Suppr超能文献

沉默肠道 GUCY2C 肿瘤抑制轴需要杂合性丢失。

Silencing the intestinal GUCY2C tumor suppressor axis requires loss of heterozygosity.

机构信息

Department of Pharmacology and Experimental Therapeutics, Sidney Kimmel Medical College at Thomas Jefferson University , Philadelphia, PA, USA.

出版信息

Cancer Biol Ther. 2020 Sep 1;21(9):799-805. doi: 10.1080/15384047.2020.1779005. Epub 2020 Jun 28.

Abstract

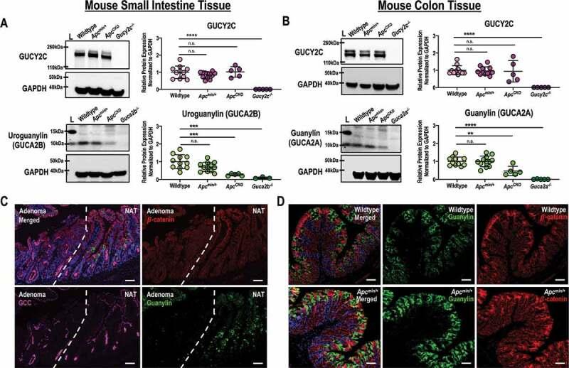
Most sporadic colorectal cancer reflects acquired mutations in the adenomatous polyposis coli () tumor suppressor gene, while germline heterozygosity for mutant produces the autosomal dominant disorder Familial Adenomatous Polyposis (FAP) with a predisposition to colorectal cancer. In these syndromes, loss of heterozygosity (LOH) silences the remaining normal allele of , through an unknown mechanism, as the initiating step in transformation. Guanylyl cyclase C receptor (GUCY2C) and its hormones, uroguanylin and guanylin, have emerged as a key signaling axis opposing mutations driving intestinal tumorigenesis. Indeed, uroguanylin and guanylin are among the most commonly repressed genes in colorectal cancer. Here, we explored the role of heterozygosity in mechanisms repressing hormone expression which could contribute to LOH. In genetic mouse models of APC loss, uroguanylin and guanylin expression were quantified following monoallelic or biallelic deletion of the gene. Induced biallelic loss of APC repressed uroguanylin and guanylin expression. However, monoallelic APC loss in mice did not alter hormone expression. Similarly, in FAP patients, normal colonic mucosa (monoallelic loss) expressed guanylin while adenomas and an invasive carcinoma (biallelic loss) were devoid of hormone expression. Thus, uroguanylin and guanylin expression by normal intestinal epithelial cells persists in the context of APC heterozygosity and is lost only after tumor initiation by LOH. These observations reveal a role for loss of the hormones silencing the GUCY2C axis in tumor progression following biallelic loss, but not in mechanisms creating the genetic vulnerability in epithelial cells underlying LOH initiating tumorigenesis.

摘要

大多数散发性结直肠癌反映了腺瘤性息肉病 () 肿瘤抑制基因获得性突变,而突变型的种系杂合性产生常染色体显性遗传疾病家族性腺瘤性息肉病 (FAP),易患结直肠癌。在这些综合征中,通过未知机制,杂合性丢失 (LOH) 沉默了转化起始步骤中 的另一个正常等位基因。鸟苷酸环化酶 C 受体 (GUCY2C)及其激素尿鸟苷素和鸟苷素已成为对抗驱动肠道肿瘤发生的突变的关键信号轴。事实上,尿鸟苷素和鸟苷素是结直肠癌中最常被抑制的基因之一。在这里,我们探讨了 杂合性在抑制激素表达的机制中的作用,这些机制可能导致 LOH。在 APC 缺失的遗传小鼠模型中,在单等位基因或双等位基因缺失 的情况下,定量检测尿鸟苷素和鸟苷素的表达。诱导的 APC 双等位基因缺失抑制了尿鸟苷素和鸟苷素的表达。然而, 在 小鼠中,单等位基因 APC 缺失并未改变激素表达。同样,在 FAP 患者中,正常结肠黏膜(单等位基因 缺失)表达鸟苷素,而腺瘤和浸润性癌(双等位基因 缺失)则缺乏激素表达。因此,在 APC 杂合性的情况下,正常肠上皮细胞中的尿鸟苷素和鸟苷素表达持续存在,并且仅在 LOH 引发肿瘤发生后才丢失。这些观察结果揭示了激素丢失在双等位基因 缺失后肿瘤进展中的作用,但在导致上皮细胞中 LOH 起始肿瘤发生的遗传脆弱性的机制中没有作用。

https://cdn.ncbi.nlm.nih.gov/pmc/blobs/cc86/7515455/c61551bd835f/KCBT_A_1779005_F0001_OC.jpg

文献AI研究员

20分钟写一篇综述,助力文献阅读效率提升50倍。

立即体验

用中文搜PubMed

大模型驱动的PubMed中文搜索引擎

马上搜索

文档翻译

学术文献翻译模型,支持多种主流文档格式。

立即体验