Suppr超能文献

氧化应激激活早发性胎膜破裂患者的 Keap-1/Nrf2 信号通路。

Regulation of Keap-1/Nrf2 Signaling Pathway Is Activated by Oxidative Stress in Patients with Premature Rupture of Membranes.

机构信息

Department of Obstetrics and Gynecology, The First Affiliated Hospital of Shandong First Medical University, Jinan, Shandong, China (mainland).

出版信息

Med Sci Monit. 2020 Jun 26;26:e921757. doi: 10.12659/MSM.921757.

Abstract

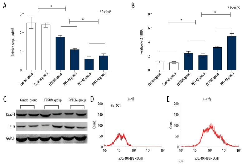
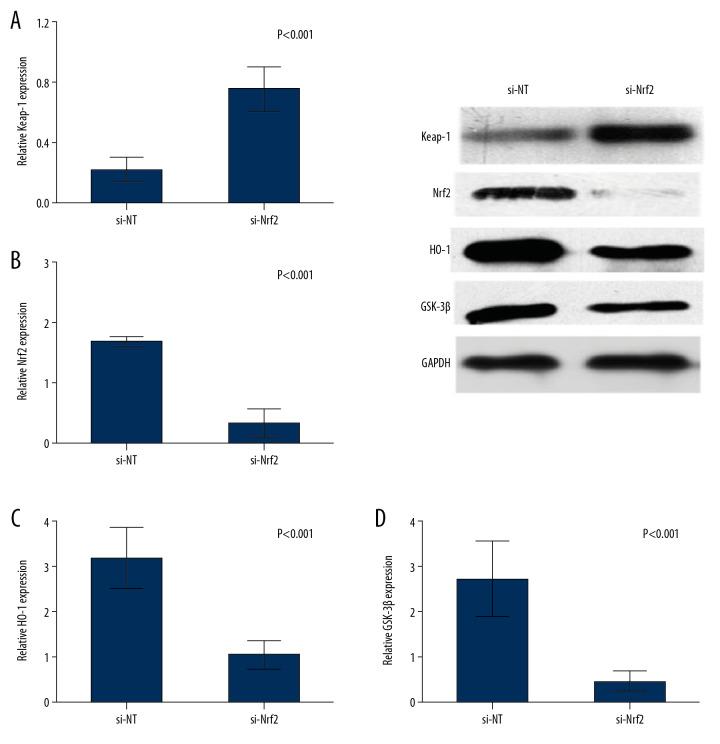
BACKGROUND The potential mechanisms underlying premature rupture of membrane (PROM) is still unknown. The aim of this study was to determine the role of Keap-1/Nrf2 signaling pathway activation by oxidative stress in patients with preterm premature rupture of membranes. MATERIAL AND METHODS Placental tissues from preterm premature rupture of membranes (PPROM) (n=20), full-term premature rupture of membranes (FPROM) (n=20), and normal-term births (n=20) were collected and amniotic tissues were separated from the placental tissues from pregnant women at Shandong Provincial Qianfoshan Hospital. RT-PCR and Western blot were used to detect the levels of factors in the Keap-1/Nrf2 signaling pathway. To investigate the roles of Nrf2, we downregulated Nrf2 expression using siRNA in primary human amniotic epithelial (HAE) cells. RESULTS Among the control group, FPROM group, and PPROM group, the reactive oxygen species (ROS) levels were significantly increased in the FPROM and PPROM groups. The differences indicated higher levels of oxidative stress in amniotic tissues with FPROM and PPROM after downregulation of si-Nrf2 in HAE cells. Antioxidants were lower in amniotic tissues with the FPROM group and PPROM group than in the control group. The antioxidant enzymes catalase (CAT), glutathione (GSH), glutathione peroxidase (GSHPx), and superoxide dismutases (SOD1 and SOD2) were examined in amniotic tissues. We found that the ROS levels were significantly increased after downregulation of si-Nrf2 compared with the control group. We found that the expression of Heme Oxygenase-1 (HO-1) and Glycogen Synthase Kinase-3ß (GSK-3ß), which is critical in the Keap-1/Nrf2 signaling pathway, increased significantly after downregulation of si-Nrf2 in HAE cells. CONCLUSIONS We found that increased ROS levels and decreased antioxidant enzymes in the PPROM and FPROM patients compared with the control group.

摘要

背景

胎膜早破(PROM)的潜在机制尚不清楚。本研究旨在确定氧化应激对早产胎膜早破(PPROM)患者中 Keap-1/Nrf2 信号通路激活的作用。

材料和方法

收集山东省千佛山医院孕妇的胎盘组织,分为早产胎膜早破(PPROM)组(n=20)、足月胎膜早破(FPROM)组(n=20)和正常足月分娩组(n=20),并从胎盘组织中分离出羊膜组织。采用 RT-PCR 和 Western blot 检测 Keap-1/Nrf2 信号通路中各因子的水平。为了研究 Nrf2 的作用,我们用 siRNA 下调原代人羊膜上皮细胞(HAE)中的 Nrf2 表达。

结果

在对照组、FPROM 组和 PPROM 组中,FPROM 组和 PPROM 组的活性氧(ROS)水平明显升高。下调 HAE 细胞中的 si-Nrf2 后,FPROM 和 PPROM 组的羊膜组织中 ROS 水平更高,表明 ROS 水平更高。FPROM 组和 PPROM 组的羊膜组织中抗氧化剂低于对照组。我们检查了羊膜组织中的抗氧化酶过氧化氢酶(CAT)、谷胱甘肽(GSH)、谷胱甘肽过氧化物酶(GSHPx)和超氧化物歧化酶(SOD1 和 SOD2)。与对照组相比,下调 si-Nrf2 后 ROS 水平明显升高。下调 HAE 细胞中的 si-Nrf2 后,血红素加氧酶-1(HO-1)和糖原合酶激酶-3β(GSK-3β)的表达明显增加,这在 Keap-1/Nrf2 信号通路中是关键的。

结论

我们发现与对照组相比,PPROM 和 FPROM 患者的 ROS 水平升高,抗氧化酶降低。

https://cdn.ncbi.nlm.nih.gov/pmc/blobs/095f/7339974/645d4d58054b/medscimonit-26-e921757-g001.jpg

文献AI研究员

20分钟写一篇综述,助力文献阅读效率提升50倍。

立即体验

用中文搜PubMed

大模型驱动的PubMed中文搜索引擎

马上搜索

文档翻译

学术文献翻译模型,支持多种主流文档格式。

立即体验