Suppr超能文献

一种发散的细胞周期蛋白/细胞周期依赖性激酶复合物控制疟原虫配子发生和传播过程中的非典型复制。

A divergent cyclin/cyclin-dependent kinase complex controls the atypical replication of a malaria parasite during gametogony and transmission.

机构信息

University of Geneva, Faculty of Medicine, Geneva, Switzerland.

University of Nottingham, School of Life Sciences, Nottingham, United Kingdom.

出版信息

Elife. 2020 Jun 22;9:e56474. doi: 10.7554/eLife.56474.

Abstract

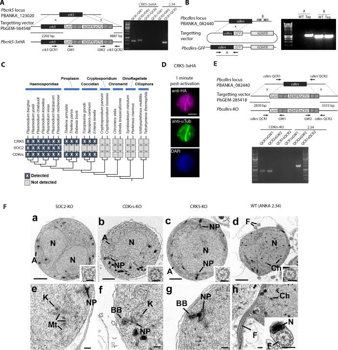
Cell cycle transitions are generally triggered by variation in the activity of cyclin-dependent kinases (CDKs) bound to cyclins. Malaria-causing parasites have a life cycle with unique cell-division cycles, and a repertoire of divergent CDKs and cyclins of poorly understood function and interdependency. We show that CDK-related kinase 5 (CRK5), is a critical regulator of atypical mitosis in the gametogony and is required for mosquito transmission. It phosphorylates canonical CDK motifs of components in the pre-replicative complex and is essential for DNA replication. During a replicative cycle, CRK5 stably interacts with a single -specific cyclin (SOC2), although we obtained no evidence of SOC2 cycling by transcription, translation or degradation. Our results provide evidence that during male gametogony, this divergent cyclin/CDK pair fills the functional space of other eukaryotic cell-cycle kinases controlling DNA replication.

摘要

细胞周期的转变通常是由与细胞周期蛋白结合的细胞周期蛋白依赖性激酶(CDK)的活性变化触发的。引起疟疾的寄生虫具有独特的细胞分裂周期的生命周期,并且具有一系列功能和相互依赖性尚不清楚的不同 CDK 和细胞周期蛋白。我们表明,CDK 相关激酶 5(CRK5)是配子发生中异常有丝分裂的关键调节剂,并且是蚊子传播所必需的。它磷酸化复制前复合物中成分的典型 CDK 基序,对于 DNA 复制是必需的。在复制周期中,CRK5 与单个特异性细胞周期蛋白(SOC2)稳定相互作用,尽管我们没有通过转录、翻译或降解获得 SOC2 循环的证据。我们的结果提供了证据,表明在雄性配子发生期间,这种不同的细胞周期蛋白/CDK 对填补了控制 DNA 复制的其他真核细胞周期激酶的功能空间。

https://cdn.ncbi.nlm.nih.gov/pmc/blobs/a768/7308089/9a948b2dd1e6/elife-56474-fig1.jpg

文献AI研究员

20分钟写一篇综述,助力文献阅读效率提升50倍。

立即体验

用中文搜PubMed

大模型驱动的PubMed中文搜索引擎

马上搜索

文档翻译

学术文献翻译模型,支持多种主流文档格式。

立即体验