Suppr超能文献

右美托咪定通过促进全胸腔镜心脏手术患者炎症消退来改善肺功能。

Dexmedetomidine Improves Lung Function by Promoting Inflammation Resolution in Patients Undergoing Totally Thoracoscopic Cardiac Surgery.

作者信息

Cui Junji, Gao Mintai, Huang Hongqian, Huang Xiaoyan, Zeng Qingshi

机构信息

Department of Anesthesiology, Cardiovascular Institute of Guangdong Province, Guangdong Provincial People's Hospital, Guangzhou, Guangdong 510030, China.

Department of Anesthesiology, Guangdong Provincial People's Hospital Zhuhai Hospital, Zhuhai Golden Bay Center Hospital, Zhuhai, Guangdong 519000, China.

出版信息

Oxid Med Cell Longev. 2020 Sep 7;2020:8638301. doi: 10.1155/2020/8638301. eCollection 2020.

Abstract

OBJECTIVE

Totally thoracoscopic cardiac surgery under cardiopulmonary bypass combined with one-lung ventilation has been identified as the trend in cardiac surgery. The aim of this study was to examine the effects of the selective adrenergic receptor agonist dexmedetomidine on the pulmonary function of patients who underwent mitral valve surgery using the totally thoracoscopic technique.

METHODS

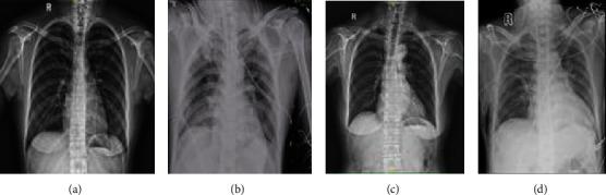
Fifty-seven patients who underwent thoracoscopic mitral valve surgery between July 2019 and December 2019 were selected. The patients were randomly divided into the control (Con) group ( = 28) and the dexmedetomidine (DEX) group ( = 29) using the random number table method. Arterial blood gas analyses were performed, and the oxygenation (PaO/FiO) and respiratory indexes (P(A-a)O/PaO) were calculated 5 min after tracheal intubation (T1), 2 h after operation (T2), 6 h after operation (T3), and 24 h after operation (T4). Moreover, the serum cytokines interleukin-6 (IL-6), tumor necrosis factor- (TNF-), and intercellular adhesion molecule-1 (ICAM-1) were detected using the enzyme-linked immunosorbent method at all time points. Chest radiography was performed 24 h after surgery. Peripheral blood samples were collected before and after the operation for a complete hemogram. Additionally, the procalcitonin concentration was measured and recorded when the patients were transported to the intensive care unit (ICU). The postoperative extubation time, length of ICU stay, and pulmonary infection rate were also recorded.

RESULTS

Inflammatory reaction after surgery was evident. However, the inflammatory cytokines IL-6, TNF-, and ICAM-1 in the DEX group were lower than those in the Con group after surgery (T2 to T4; < 0.05). Neutrophil counts and procalcitonin concentration were higher in the Con group than in the DEX group ( < 0.05). In addition, in the DEX group, pulmonary exudation on chest radiography was lower, and pulmonary function, as shown by an increase in oxidation index and decrease in the respiratory index, improved after surgery ( < 0.05). Moreover, the duration of mechanical ventilation in the Con group was 3.4 h longer than that in the DEX group.

CONCLUSION

Dexmedetomidine has a protective effect on pulmonary function in patients undergoing mitral valve surgery using a totally video-assisted thoracoscopic technique, which may be related to a reduction in the concentration of inflammatory cytokines in the early perioperative period.

摘要

目的

体外循环下全胸腔镜心脏手术联合单肺通气已被视为心脏手术的发展趋势。本研究旨在探讨选择性肾上腺素能受体激动剂右美托咪定对采用全胸腔镜技术行二尖瓣手术患者肺功能的影响。

方法

选取2019年7月至2019年12月期间行胸腔镜二尖瓣手术的57例患者。采用随机数字表法将患者随机分为对照组(Con组,n = 28)和右美托咪定(DEX)组(n = 29)。于气管插管后5分钟(T1)、术后2小时(T2)、术后6小时(T3)及术后24小时(T4)进行动脉血气分析,计算氧合指数(PaO₂/FiO₂)和呼吸指数(P(A-a)O₂/PaO₂)。此外,在所有时间点采用酶联免疫吸附法检测血清细胞因子白细胞介素-6(IL-6)、肿瘤坏死因子-α(TNF-α)和细胞间黏附分子-1(ICAM-1)。术后24小时行胸部X线检查。术前及术后采集外周血样本进行血常规检查。另外,在患者转入重症监护病房(ICU)时测定并记录降钙素原浓度。记录术后拔管时间、ICU住院时间及肺部感染率。

结果

术后炎症反应明显。然而,DEX组术后(T2至T4)炎症细胞因子IL-6、TNF-α和ICAM-1低于Con组(P < 0.05)。Con组中性粒细胞计数和降钙素原浓度高于DEX组(P < 0.05)。此外,DEX组胸部X线显示肺渗出较少,术后肺功能改善,表现为氧合指数升高和呼吸指数降低(P < 0.05)。而且,Con组机械通气时间比DEX组长3.4小时。

结论

右美托咪定对采用全胸腔镜技术行二尖瓣手术患者的肺功能具有保护作用,这可能与围手术期早期炎症细胞因子浓度降低有关。

https://cdn.ncbi.nlm.nih.gov/pmc/blobs/4299/7495214/e50aff957c69/OMCL2020-8638301.001.jpg

文献AI研究员

20分钟写一篇综述,助力文献阅读效率提升50倍。

立即体验

用中文搜PubMed

大模型驱动的PubMed中文搜索引擎

马上搜索

文档翻译

学术文献翻译模型,支持多种主流文档格式。

立即体验