Suppr超能文献

鸟分枝杆菌复合群:解决诊断和管理方面的差距。

Mycobacterium avium Complex: Addressing Gaps in Diagnosis and Management.

机构信息

Division of Mycobacterial and Respiratory Infections, Department of Medicine, National Jewish Health, Denver, CO, USA.

Professor of Infectious Diseases, School of Medicine Professor of Public Health, School of Public Health Oregon Health and Science University Portland, OR, USA.

出版信息

J Infect Dis. 2020 Aug 20;222(Suppl 4):S199-S211. doi: 10.1093/infdis/jiaa354.

Abstract

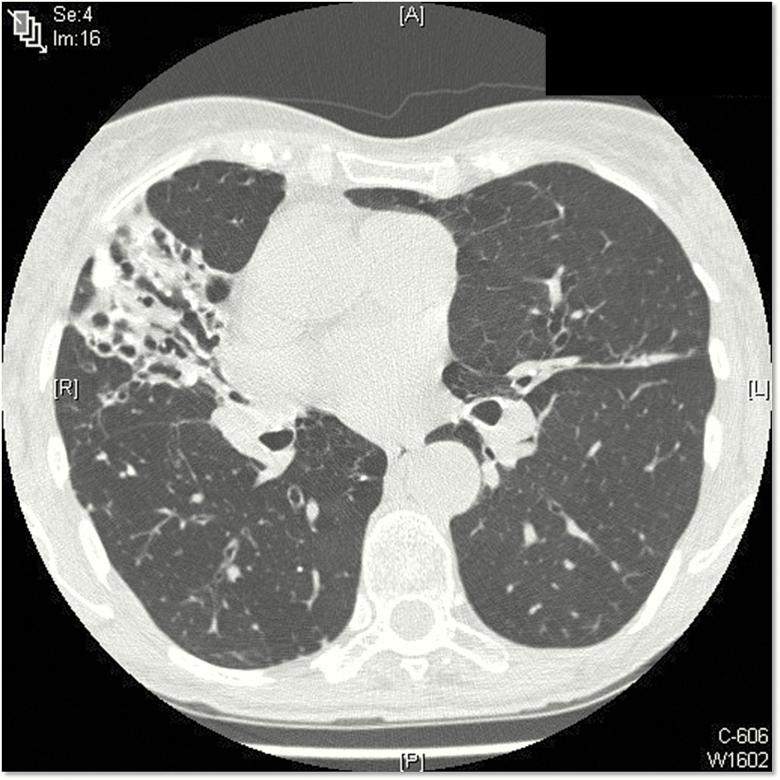
Nontuberculous mycobacteria (NTM) are ubiquitous in the environment and an important cause of disease. The most common species causing pulmonary disease are members of Mycobacterium avium complex (MAC). MAC pulmonary disease (MAC-PD) can be chronic, debilitating, costly, and associated with a high mortality. However, MAC diagnoses are often delayed due to the nonspecific presentation of MAC-PD and radiological findings that overlap with other pulmonary diseases. Patients with risk factors and who meet the diagnostic criteria-which include clinical, radiological, and microbiologic criteria-should be considered for treatment. Diagnosis requires 2 or more positive sputum cultures or 1 bronchoscopic specimen culture. The recommendation for those who are treated is a 3-drug regimen including macrolide, rifamycin, and ethambutol that is continued for 12 months beyond sputum culture conversion to negative. MAC-PD is difficult to treat, with frequent drug-related side effects and suboptimal treatment outcomes. Refractory and recurrent disease is common, leading to lifelong follow-up of patients. There are limited treatment options for patients with macrolide-resistant or refractory disease. Amikacin liposome inhalation suspension is recommended for treatment-refractory patients whose cultures remain positive after 6 months of guideline-based therapy. Among the research priorities to improve patient outcomes and quality of life are developing new, more rapid diagnostic tests, investigating biomarkers associated with disease progression, and identifying new drugs and routes of administration as well as new, shorter, and better-tolerated regimens.

摘要

非结核分枝杆菌(NTM)广泛存在于环境中,是疾病的重要病因。引起肺部疾病最常见的物种是鸟分枝杆菌复合群(MAC)的成员。MAC 肺部疾病(MAC-PD)可能是慢性的、使人虚弱的、昂贵的,并与高死亡率相关。然而,由于 MAC-PD 的非特异性表现和与其他肺部疾病重叠的影像学发现,MAC 诊断通常会被延迟。有危险因素且符合诊断标准的患者——包括临床、影像学和微生物学标准——应考虑进行治疗。诊断需要 2 次或以上阳性痰培养或 1 次支气管镜标本培养。对于接受治疗的患者,建议使用包括大环内酯类、利福霉素类和乙胺丁醇在内的 3 种药物方案,在痰培养转为阴性后再继续治疗 12 个月。MAC-PD 难以治疗,药物相关副作用频繁,治疗效果不理想。难治性和复发性疾病很常见,导致患者需要终身随访。对于大环内酯类耐药或难治性疾病的患者,治疗选择有限。对于培养阳性持续 6 个月后仍符合指南治疗的治疗抵抗患者,推荐使用阿米卡星脂质体吸入混悬液。为了改善患者的预后和生活质量,有许多研究重点,包括开发更快速的新诊断测试、研究与疾病进展相关的生物标志物、以及确定新的药物和给药途径,以及新的、更短、耐受性更好的治疗方案。

https://cdn.ncbi.nlm.nih.gov/pmc/blobs/16d3/7566660/7535424be0eb/jiaa354f0001.jpg

文献AI研究员

20分钟写一篇综述,助力文献阅读效率提升50倍。

立即体验

用中文搜PubMed

大模型驱动的PubMed中文搜索引擎

马上搜索

文档翻译

学术文献翻译模型,支持多种主流文档格式。

立即体验