Suppr超能文献

HMGB1 对小鼠大脑神经发生的调控。

Regulation of Neurogenesis in Mouse Brain by HMGB1.

机构信息

Department of Bioengineering and Therapeutic Sciences, Programs in Human Genetics and Biological Sciences, Schools of Pharmacy and Medicine, University of California, San Francisco, CA 94143-2811, USA.

Helsinki Institute of Life Science/Neuroscience Center, Biomedicum 1, P. O. Box 63 (Haartmaninkatu 8), University of Helsinki, FI-00014 Helsinki, Finland.

出版信息

Cells. 2020 Jul 17;9(7):1714. doi: 10.3390/cells9071714.

Abstract

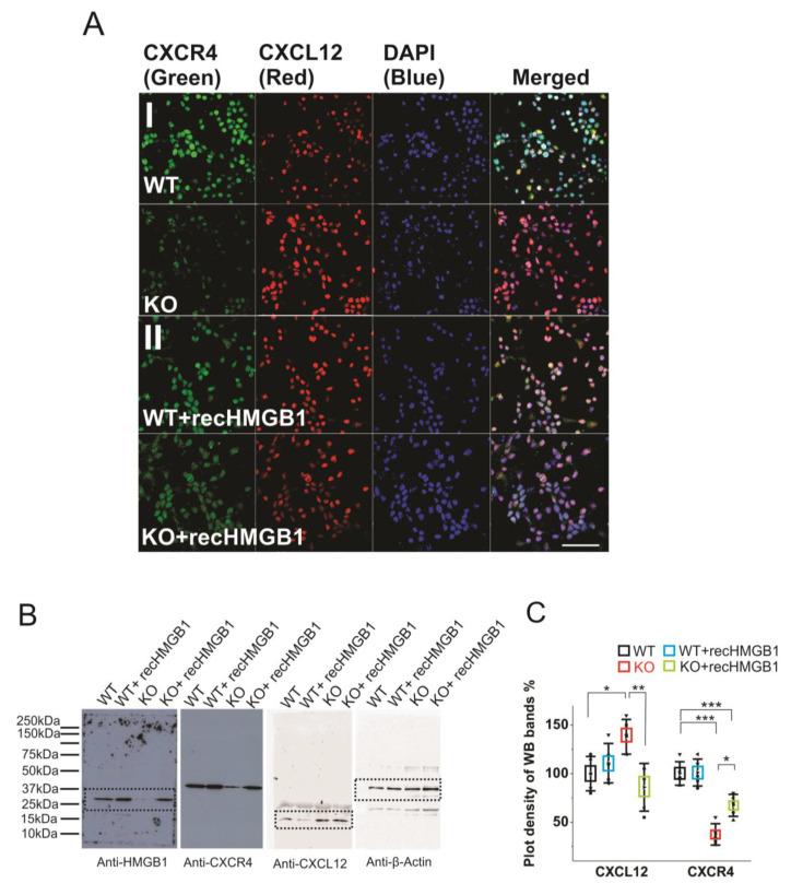
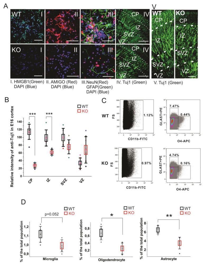
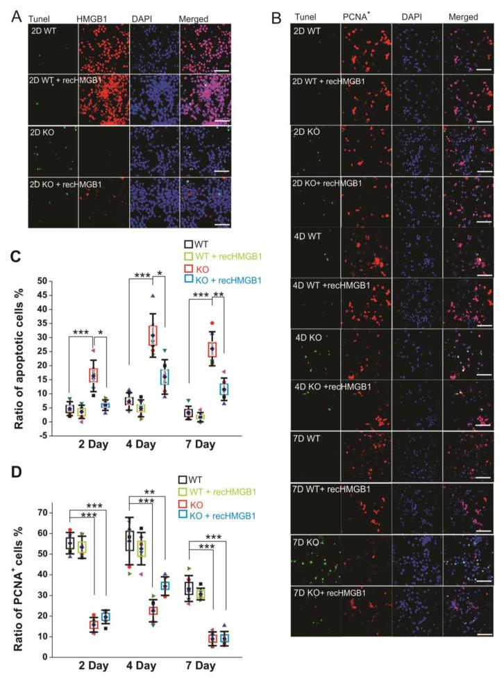
The High Mobility Group Box 1 (HMGB1) is the most abundant nuclear nonhistone protein that is involved in transcription regulation. In addition, HMGB1 has previously been found as an extracellularly acting protein enhancing neurite outgrowth in cultured neurons. Although HMGB1 is widely expressed in the developing central nervous system of vertebrates and invertebrates, its function in the developing mouse brain is poorly understood. Here, we have analyzed developmental defects of the HMGB1 null mouse forebrain, and further examined our findings in ex vivo brain cell cultures. We find that HMGB1 is required for the proliferation and differentiation of neuronal stem cells/progenitor cells. Enhanced apoptosis is also found in the neuronal cells lacking HMGB1. Moreover, HMGB1 depletion disrupts Wnt/β-catenin signaling and the expression of transcription factors in the developing cortex, including Foxg1, Tbr2, Emx2, and Lhx6. Finally, HMGB1 null mice display aberrant expression of CXCL12/CXCR4 and reduced RAGE signaling. In conclusion, HMGB1 plays a critical role in mammalian neurogenesis and brain development.

摘要

高迁移率族蛋白 B1(HMGB1)是含量最丰富的核非组蛋白,参与转录调控。此外,HMGB1 先前被发现为一种细胞外作用蛋白,可增强培养神经元中的神经突生长。尽管 HMGB1 在脊椎动物和无脊椎动物发育中的中枢神经系统中广泛表达,但它在发育中的小鼠大脑中的功能知之甚少。在这里,我们分析了 HMGB1 缺失型小鼠前脑的发育缺陷,并进一步在离体脑细胞培养物中检查了我们的发现。我们发现 HMGB1 是神经元干细胞/祖细胞增殖和分化所必需的。在缺乏 HMGB1 的神经元细胞中也发现了增强的细胞凋亡。此外,HMGB1 耗竭会破坏发育中的皮质中的 Wnt/β-catenin 信号传导和转录因子的表达,包括 Foxg1、Tbr2、Emx2 和 Lhx6。最后,HMGB1 缺失型小鼠表现出 CXCL12/CXCR4 的异常表达和 RAGE 信号的减少。总之,HMGB1 在哺乳动物神经发生和大脑发育中发挥关键作用。

https://cdn.ncbi.nlm.nih.gov/pmc/blobs/2517/7407245/7ac8a2000a42/cells-09-01714-g001.jpg

文献AI研究员

20分钟写一篇综述,助力文献阅读效率提升50倍。

立即体验

用中文搜PubMed

大模型驱动的PubMed中文搜索引擎

马上搜索

文档翻译

学术文献翻译模型,支持多种主流文档格式。

立即体验