Suppr超能文献

重度哮喘和变应性支气管肺曲霉菌病患者对生物制剂的差异反应:度普利尤单抗起了什么作用?

Differential response to biologics in a patient with severe asthma and ABPA: a role for dupilumab?

作者信息

Mümmler Carlo, Kemmerich Bernd, Behr Jürgen, Kneidinger Nikolaus, Milger Katrin

机构信息

Department of Internal Medicine V, Ludwig-Maximilians-University of Munich (LMU), Marchioninistr.15, 81377 Munich, Germany.

Comprehensive Pneumology Center (CPC-M), Member of the German Center for Lung Research (DZL), Munich, Germany.

出版信息

Allergy Asthma Clin Immunol. 2020 Jun 26;16:55. doi: 10.1186/s13223-020-00454-w. eCollection 2020.

Abstract

BACKGROUND

Allergic bronchopulmonary aspergillosis (ABPA) is a severe hypersensitivity reaction to aspergillus species colonizing the airways of patients with asthma or cystic fibrosis. Biologics including anti-IgE and anti-IL5 antibodies have strongly changed the treatment of severe asthmatics and have partly been reported to be effective in the treatment of ABPA. Recently, dupilumab, an anti-IL4-Rα antibody which inhibits signaling by the Th2-cytokines IL4 and IL13, has been approved for the treatment of severe asthma.

CASE PRESENTATION

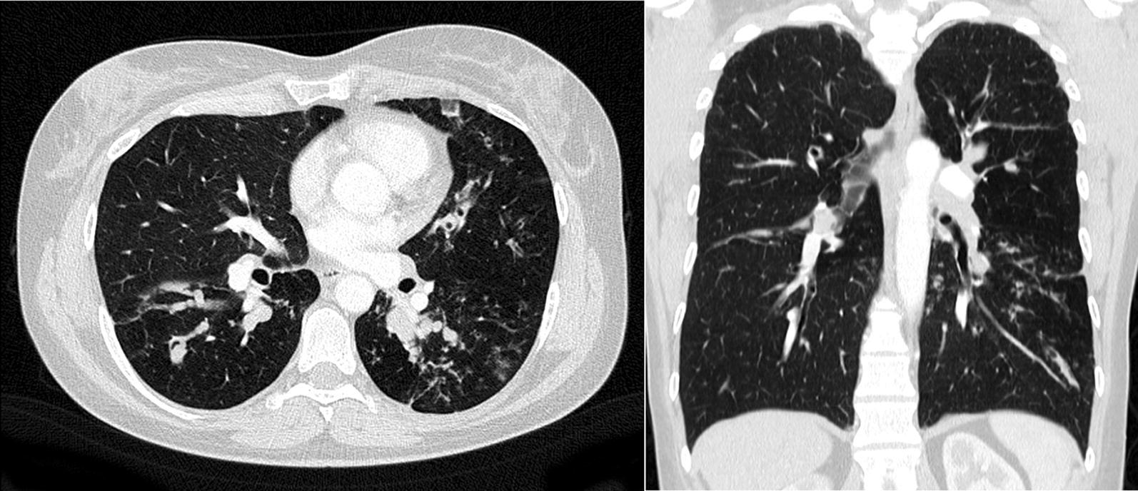
Here, we report the case of a 49-year-old woman with severe asthma and ABPA, who was uncontrolled despite maximum inhalative therapy, anti-IL5-Rα antibody and continuous oral steroid therapy. Moreover, trials of itraconazole as well as omalizumab showed insufficient efficacy. Lung function revealed peripheral obstruction. FeNO and IgE were increased, eosinophils were suppressed under treatment while marked increases had been documented previously. Switching to dupilumab led to a complete resolution of pulmonary symptoms, resolution of exacerbations and complete withdrawal of oral steroids. A drastic improvement in lung function was noted, with an increase in FEV1 of almost 1 l. FeNO was normalized and IgE strongly reduced.

CONCLUSION

Our case highlights that a patient may exhibit differential treatment responses to the currently available asthma biologics and suggests switching treatment if outcome is insufficient. A potential role for dupilumab in the treatment of ABPA warrants future studies.

摘要

背景

变应性支气管肺曲霉病(ABPA)是对定植于哮喘或囊性纤维化患者气道的曲霉属菌种的一种严重超敏反应。包括抗IgE和抗IL-5抗体在内的生物制剂极大地改变了重度哮喘的治疗方式,并且部分报道称其对ABPA治疗有效。最近,度普利尤单抗,一种抑制Th2细胞因子IL-4和IL-13信号传导的抗IL-4Rα抗体,已被批准用于治疗重度哮喘。

病例报告

在此,我们报告一例49岁患有重度哮喘和ABPA的女性病例,尽管接受了最大剂量的吸入治疗、抗IL-5Rα抗体治疗及持续口服类固醇治疗,病情仍未得到控制。此外,伊曲康唑和奥马珠单抗的试验显示疗效不足。肺功能检查显示外周性气道阻塞。呼出一氧化氮(FeNO)和IgE升高,治疗期间嗜酸性粒细胞受到抑制,而之前记录显示其显著升高。改用度普利尤单抗后,肺部症状完全缓解,病情加重情况得到缓解,口服类固醇药物完全停用。肺功能有显著改善,第一秒用力呼气容积(FEV1)增加近1升。FeNO恢复正常,IgE大幅降低。

结论

我们的病例突出表明,患者对目前可用的哮喘生物制剂可能表现出不同的治疗反应,并提示如果疗效不佳则应更换治疗方案。度普利尤单抗在ABPA治疗中的潜在作用值得未来进一步研究。

https://cdn.ncbi.nlm.nih.gov/pmc/blobs/f5c0/7491355/534ddae4b356/13223_2020_454_Fig1_HTML.jpg

文献AI研究员

20分钟写一篇综述,助力文献阅读效率提升50倍。

立即体验

用中文搜PubMed

大模型驱动的PubMed中文搜索引擎

马上搜索

文档翻译

学术文献翻译模型,支持多种主流文档格式。

立即体验