Suppr超能文献

EWSR1/FUS-CREB 融合定义了一种独特的恶性上皮样肿瘤,偏爱间皮衬里的腔隙。

EWSR1/FUS-CREB fusions define a distinctive malignant epithelioid neoplasm with predilection for mesothelial-lined cavities.

机构信息

Departments of Pathology, The Johns Hopkins Medical Institutions, Baltimore, MD, USA.

Departments of Oncology, The Johns Hopkins Medical Institutions, Baltimore, MD, USA.

出版信息

Mod Pathol. 2020 Nov;33(11):2233-2243. doi: 10.1038/s41379-020-0646-5. Epub 2020 Aug 7.

Abstract

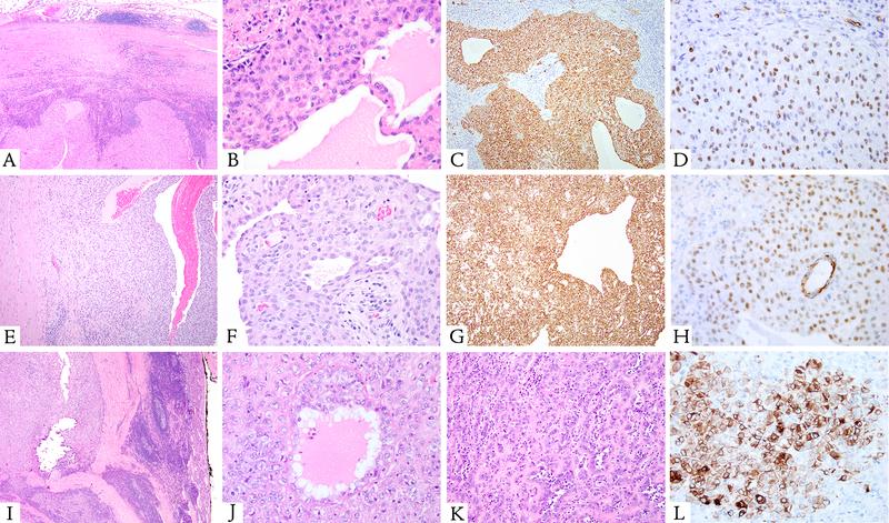
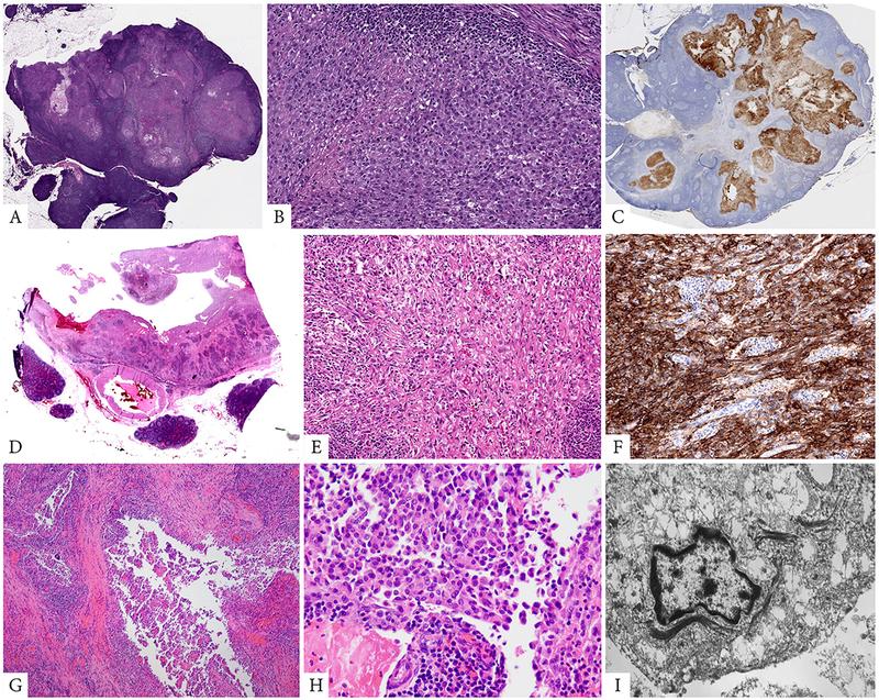
Gene fusions constitute pivotal driver mutations often encoding aberrant chimeric transcription factors. However, an increasing number of gene fusion events have been shown not to be histotype specific and shared among different tumor types, otherwise completely unrelated clinically or phenotypically. One such remarkable example of chromosomal translocation promiscuity is represented by fusions between EWSR1 or FUS with genes encoding for CREB-transcription factors family (ATF1, CREB1, and CREM), driving the pathogenesis of various tumor types spanning mesenchymal, neuroectodermal, and epithelial lineages. In this study, we investigate a group of 13 previously unclassified malignant epithelioid neoplasms, frequently showing an epithelial immunophenotype and marked predilection for the peritoneal cavity, defined by EWSR1/FUS-CREB fusions. There were seven females and six males, with a mean age of 36 (range 9-63). All except three cases occurred intra-abdominally, including one each involving the pleural cavity, upper, and lower limb soft tissue. All tumors showed a predominantly epithelioid morphology associated with cystic or microcystic changes and variable lymphoid cuffing either intermixed or at the periphery. All except one case expressed EMA and/or CK, five were positive for WT1, while being negative for melanocytic and other mesothelioma markers. Nine cases were confirmed by various RNA-sequencing platforms, while in the remaining four cases the gene rearrangements were detected by FISH. Eleven cases showed the presence of CREM-related fusions (EWSR1-CREM, 7; FUS-CREM, 4), while the remaining two harbored EWSR1-ATF1 fusion. Clinically, seven patients presented with and/or developed metastases, confirming a malignant biologic potential. Our findings expand the spectrum of tumors associated with CREB-related fusions, defining a novel malignant epithelioid neoplasm with an immunophenotype suggesting epithelial differentiation. This entity appears to display hybrid features between angiomatoid fibrous histiocytoma (cystic growth and lymphoid cuffing) and mesothelioma (peritoneal/pleural involvement, epithelioid phenotype, and cytokeratin and WT1 co-expression).

