Suppr超能文献

乳腺癌患者复发组与无复发组的癌组织与淋巴结的光谱相似性:初步研究

The Spectroscopic Similarity between Breast Cancer Tissues and Lymph Nodes Obtained from Patients with and without Recurrence: A Preliminary Study.

机构信息

Institute of Nuclear Physics Polish Academy of Sciences, PL-31342 Krakow, Poland.

Faculty of Medicine, University of Technology, Rolna 43, 40-555 Katowice, Poland.

出版信息

Molecules. 2020 Jul 21;25(14):3295. doi: 10.3390/molecules25143295.

Abstract

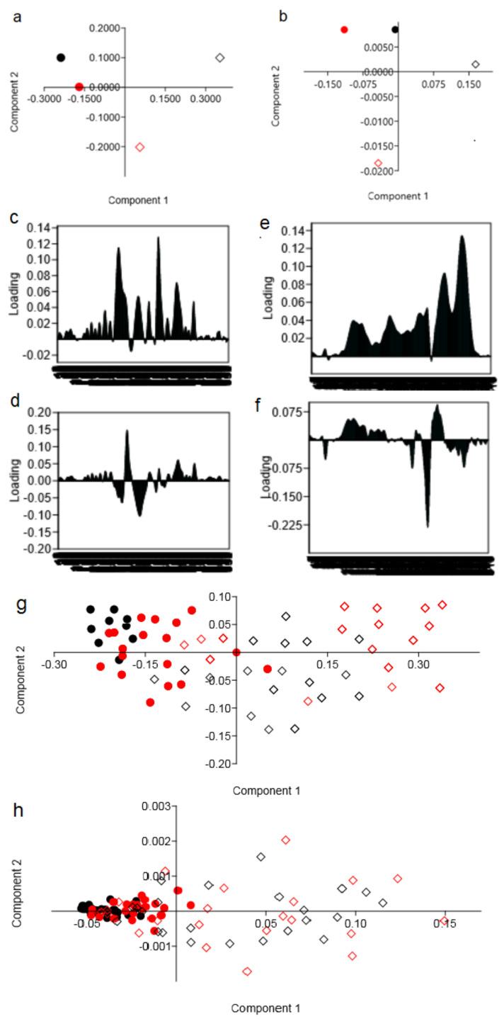
Lymph nodes (LNs) play a very important role in the spread of cancer cells. Moreover, it was noticed that the morphology and chemical composition of the LNs change in the course of cancer development. Therefore, finding and monitoring similarities between these characteristics of the LNs and tumor tissues are essential to improve diagnostics and therapy of this dreadful disease. In the present study, we used Raman and Fourier transform infrared (FTIR) spectroscopies to compare the chemical composition of the breast cancer tissues and LNs collected from women without (I group-4 patients) and with (II group-4 patients) recurrence. It was shown that the similarity of the chemical composition of the breast tissues and LNs is typical for the II group of the patients. The average Raman spectrum of the breast cancer tissues from the I group was not characterized by vibrations in the 800-1000 cm region originating from collagen and carbohydrates, which are typical for tumor-affected breast tissues. At the same time, this spectrum contains peaks at 1029 cm, corresponding to PO from DNA, RNA and phospholipids, and 1520 cm, which have been observed in normal breast tissues before. It was shown that Raman bands of the average LN spectrum of the II group associated with proteins and carbohydrates are more intensive than those of the breast tissues spectrum. The intensity of the Raman spectra collected from the samples of the II group is almost three times higher compared to the I group. The vibrations of carbohydrates and amide III are much more intensive in the II group's case. The Raman spectra of the breast cancer tissues and LNs of the II group's samples do not contain bands (e.g., 1520 cm) found in the Raman spectra of the normal breast tissues elsewhere. FTIR spectra of the LNs of the I group's women showed a lower level of vibrations corresponding to functional group building nucleic acid, collagen, carbohydrates, and proteins in comparison with the breast cancer tissues. Pearson's correlation test showed positive and more significant interplay between the nature of the breast tissues and LN spectra obtained for the II group of patients than that in the I group's spectra. Moreover, principal component analysis (PCA) showed that it is possible to distinguish Raman and FTIR spectra of the breast cancer tissues and LNs collected from women without recurrence of the disease.

摘要

淋巴结(LNs)在癌细胞的扩散中起着非常重要的作用。此外,人们注意到淋巴结的形态和化学成分在癌症发展过程中发生变化。因此,找到并监测淋巴结与肿瘤组织这些特征之间的相似性对于改善这种可怕疾病的诊断和治疗至关重要。在本研究中,我们使用拉曼和傅里叶变换红外(FTIR)光谱法比较了来自没有(I 组-4 例患者)和有(II 组-4 例患者)复发的女性的乳腺癌组织和 LNs 的化学成分。结果表明,II 组患者的乳腺癌组织和 LNs 化学成分的相似性是典型的。I 组乳腺癌组织的平均拉曼光谱不具有源自胶原蛋白和碳水化合物的 800-1000 cm 区域的振动,这些振动是受肿瘤影响的乳腺组织的典型特征。同时,该光谱在 1029 cm 处存在与 DNA、RNA 和磷脂的 PO 对应的峰,以及在正常乳腺组织之前观察到的 1520 cm 处的峰。结果表明,II 组平均 LN 光谱与蛋白质和碳水化合物相关的拉曼带比乳腺癌组织光谱的强度更高。与 I 组相比,从 II 组样本中收集的拉曼光谱的强度几乎高了三倍。在 II 组的情况下,碳水化合物和酰胺 III 的振动强度更高。来自 II 组样本的乳腺癌组织和 LNs 的拉曼光谱不包含在其他地方正常乳腺组织的拉曼光谱中发现的带(例如 1520 cm)。与乳腺癌组织相比,I 组女性 LNs 的 FTIR 光谱显示出对应于核酸、胶原蛋白、碳水化合物和蛋白质的功能基团构建的振动水平较低。Pearson 相关检验显示,与 I 组相比,II 组患者获得的乳腺组织和 LN 光谱之间存在更显著的正相互作用。此外,主成分分析(PCA)表明,区分来自没有疾病复发的女性的乳腺癌组织和 LNs 的拉曼和 FTIR 光谱是可能的。

https://cdn.ncbi.nlm.nih.gov/pmc/blobs/bdef/7397234/8dbafecedd09/molecules-25-03295-g001.jpg

文献AI研究员

20分钟写一篇综述,助力文献阅读效率提升50倍。

立即体验

用中文搜PubMed

大模型驱动的PubMed中文搜索引擎

马上搜索

文档翻译

学术文献翻译模型,支持多种主流文档格式。

立即体验