Suppr超能文献

适应血流变化的血管内皮细胞在器官发生和肿瘤发生中的作用。

Adaptable haemodynamic endothelial cells for organogenesis and tumorigenesis.

机构信息

Division of Regenerative Medicine, Ansary Stem Cell Institute, Department of Medicine, Weill Cornell Medicine, New York, NY, USA.

Department of Ophthalmology, Margaret Dyson Vision Research Institute, Weill Cornell Medicine, New York, NY, USA.

出版信息

Nature. 2020 Sep;585(7825):426-432. doi: 10.1038/s41586-020-2712-z. Epub 2020 Sep 9.

Abstract

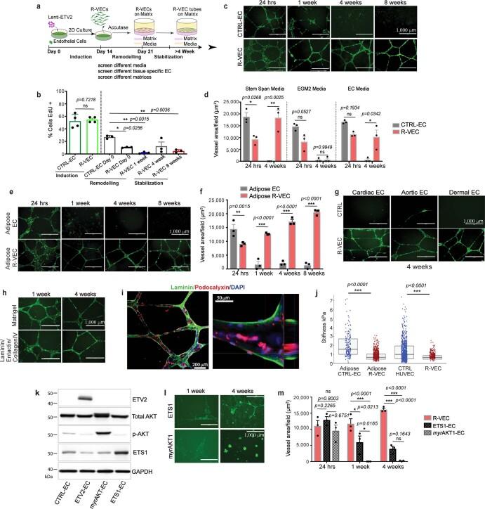
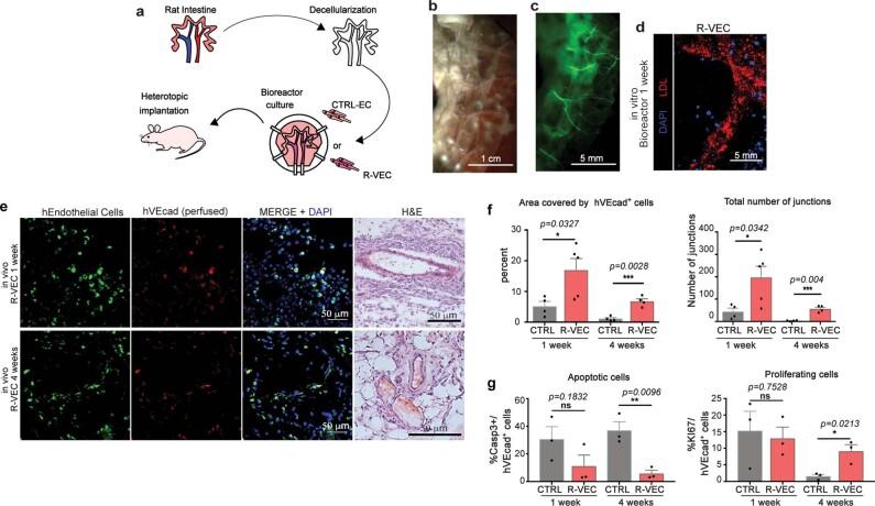
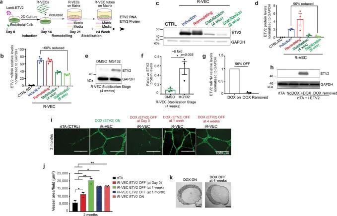
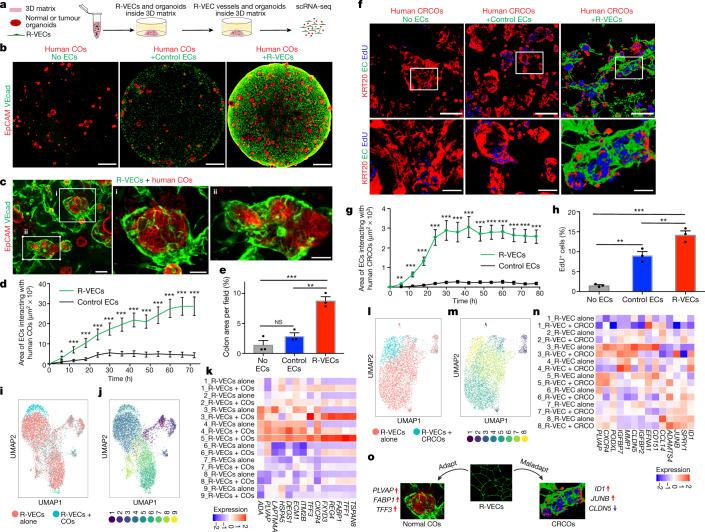
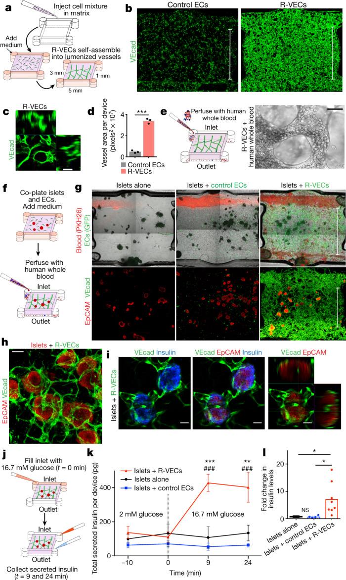
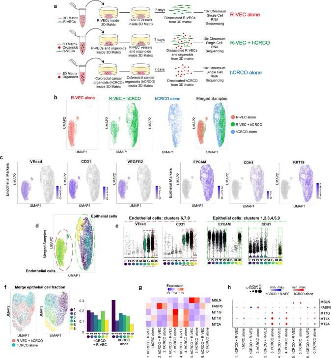
Endothelial cells adopt tissue-specific characteristics to instruct organ development and regeneration. This adaptability is lost in cultured adult endothelial cells, which do not vascularize tissues in an organotypic manner. Here, we show that transient reactivation of the embryonic-restricted ETS variant transcription factor 2 (ETV2) in mature human endothelial cells cultured in a serum-free three-dimensional matrix composed of a mixture of laminin, entactin and type-IV collagen (LEC matrix) 'resets' these endothelial cells to adaptable, vasculogenic cells, which form perfusable and plastic vascular plexi. Through chromatin remodelling, ETV2 induces tubulogenic pathways, including the activation of RAP1, which promotes the formation of durable lumens. In three-dimensional matrices-which do not have the constraints of bioprinted scaffolds-the 'reset' vascular endothelial cells (R-VECs) self-assemble into stable, multilayered and branching vascular networks within scalable microfluidic chambers, which are capable of transporting human blood. In vivo, R-VECs implanted subcutaneously in mice self-organize into durable pericyte-coated vessels that functionally anastomose to the host circulation and exhibit long-lasting patterning, with no evidence of malformations or angiomas. R-VECs directly interact with cells within three-dimensional co-cultured organoids, removing the need for the restrictive synthetic semipermeable membranes that are required for organ-on-chip systems, therefore providing a physiological platform for vascularization, which we call 'Organ-On-VascularNet'. R-VECs enable perfusion of glucose-responsive insulin-secreting human pancreatic islets, vascularize decellularized rat intestines and arborize healthy or cancerous human colon organoids. Using single-cell RNA sequencing and epigenetic profiling, we demonstrate that R-VECs establish an adaptive vascular niche that differentially adjusts and conforms to organoids and tumoroids in a tissue-specific manner. Our Organ-On-VascularNet model will permit metabolic, immunological and physiochemical studies and screens to decipher the crosstalk between organotypic endothelial cells and parenchymal cells for identification of determinants of endothelial cell heterogeneity, and could lead to advances in therapeutic organ repair and tumour targeting.

