Suppr超能文献

EIF5A2过表达预示口腔鳞状细胞癌患者预后不良。

Overexpression of EIF5A2 Predicts Poor Prognosis in Patients with Oral Squamous Cell Carcinoma.

作者信息

Lin Yueh-Min, Chen Mei-Ling, Chen Chia-Lo, Yeh Chung-Min, Sung Wen-Wei

机构信息

School of Medicine, Chung Shan Medical University, Taichung 40201, Taiwan.

Department of Surgical Pathology, Changhua Christian Hospital, Changhua 50006, Taiwan.

出版信息

Diagnostics (Basel). 2020 Jun 27;10(7):436. doi: 10.3390/diagnostics10070436.

Abstract

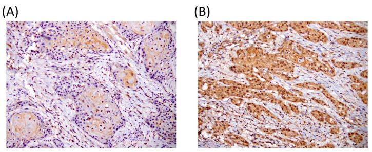
Oral squamous cell carcinoma (OSCC) is the most common epithelial malignancy affecting the oral cavity, and it is especially significant in Asian countries. Patients diagnosed with OSCC have an unfavorable prognosis and additional prognostic markers would help improve therapeutic strategies. We sought to investigate the association between eukaryotic translation initiation factor 5A2 (EIF5A2) and epithelial-mesenchymal transition (EMT) markers as well as the prognostic significance of EIF5A2 in OSCC. The expression of EIF5A2 and EMT markers was measured through the immunohistochemical staining of specimens from 272 patients with OSCC. In addition, the correlation between different clinicopathological factors and EIF5A2 expression was analyzed. The prognostic role of EIF5A2 was then analyzed via Kaplan-Meier analysis and Cox proportional hazard models. Among the 272 patients, high EIF5A2 expression was significantly associated with an advanced N value ( = 0.008). High tumor expression of EIF5A2 was prone to the expression of low E-cadherin and high beta-catenin ( = 0.046 and = 0.020, respectively). Patients with high EIF5A2 expression had unfavorable five-year survival rates as compared with those with low expression (49.7% and 67.3%, respectively). The prognostic role of EIF5A2 was further confirmed through multivariate analysis (hazard ratio = 1.714, 95% confidence interval: 1.134-2.590, = 0.011). High EIF5A2 expression is associated with an advanced N value and EMT markers and may serve as a marker for an unfavorable prognosis in patients with OSCC.

摘要

口腔鳞状细胞癌(OSCC)是影响口腔的最常见上皮性恶性肿瘤,在亚洲国家尤为显著。被诊断为OSCC的患者预后不佳,额外的预后标志物将有助于改善治疗策略。我们试图研究真核翻译起始因子5A2(EIF5A2)与上皮-间质转化(EMT)标志物之间的关联以及EIF5A2在OSCC中的预后意义。通过对272例OSCC患者的标本进行免疫组织化学染色来检测EIF5A2和EMT标志物的表达。此外,分析了不同临床病理因素与EIF5A2表达之间的相关性。然后通过Kaplan-Meier分析和Cox比例风险模型分析EIF5A2的预后作用。在272例患者中,EIF5A2高表达与较高的N分期显著相关(P = 0.008)。EIF5A2高表达的肿瘤易于出现低E-钙黏蛋白表达和高β-连环蛋白表达(分别为P = 0.046和P = 0.020)。与低表达患者相比,EIF5A2高表达患者的五年生存率不佳(分别为49.7%和67.3%)。通过多因素分析进一步证实了EIF5A2的预后作用(风险比 = 1.714,95%置信区间:1.134 - 2.590,P = 0.011)。EIF5A2高表达与较高的N分期和EMT标志物相关,可能作为OSCC患者预后不良的标志物。

https://cdn.ncbi.nlm.nih.gov/pmc/blobs/8f12/7400414/276e40717b54/diagnostics-10-00436-g001.jpg

文献AI研究员

20分钟写一篇综述,助力文献阅读效率提升50倍。

立即体验

用中文搜PubMed

大模型驱动的PubMed中文搜索引擎

马上搜索

文档翻译

学术文献翻译模型,支持多种主流文档格式。

立即体验