Suppr超能文献

阴暗冷水花通过调节内质网应激、促炎和纤维化基因改善 CCl 诱导的大鼠肝损伤。

Pilea umbrosa ameliorate CCl induced hepatic injuries by regulating endoplasmic reticulum stress, pro-inflammatory and fibrosis genes in rat.

机构信息

Faculty of Biological Sciences, Department of Biochemistry, Quaid-i-Azam University, Islamabad, Pakistan.

出版信息

Environ Health Prev Med. 2020 Sep 11;25(1):53. doi: 10.1186/s12199-020-00893-2.

Abstract

BACKGROUND

Pilea umbrosa (Urticaceae) is used by local communities (district Abbotabad) for liver disorders, as anticancer, in rheumatism and in skin disorders.

METHODS

Methanol extract of P. umbrosa (PUM) was investigated for the presence of polyphenolic constituents by HPLC-DAD analysis. PUM (150 mg/kg and 300 mg/kg) was administered on alternate days for eight weeks in rats exposed with carbon tetrachloride (CCl). Serum analysis was performed for liver function tests while in liver tissues level of antioxidant enzymes and biochemical markers were also studied. In addition, semi quantitative estimation of antioxidant genes, endoplasmic reticulum (ER) induced stress markers, pro-inflammatory cytokines and fibrosis related genes were carried out on liver tissues by RT-PCR analysis. Liver tissues were also studied for histopathological injuries.

RESULTS

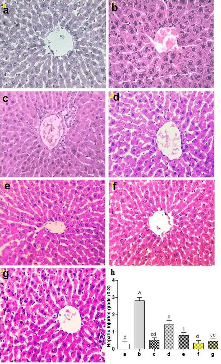
Level of antioxidant enzymes such as catalase (CAT), superoxide dismutase (SOD), peroxidase (POD) and glutathione (GSH) decreased (p < 0.05) whereas level of thiobarbituric acid reactive substance (TBARS), HO and nitrite increased in liver tissues of CCl treated rat. Likewise increase in the level of serum markers; alanine transaminase (ALT), aspartate transaminase (AST), alkaline phosphatase (ALP) and total bilirubin was observed. Moreover, CCl caused many fold increase in expression of ER stress markers; glucose regulated protein (GRP-78), x-box binding protein1-total (XBP-1 t), x-box binding protein1-unspliced (XBP-1 u) and x-box binding protein1-spliced (XBP-1 s). The level of inflammatory mediators such as tumor necrosis factor-α (TNF-α), interleukin-6 (IL-6) and monocyte chemoattractant protein-1 (MCP-1) was aggregated whereas suppressed the level of antioxidant enzymes; γ-glutamylcysteine ligase (GCLC), protein disulfide isomerase (PDI) and nuclear erythroid 2 p45-related factor 2 (Nrf-2). Additionally, level of fibrosis markers; transforming growth factor-β (TGF-β), Smad-3 and collagen type 1 (Col1-α) increased with CCl induced liver toxicity. Histopathological scrutiny depicted damaged liver cells, neutrophils infiltration and dilated sinusoids in CCl intoxicated rats. PUM was enriched with rutin, catechin, caffeic acid and apigenin as evidenced by HPLC analysis. Simultaneous administration of PUM and CCl in rats retrieved the normal expression of these markers and prevented hepatic injuries.

CONCLUSION

Collectively these results suggest that PUM constituted of strong antioxidant chemicals and could be a potential therapeutic agent for stress related liver disorders.

摘要

背景

荨麻科苎麻(苎麻)被当地社区(阿伯塔巴德地区)用于肝脏疾病、抗癌、风湿和皮肤疾病。

方法

用 HPLC-DAD 分析检测苎麻(PUM)甲醇提取物中多酚类成分的存在。在四氯化碳(CCl)暴露的大鼠中,PUM(150mg/kg 和 300mg/kg)每隔一天给药 8 周。对血清进行肝功能检查,同时研究肝组织中抗氧化酶和生化标志物的水平。此外,通过 RT-PCR 分析对肝组织中抗氧化基因、内质网(ER)诱导的应激标志物、促炎细胞因子和纤维化相关基因进行半定量估计。还对肝组织进行了组织病理学损伤研究。

结果

CCl 处理大鼠肝组织中过氧化氢酶(CAT)、超氧化物歧化酶(SOD)、过氧化物酶(POD)和谷胱甘肽(GSH)等抗氧化酶的水平降低(p<0.05),而丙二醛(TBARS)、HO 和亚硝酸盐的水平升高。同样,血清标志物丙氨酸转氨酶(ALT)、天冬氨酸转氨酶(AST)、碱性磷酸酶(ALP)和总胆红素的水平也升高。此外,CCl 导致 ER 应激标志物葡萄糖调节蛋白 78(GRP-78)、X 盒结合蛋白 1-总(XBP-1t)、X 盒结合蛋白 1-未剪接(XBP-1u)和 X 盒结合蛋白 1-剪接(XBP-1s)的表达增加了多倍。炎症介质如肿瘤坏死因子-α(TNF-α)、白细胞介素-6(IL-6)和单核细胞趋化蛋白-1(MCP-1)的水平聚集,而抗氧化酶γ-谷氨酰半胱氨酸连接酶(GCLC)、蛋白二硫化物异构酶(PDI)和核红细胞 2 p45 相关因子 2(Nrf-2)的水平受到抑制。此外,纤维化标志物转化生长因子-β(TGF-β)、Smad-3 和胶原 1-α(Col1-α)的水平随着 CCl 诱导的肝毒性而升高。组织病理学检查显示 CCl 中毒大鼠肝细胞受损、中性粒细胞浸润和窦扩张。HPLC 分析表明,PUM 富含芦丁、儿茶素、咖啡酸和芹菜素。在大鼠中同时给予 PUM 和 CCl 可恢复这些标志物的正常表达,并防止肝损伤。

结论

综上所述,PUM 含有强大的抗氧化化学物质,可能是应激相关肝脏疾病的潜在治疗药物。

https://cdn.ncbi.nlm.nih.gov/pmc/blobs/d5f4/7488709/ced282245c48/12199_2020_893_Fig1_HTML.jpg

文献AI研究员

20分钟写一篇综述,助力文献阅读效率提升50倍。

立即体验

用中文搜PubMed

大模型驱动的PubMed中文搜索引擎

马上搜索

文档翻译

学术文献翻译模型,支持多种主流文档格式。

立即体验