摘要

基因融合构成关键的驱动突变,通常编码异常的嵌合转录因子。然而,越来越多的基因融合事件并非组织类型特异性,而是在不同的肿瘤类型中共享,或者在临床上或表型上完全不相关。染色体易位混杂的一个显著例子是 EWSR1 或 FUS 与 CREB 转录因子家族(ATF1、CREB1 和 CREM)编码基因之间的融合,驱动跨越间充质、神经外胚层和上皮谱系的各种肿瘤类型的发病机制。在这项研究中,我们研究了一组 13 例以前未分类的恶性上皮样肿瘤,这些肿瘤经常表现出上皮免疫表型,并明显偏爱腹膜腔,由 EWSR1/FUS-CREB 融合驱动。患者中有 7 名女性和 6 名男性,平均年龄为 36 岁(范围 9-63 岁)。除了 3 例以外,所有病例均发生在腹腔内,包括 1 例累及胸膜腔、1 例累及上、下肢软组织。所有肿瘤均表现出主要的上皮样形态,伴有囊性或微囊性改变,以及可变的淋巴袖套,要么混合存在,要么位于周围。除了 1 例外,所有病例均表达 EMA 和/或 CK,5 例为 WT1 阳性,而黑色素瘤和其他间皮瘤标志物均为阴性。9 例通过各种 RNA 测序平台得到证实,而在其余 4 例中,基因重排通过 FISH 检测到。11 例显示存在 CREM 相关融合(EWSR1-CREM,7 例;FUS-CREM,4 例),而其余 2 例则存在 EWSR1-ATF1 融合。临床上,7 例患者出现并/或发展转移,证实了其具有恶性生物学潜能。我们的发现扩展了与 CREB 相关融合相关的肿瘤谱,定义了一种具有上皮分化免疫表型的新型恶性上皮样肿瘤。该实体似乎在血管脂肪瘤样纤维组织细胞瘤(囊性生长和淋巴袖套)和间皮瘤(腹膜/胸膜受累、上皮样表型以及细胞角蛋白和 WT1 共表达)之间具有混合特征。

https://cdn.ncbi.nlm.nih.gov/pmc/blobs/b524/7584759/23d9772488e6/nihms-1615708-f0001.jpg

文献AI研究员

20分钟写一篇综述,助力文献阅读效率提升50倍。

立即体验

用中文搜PubMed

大模型驱动的PubMed中文搜索引擎

马上搜索

文档翻译

学术文献翻译模型,支持多种主流文档格式。

立即体验