1 was only observed in normal follicles. We propose that autophagy could act as a mechanism to eliminate altered follicles and remnant corpora lutea providing the necessary space for maturation of primordial follicles that continuously enter the growing follicular pool to sustain massive ovulation.

摘要

卵泡闭锁是一个细胞死亡事件,发生在大多数哺乳动物成熟卵巢排卵前的卵泡中。虽然凋亡被认为是生殖细胞丢失的主要原因,但自噬也可能在其中发挥作用。为了增加我们对自噬和凋亡在卵泡闭锁和/或卵泡存活中的可能协同作用的理解,我们在一种啮齿动物模型——南美的草原旱獭(Lagostomus maximus)中分析了这两种程序性细胞死亡机制。成年旱獭卵巢中,凋亡依赖性卵泡闭锁受到高度抑制,卵泡持续发生,且大量发生多排卵。这种大量排卵的策略需要对卵巢结构进行永久重塑,以维持个体生殖寿命内静止的原始卵泡的可用性。我们在这里报告了我们对自噬(BECN1、LAMP1 和 LC3B-I/II)和凋亡(BCL2 和 ACTIVE CASPASE-3)标志物的分析结果,这些结果表明这两个过程之间存在相互作用,自噬可根据卵巢结构促进存活或细胞死亡。在闭锁的卵泡和退化的黄体中观察到强烈的 BECN1、LC3B-II 和 LAMP1 染色,这些结构也表达核 ACTIVE CASPASE-3。健康的卵泡表现出轻微的自噬蛋白表达,但强烈表达 BCL2,且未检测到 ACTIVE CASPASE-3。透射电子显微镜显示,在闭锁的卵泡和退化的黄体中,自噬小体、自噬溶酶体和溶酶体的形成较高,而在正常卵泡中自噬小泡的数量较少。仅在闭锁的卵泡和退化的黄体中检测到 LC3B-BECN1、LC3B-LAMP1 和 LC3B-ACTIVE CASPASE-3 的共表达,而仅在正常卵泡中观察到 BCL2-BECN1 的共表达。我们提出,自噬可能作为一种机制,消除异常的卵泡和残余的黄体,为不断进入生长卵泡池的原始卵泡的成熟提供必要的空间,以维持大量排卵。

https://cdn.ncbi.nlm.nih.gov/pmc/blobs/76a3/7259749/2d423ea9d56b/pone.0232819.g001.jpg

文献AI研究员

20分钟写一篇综述,助力文献阅读效率提升50倍。

立即体验

用中文搜PubMed

大模型驱动的PubMed中文搜索引擎

马上搜索

文档翻译

学术文献翻译模型,支持多种主流文档格式。

立即体验