Suppr超能文献

梓醇通过Nrf2和NF-κB信号通路对顺铂诱导的肾损伤起到保护作用。

Treatment with catalpol protects against cisplatin-induced renal injury through Nrf2 and NF-κB signaling pathways.

作者信息

Zhang Jun, Liu Li, Li Furong, Wang Zongqian, Zhao Jinghong

机构信息

Department of Nephrology, The key Laboratory for the Prevention and Treatment of Chronic Kidney Disease of Chongqing, Kidney Center of PLA, Xinqiao Hospital, Army Medical University (Third Military Medical University), Chongqing 400037, P.R. China.

出版信息

Exp Ther Med. 2020 Oct;20(4):3025-3032. doi: 10.3892/etm.2020.9077. Epub 2020 Jul 29.

Abstract

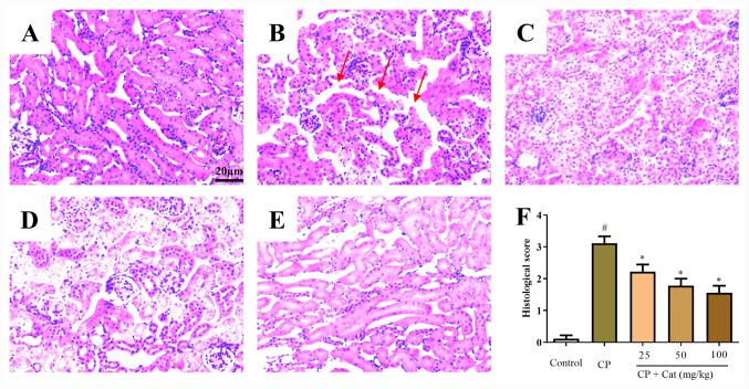
Cisplatin (CP) is one of the most widely used chemotherapy drugs for cancer treatment, but it often leads to nephrotoxicity. It is well known that catalpol exhibits antioxidant and anti-inflammatory functions, thus the present study aimed to investigate the potential protective effects of catalpol on CP-induced kidney injury in rats, in addition to determining the underlying mechanisms. Sprague-Dawley rats were treated with 25, 50 or 100 mg/kg catalpol for two days, injected with 20 mg/kg cisplatin and catalpol on day 3 and sacrificed on day 4. The histological analysis of isolated kidney tissues was performed using hematoxylin and eosin staining, cleaved caspase-3 expression levels were analyzed using western blotting and the expression levels of inflammatory cytokines in the tissues, including tumor necrosis factor α (TNF-α), interleukin (IL)-1β, IL-6, IL-8, IL-10 and inducible nitric oxide synthase (iNOS) were evaluated using ELISAs. Furthermore, the mRNA and protein expression levels of nuclear factor erythroid 2-related factor 2 (Nrf2), heme oxygenase 1 (HO-1), kelch-like ECH-associated protein 1 (Keap1), NF-κB and inhibitory κB (IκB) were determined using reverse transcription-quantitative PCR and western blotting, respectively. The results revealed that the treatment with catalpol prevented the histopathological injury and renal dysfunction caused by CP. In addition, catalpol significantly suppressed the CP-induced apoptosis of tubular cells, inhibited the CP-induced upregulation of TNF-α, IL-1β, IL-6, IL-8 and iNOS and promoted the production of the anti-inflammatory cytokine IL-10. Additionally, the mRNA and protein expression levels of Nrf2, HO-1 and IκB in the kidney tissues were increased, whereas the expression levels of Keap1 and NF-κB were significantly decreased following the treatment with catalpol. In conclusion, these results suggested that catalpol may inhibit CP-induced renal injury and suppress the associated inflammatory response through activating the Nrf2 and inhibiting the NF-κB signaling pathways, respectively.

摘要

顺铂(CP)是癌症治疗中使用最广泛的化疗药物之一,但它常常会导致肾毒性。众所周知,梓醇具有抗氧化和抗炎功能,因此本研究旨在探讨梓醇对顺铂诱导的大鼠肾损伤的潜在保护作用,并确定其潜在机制。将斯普拉格-道利大鼠用25、50或100mg/kg梓醇处理两天,在第3天注射20mg/kg顺铂和梓醇,并在第4天处死。使用苏木精和伊红染色对分离的肾组织进行组织学分析,使用蛋白质印迹法分析裂解的半胱天冬酶-3表达水平,并使用酶联免疫吸附测定法评估组织中炎性细胞因子的表达水平,包括肿瘤坏死因子α(TNF-α)、白细胞介素(IL)-1β、IL-6、IL-8、IL-10和诱导型一氧化氮合酶(iNOS)。此外,分别使用逆转录定量PCR和蛋白质印迹法测定核因子红细胞2相关因子2(Nrf2)、血红素加氧酶1(HO-1)、kelch样ECH相关蛋白1(Keap1)、核因子κB(NF-κB)和抑制性κB(IκB)的mRNA和蛋白质表达水平。结果显示,梓醇处理可预防顺铂引起的组织病理学损伤和肾功能障碍。此外,梓醇显著抑制顺铂诱导的肾小管细胞凋亡,抑制顺铂诱导的TNF-α、IL-1β、IL-6、IL-8和iNOS上调,并促进抗炎细胞因子IL-10的产生。此外,梓醇处理后,肾组织中Nrf2、HO-1和IκB的mRNA和蛋白质表达水平升高,而Keap1和NF-κB的表达水平显著降低。总之,这些结果表明,梓醇可能分别通过激活Nrf2和抑制NF-κB信号通路来抑制顺铂诱导的肾损伤并抑制相关的炎症反应。

https://cdn.ncbi.nlm.nih.gov/pmc/blobs/2a46/7444339/7897f40765bd/etm-20-04-3025-g00.jpg

文献AI研究员

20分钟写一篇综述,助力文献阅读效率提升50倍。

立即体验

用中文搜PubMed

大模型驱动的PubMed中文搜索引擎

马上搜索

文档翻译

学术文献翻译模型,支持多种主流文档格式。

立即体验