Suppr超能文献

通过盲肠灌注玉米淀粉或酪蛋白水解物提高后肠碳水化合物/蛋白质比例可驱动肠道微生物群相关的胆汁酸代谢,从而刺激结肠屏障功能。

Increasing the Hindgut Carbohydrate/Protein Ratio by Cecal Infusion of Corn Starch or Casein Hydrolysate Drives Gut Microbiota-Related Bile Acid Metabolism To Stimulate Colonic Barrier Function.

作者信息

Pi Yu, Mu Chunlong, Gao Kan, Liu Zhuang, Peng Yu, Zhu Weiyun

机构信息

Laboratory of Gastrointestinal Microbiology, Jiangsu Key Laboratory of Gastrointestinal Nutrition and Animal Health, College of Animal Science and Technology, Nanjing Agricultural University, Nanjing, China.

National Center for International Research on Animal Gut Nutrition, Nanjing Agricultural University, Nanjing, China.

出版信息

mSystems. 2020 Jun 2;5(3):e00176-20. doi: 10.1128/mSystems.00176-20.

Abstract

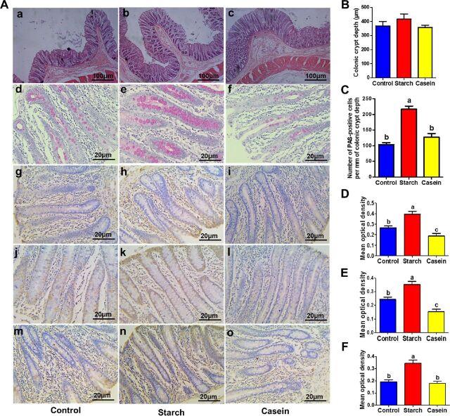
Dietary high protein and low carbohydrate levels compromise colonic microbiota and bile acid metabolism, which underlies a detrimental gut environment. However, it remains unclear if the diet-induced changes in colonic health are due to a change in hindgut nutrient availability and what key intermediates link the microbe-epithelium dialogue. To specifically alter the hindgut nutrient substrate availability, here we used a cecally cannulated pig model to infuse corn starch and casein hydrolysate directly into the cecum to generate a stepwise change of carbohydrate/nitrogenous compound (C/N) ratio. Pigs were cecally infused daily with either saline (Control), corn starch (Starch), or casein hydrolysate (Casein) ( = 8 per group), respectively, for 19 days. After infusion, C/N ratios in colonic digesta were 16.33, 12.56, and 8.54 for the starch, control, and casein groups, respectively (0.05). Relative to the control group, casein infusion showed greater abundance of the bacteria () capable of bile acid 7α-dehydroxylation (), higher levels of expression of bacterial genes encoding the enzyme, and higher levels of secondary bile acid (deoxycholic acid [DCA] and lithocholic acid [LCA]), while the starch infusion showed the opposite effect. Correspondingly, casein infusion downregulated expression of genes encoding tight junction proteins (ZO-1 and OCLD) and upregulated expression of genes encoding epidermal growth factor receptor (EGFR). The ratio of C/N was linearly related with the concentrations of DCA and LCA and gene expression levels of ZO-1, occludin, and EGFR. Caco-2 cell experiments further showed that DCA and LCA downregulated expression of genes involved in barrier function (ZO-1 and OCLD) and upregulated the gene expression of EGFR and Src. Inhibition of EGFR and Src could abolish DCA- and LCA-induced downregulation of ZO-1, indicating that DCA and LCA impair gut barrier function via enhancing the EGFR-Src pathway. These results suggest that the ratio of C/N in the large intestine is an important determinant of microbial metabolism and gut barrier function in the colon. The findings provide evidence that microbe-related secondary bile acid metabolism may mediate the interplay between microbes and gut barrier function. High-fiber or high-protein diets could alter gut microbiota and health in the large intestine, but factors involved in the effects remain unclear. The present study for the first time demonstrates that the starch- and casein-induced C/N ratio in the hindgut is an important factor. Using the cannulated pig model, we found that the distinct C/N ratio induced by cecal infusion of corn starch or casein hydrolysate was linearly correlated with microbial metabolites (secondary bile acids) and tight junction proteins (ZO-1 and OCLD). Cell culture study further demonstrates that the gut microbial metabolites (DCA and LCA) could impair the intestinal barrier function via the EGFR-Src pathway. These suggest that DCA and LCA were key metabolites mediating microbe-epithelium dialogue when the hindgut C/N ratios were altered by cecal infusion of corn starch or casein hydrolysate. These findings provide new insight into the impact of C/N ratio in the large intestine on colonic health and provide a new framework for therapeutic strategy in gut health through targeted manipulation of hindgut microbiota by increasing the carbohydrate level in the large intestine.

