Suppr超能文献

由于基因突变导致的肢带型肌肉营养不良症:新的突变扩展了仍然具有挑战性的诊断的临床谱。

Limb girdle muscular dystrophy due to gene mutations: new mutations expand the clinical spectrum of a still challenging diagnosis.

机构信息

Dino Ferrari Center, Neurology Unit, Department of Pathophysiology and Transplantation, IRCCS Foundation Ca' Granda Ospedale Maggiore Policlinico, Milan, Italy.

Department of Neuroscience, University of Padua, Italy.

出版信息

Acta Myol. 2020 Jun 1;39(2):67-82. doi: 10.36185/2532-1900-009. eCollection 2020 Jun.

Abstract

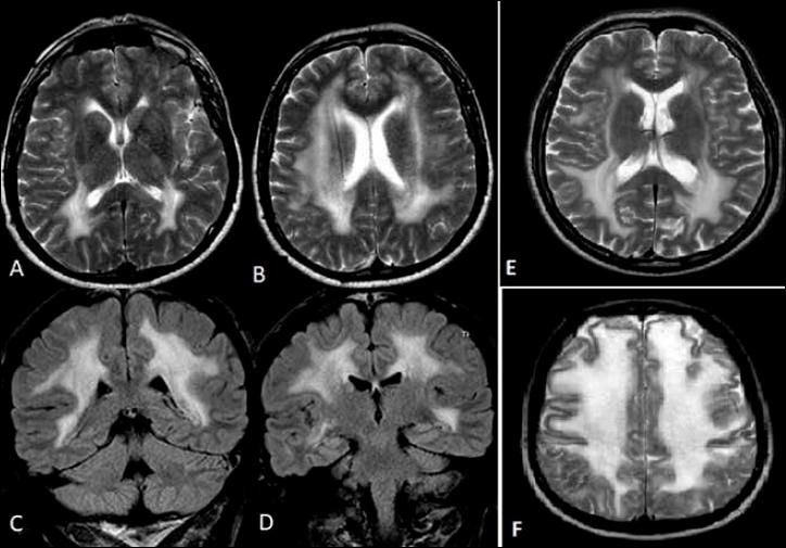
Mutations in gene, encoding merosin, are generally responsible of a severe congenital-onset muscular dystrophy (CMD type 1A) characterized by severe weakness, merosin absence at muscle analysis and white matter alterations at brain Magnetic Resonance Imaging (MRI). Recently, mutations have been acknowledged as responsible of LGMD R23, despite only few cases with slowly progressive adult-onset and partial merosin deficiency have been reported. We describe 5 independent Italian subjects presenting with progressive limb girdle muscular weakness, brain white matter abnormalities, merosin deficiency and gene mutations. We detected 7 different mutations, 6 of which are new. All patients showed normal psicomotor development and slowly progressive weakness with onset spanning from childhood to forties. Creatin-kinase levels were moderately elevated. One patient showed dilated cardiomyopathy. Muscle MRI allowed to evaluate the degree and pattern of muscular involvement in all patients. Brain MRI was fundamental in order to address and/or support the molecular diagnosis, showing typical widespread white matter hyperintensity in T2-weighted sequences. Interestingly these alterations were associated with central nervous system involvement in 3 patients who presented epilepsy and migraine. Muscle biopsy commonly but not necessarily revealed dystrophic features. Western-blot was usually more accurate than immunohystochemical analysis in detecting merosin deficiency. The description of these cases further enlarges the clinical spectrum of -related disorders. Moreover, it supports the inclusion of LGMD R23 in the new classification of LGMD. The central nervous system involvement was fundamental to address the diagnosis and should be always included in the diagnostic work-up of undiagnosed LGMD.

摘要

基因突变,编码 merosin,通常负责严重的先天性肌营养不良症(CMD 型 1A),其特征是严重的无力、肌肉分析中 merosin 缺失和大脑磁共振成像(MRI)中的白质改变。最近,基因突变被认为是 LGMD R23 的病因,尽管仅有少数几例报道为缓慢进展的成年发病和部分 merosin 缺乏。我们描述了 5 例意大利独立患者,他们表现为进行性肢体带肌无力、脑白质异常、merosin 缺乏和基因突变。我们检测到 7 种不同的突变,其中 6 种是新的。所有患者均表现为正常的心理运动发育和缓慢进展的无力,发病时间从儿童期到四十多岁不等。肌酸激酶水平中度升高。1 例患者表现为扩张型心肌病。肌肉 MRI 可评估所有患者的肌肉受累程度和模式。脑 MRI 对于明确和/或支持分子诊断至关重要,在 T2 加权序列上显示出典型的广泛白质高信号。有趣的是,这些改变与 3 例出现癫痫和偏头痛的患者的中枢神经系统受累有关。肌肉活检通常但并非总是显示出肌营养不良的特征。Western blot 在检测 merosin 缺乏方面通常比免疫组织化学分析更准确。这些病例的描述进一步扩大了 -相关疾病的临床谱。此外,它支持将 LGMD R23 纳入新的 LGMD 分类。中枢神经系统受累对于明确诊断至关重要,应始终包含在未确诊的 LGMD 的诊断评估中。

https://cdn.ncbi.nlm.nih.gov/pmc/blobs/7dae/7460730/eceac2643b79/am-2020-02-67-g001.jpg

文献AI研究员

20分钟写一篇综述,助力文献阅读效率提升50倍。

立即体验

用中文搜PubMed

大模型驱动的PubMed中文搜索引擎

马上搜索

文档翻译

学术文献翻译模型,支持多种主流文档格式。

立即体验