Suppr超能文献

采用完全细胞减灭术、腹膜切除术及腹腔内热化疗治疗多囊性腹膜间皮瘤——病例报告

Multicystic peritoneal mesothelioma treated with complete cytoreductive surgery, peritonectomy and hyperthermic intra-peritoneal chemotherapy-A case report.

作者信息

Padmanabhan Naveen, Ishibashi Haruaki, Nishihara Kazurou, Sako Shouzou, Katayama Kanji, Wakama Satoshi, Kamada Yasuyuki, Yonemura Yutaka

机构信息

Department of Surgical Oncology, Apollo Cancer Insitutes, Chennai, India; NPO to Support Peritoneal Surface Malignancy Treatment, Japanese/Asian School of Peritoneal Surface Oncology, Kyoto, Japan; Department of Regional Cancer Therapies, Peritoneal Surface Malignancy Center, Kishiwada Tokushukai Hospital, Kishiwada, Japan.

NPO to Support Peritoneal Surface Malignancy Treatment, Japanese/Asian School of Peritoneal Surface Oncology, Kyoto, Japan; Department of Regional Cancer Therapies, Peritoneal Surface Malignancy Center, Kishiwada Tokushukai Hospital, Kishiwada, Japan.

出版信息

Int J Surg Case Rep. 2020;74:152-157. doi: 10.1016/j.ijscr.2020.07.074. Epub 2020 Aug 8.

Abstract

BACKGROUND

Multicystic Peritoneal mesothelioma is a rare and distinct variety of peritoneal mesothelioma with borderline malignant potential. Conventional Tumor bulking has been associated with recurrence of 45-50 %. Hence a comprehensive treatment with Complete cytoreductive surgery with involved field peritonectomy (CRS) and Hyperthermic Intra-peritoneal chemotherapy (HIPEC) is being increasingly adopted for MCPM.

CASE PRESENTATION

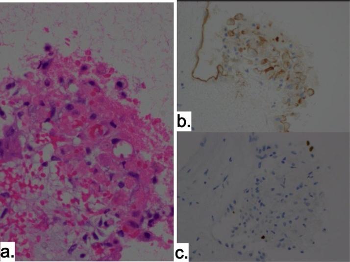
A 47 year old lady evaluated for peri-menopausal disturbance was diagnosed to have a multicystic lesion in the pelvis. With a preoperative suspicion of diagnosis of pseudomyxoma peritonei, CRS with HIPEC was planned. On exploration a diffuse multicystic mass was found in omentum and pouch of douglas with typical morphological features of MCPM. Complete cytoreduction was achieved with anterolateral and sub-diaphragmatic peritonectomy, omentectomy and panhystrectomy. HIPEC was performed with cisplatin 50 mg/m for 40 min. Pathological examination revealed MCPM of omentum and uterine surface with focal clusters of mesothelial proliferation. However there was low proliferative activity 1-2 %.

DISCUSSION

MCPM presents with wide spread peritoneal spread but with relative sparing of visceral invasion. Literature review suggests the disease spread is similar to PMP and treatment with CCRS and HIPEC has yielded long term survivals in MCPM.

CONCLUSIONS

This patient with voluminous disease burden in abdomen required surgical management and HIPEC for her condition. Whether CCRS alone without HIPEC can be an alternative for limited disease will be interesting research for future clinical reports.

摘要

背景

多囊性腹膜间皮瘤是一种罕见且独特的腹膜间皮瘤,具有交界性恶性潜能。传统的肿瘤减积手术复发率为45%-50%。因此,对于多囊性腹膜间皮瘤,越来越多地采用包括根治性细胞减灭术及受累区域腹膜切除术(CRS)和腹腔内热灌注化疗(HIPEC)的综合治疗方法。

病例介绍

一名47岁因围绝经期紊乱接受评估的女性被诊断为盆腔有一个多囊性病变。术前怀疑为腹膜假黏液瘤,计划行CRS联合HIPEC。术中探查发现大网膜和Douglas窝有弥漫性多囊性肿块,具有多囊性腹膜间皮瘤的典型形态特征。通过前外侧和膈下腹膜切除术、大网膜切除术和全子宫切除术实现了根治性细胞减灭。顺铂50mg/m²进行40分钟的HIPEC治疗。病理检查显示大网膜和子宫表面为多囊性腹膜间皮瘤,有局灶性间皮细胞增生簇。然而,增殖活性较低,为1%-2%。

讨论

多囊性腹膜间皮瘤表现为广泛的腹膜播散,但相对较少侵犯内脏。文献综述表明,该疾病的播散与腹膜假黏液瘤相似,CRS联合HIPEC治疗已使多囊性腹膜间皮瘤患者获得长期生存。

结论

该腹部疾病负担较重的患者需要手术治疗和HIPEC治疗。对于局限性疾病,单纯CRS而不进行HIPEC是否可以作为一种替代方案,将是未来临床报告中有趣的研究内容。

https://cdn.ncbi.nlm.nih.gov/pmc/blobs/981d/7452569/96f23ccadc0c/gr1.jpg

文献AI研究员

20分钟写一篇综述,助力文献阅读效率提升50倍。

立即体验

用中文搜PubMed

大模型驱动的PubMed中文搜索引擎

马上搜索

文档翻译

学术文献翻译模型,支持多种主流文档格式。

立即体验