Suppr超能文献

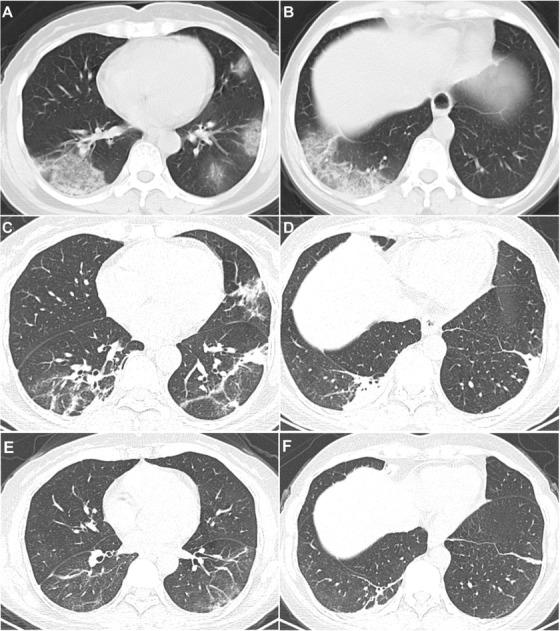
Thalidomide combined with low-dose short-term glucocorticoid in the treatment of critical Coronavirus Disease 2019.

作者信息

Chen Chengshui, Qi Feng, Shi Keqing, Li Yuping, Li Ji, Chen Yongping, Pan Jingye, Zhou Tieli, Lin Xiangyang, Zhang Jinsan, Luo Yongde, Li Xiaokun, Xia Jinglin

机构信息

COVID-19 Headquarters, The First Affiliated Hospital of Wenzhou Medical University, Wenzhou, China.

Liver Cancer Institute, Zhongshan Hospital, Fudan University, Shanghai, China.

出版信息

Clin Transl Med. 2020 Jun;10(2):e35. doi: 10.1002/ctm2.35. Epub 2020 Jun 4.

Abstract
摘要
https://cdn.ncbi.nlm.nih.gov/pmc/blobs/d01d/7403664/7af000e982d6/CTM2-10-e35-g001.jpg

文献AI研究员

20分钟写一篇综述,助力文献阅读效率提升50倍。

立即体验

用中文搜PubMed

大模型驱动的PubMed中文搜索引擎

马上搜索

文档翻译

学术文献翻译模型,支持多种主流文档格式。

立即体验