摘要

内皮细胞具有组织特异性特征,可以指导器官发育和再生。然而,在培养的成年内皮细胞中,这种适应性会丧失,它们不能以器官形成的方式使组织血管化。在这里,我们表明,在由层粘连蛋白、entactin 和 IV 型胶原组成的无血清三维基质(LEC 基质)中培养的成熟人内皮细胞中,瞬时重新激活胚胎限制的 ETS 变体转录因子 2(ETV2)“重置”这些内皮细胞,使其成为适应性强、血管生成的细胞,这些细胞可形成可灌注和可塑的血管丛。通过染色质重塑,ETV2 诱导管状形成途径,包括 RAP1 的激活,这促进了持久管腔的形成。在三维基质中——没有生物打印支架的限制——“重置”的血管内皮细胞(R-VEC)在可扩展的微流控腔室内自组装成稳定的、多层和分支的血管网络,这些网络能够输送人血。在体内,皮下植入小鼠的 R-VEC 自组织成持久的周细胞包被的血管,这些血管与宿主循环功能吻合,并表现出持久的模式,没有畸形或血管瘤的证据。R-VEC 直接与三维共培养类器官内的细胞相互作用,无需用于器官芯片系统的限制性合成半透膜,因此为血管化提供了一个生理平台,我们称之为“器官在血管网上”。R-VEC 可使葡萄糖反应性分泌胰岛素的人胰岛灌注,使脱细胞大鼠肠血管化,并使健康或癌变的人结肠类器官分枝。通过单细胞 RNA 测序和表观遗传分析,我们证明 R-VEC 建立了一个适应性血管生态位,以组织特异性的方式差异调节和适应类器官和肿瘤。我们的器官在血管网上模型将允许进行代谢、免疫和生理化学研究和筛选,以破译器官形成内皮细胞和实质细胞之间的串扰,以确定内皮细胞异质性的决定因素,并可能推动治疗性器官修复和肿瘤靶向的进展。

https://cdn.ncbi.nlm.nih.gov/pmc/blobs/fe20/7480005/77c3748b44db/41586_2020_2712_Fig1_HTML.jpg

文献AI研究员

20分钟写一篇综述,助力文献阅读效率提升50倍。

立即体验

用中文搜PubMed

大模型驱动的PubMed中文搜索引擎

马上搜索

文档翻译

学术文献翻译模型,支持多种主流文档格式。

立即体验