Suppr超能文献

新冠疫情封锁期间肾移植受者的随访与管理:一家意大利移植中心的经验,包括两例新冠肺炎病例

Follow-up and Management of Kidney Transplant Recipients During the COVID-19 Lockdown: The Experience of an Italian Transplant Center, Including Two Cases of COVID-19 Pneumonia.

作者信息

Binda Barbara, Picchi Giovanna, Carucci Anna Cecilia, Sinatti Gaia, Di Norcia Monica, Grimaldi Alessandro, Lancione Laura, Natili Andrea, Chiappori Davide, Montali Filippo, Lupi Diana, Martinez Viviana, Panarese Alessandra, D'anselmi Fabrizio, Pisani Francesco

机构信息

General and Transplant Surgery Department, San Salvatore Hospital, ASL 1 Abruzzo, Avezzano, Sulmona, L'Aquila, Coppito, L'Aquila, Italy.

Infectious Disease Department, San Salvatore Hospital, ASL 1 Abruzzo, Avezzano, Sulmona, L'Aquila, Coppito, L'Aquila, Italy.

出版信息

Transplant Proc. 2020 Nov;52(9):2614-2619. doi: 10.1016/j.transproceed.2020.06.026. Epub 2020 Jun 28.

Abstract

BACKGROUND

Coronavirus disease 2019 (COVID-19) is a new infectious disease that emerged in China in late 2019 and is now spreading around the world. Social distancing measures were needed to reduce transmission, and lockdown included restricted access to health care facilities. The impact of COVID-19 on transplant recipients is unknown, but considering their immunosuppression status and associated comorbidities, they should be considered a high-risk population.

METHODS

A kidney transplant center in Central Italy implemented a strategy to maintain follow-up of kidney transplant recipients by phone and e-mail during lockdown. Telephone interviews were used to administer a clinical questionnaire to patients, and e-mail was used to receive the results of diagnostic tests conducted in outpatient settings.

RESULTS

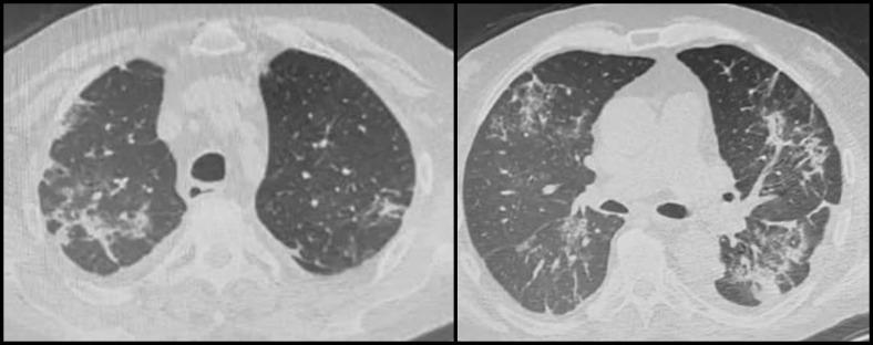
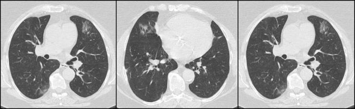
From March 17 to April 23, 2020, a total of 143 kidney transplant recipients were contacted. Twenty-eight patients needed in-hospital consultation for problems unrelated to COVID-19, 3 of whom needed hospitalization. Eleven patients were managed at home for mild urinary or respiratory diseases, and 1 was referred to the hematologist. We identified 2 suspected cases of COVID-19 infection, and the patients were referred to hospital care. Immunosuppressive therapy was modulated, and intravenous corticosteroids and potentially effective antiviral therapy were administered with a favorable outcome.

CONCLUSIONS

In the context of a lockdown, such as that occurring in response to COVID-19, we suggest implementing remote surveillance programs in kidney transplant recipients with the help of any available technology and offering medical consulting and logistic support as needed.

摘要

背景

2019年冠状病毒病(COVID-19)是2019年末在中国出现的一种新型传染病,目前正在全球传播。需要采取社交距离措施以减少传播,封锁措施包括限制进入医疗保健设施。COVID-19对移植受者的影响尚不清楚,但考虑到他们的免疫抑制状态和相关合并症,应将他们视为高危人群。

方法

意大利中部的一个肾脏移植中心实施了一项策略,在封锁期间通过电话和电子邮件对肾脏移植受者进行随访。通过电话访谈向患者发放临床问卷,并通过电子邮件接收门诊进行的诊断测试结果。

结果

2020年3月17日至4月23日,共联系了143名肾脏移植受者。28名患者因与COVID-19无关的问题需要住院咨询,其中3人需要住院治疗。11名患者因轻度泌尿系统或呼吸系统疾病在家中接受治疗,1名患者被转诊至血液科医生处。我们发现了2例疑似COVID-19感染病例,并将患者转诊至医院治疗。调整了免疫抑制治疗方案,并给予静脉注射皮质类固醇和可能有效的抗病毒治疗,结果良好。

结论

在因COVID-19而实施封锁的情况下,我们建议借助任何可用技术,对肾脏移植受者实施远程监测计划,并根据需要提供医疗咨询和后勤支持。

https://cdn.ncbi.nlm.nih.gov/pmc/blobs/09c8/7321021/1df0795506c1/gr1_lrg.jpg

文献AI研究员

20分钟写一篇综述,助力文献阅读效率提升50倍。

立即体验

用中文搜PubMed

大模型驱动的PubMed中文搜索引擎

马上搜索

文档翻译

学术文献翻译模型,支持多种主流文档格式。

立即体验