摘要

饮食中高蛋白和低碳水化合物水平会损害结肠微生物群和胆汁酸代谢,这是有害肠道环境的基础。然而,饮食引起的结肠健康变化是否归因于后肠营养物质可利用性的改变,以及哪些关键中间体连接微生物与上皮细胞的对话,仍不清楚。为了特异性改变后肠营养底物的可利用性,我们在这里使用盲肠插管猪模型,将玉米淀粉和酪蛋白水解物直接注入盲肠,以产生碳水化合物/含氮化合物(C/N)比的逐步变化。分别给猪每天经盲肠注入生理盐水(对照)、玉米淀粉(淀粉组)或酪蛋白水解物(酪蛋白组)(每组 = 8 头),持续 19 天。注入后,淀粉组、对照组和酪蛋白组结肠消化物中的 C/N 比分别为 16.33、12.56 和 8.54(P<0.05)。相对于对照组,注入酪蛋白显示出能够进行胆汁酸 7α-脱羟基化的细菌(梭菌属)丰度更高、编码该酶的细菌基因表达水平更高以及次级胆汁酸(脱氧胆酸 [DCA] 和石胆酸 [LCA])水平更高,而注入淀粉则显示出相反的效果。相应地,注入酪蛋白下调了编码紧密连接蛋白(ZO-1 和 OCLD)的基因表达,并上调了编码表皮生长因子受体(EGFR)的基因表达。C/N 比与 DCA 和 LCA 的浓度以及 ZO-1、闭合蛋白和 EGFR 的基因表达水平呈线性相关。Caco-2 细胞实验进一步表明,DCA 和 LCA 下调了参与屏障功能的基因(ZO-1 和 OCLD)的表达,并上调了 EGFR 和 Src 的基因表达。抑制 EGFR 和 Src 可以消除 DCA 和 LCA 诱导的 ZO-1 下调,表明 DCA 和 LCA 通过增强 EGFR-Src 途径损害肠道屏障功能。这些结果表明,大肠中的 C/N 比是结肠中微生物代谢和肠道屏障功能的重要决定因素。这些发现提供了证据,表明微生物相关的次级胆汁酸代谢可能介导微生物与肠道屏障功能之间的相互作用。高纤维或高蛋白饮食可能会改变大肠中的肠道微生物群和健康状况,但其中涉及的因素仍不清楚。本研究首次证明,后肠中淀粉和酪蛋白诱导的 C/N 比是一个重要因素。使用插管猪模型,我们发现经盲肠注入玉米淀粉或酪蛋白水解物诱导的不同 C/N 比与微生物代谢产物(次级胆汁酸)和紧密连接蛋白(ZO-1 和 OCLD)呈线性相关。细胞培养研究进一步表明,肠道微生物代谢产物(DCA 和 LCA)可通过 EGFR-Src 途径损害肠道屏障功能。这些表明,当通过盲肠注入玉米淀粉或酪蛋白水解物改变后肠 C/N 比时,DCA 和 LCA 是介导微生物与上皮细胞对话的关键代谢产物。这些发现为大肠中 C/N 比对结肠健康的影响提供了新的见解,并为通过增加大肠中的碳水化合物水平来靶向操纵后肠微生物群从而改善肠道健康的治疗策略提供了新的框架。

https://cdn.ncbi.nlm.nih.gov/pmc/blobs/0af5/8534727/a3b5d3dfbc05/msystems.00176-20-f0001.jpg

文献AI研究员

20分钟写一篇综述,助力文献阅读效率提升50倍。

立即体验

用中文搜PubMed

大模型驱动的PubMed中文搜索引擎

马上搜索

文档翻译

学术文献翻译模型,支持多种主流文档格式。

立即体验