Suppr超能文献

选择性自噬通过 NBR1 介导的 HSP90.1 和 ROF1 靶向调控拟南芥的热应激记忆。

Selective autophagy regulates heat stress memory in Arabidopsis by NBR1-mediated targeting of HSP90.1 and ROF1.

机构信息

Max Planck Institute of Molecular Plant Physiology, Potsdam-Golm, Germany.

Institute of Biochemistry and Biology, University of Potsdam, Potsdam-Golm, Germany.

出版信息

Autophagy. 2021 Sep;17(9):2184-2199. doi: 10.1080/15548627.2020.1820778. Epub 2020 Sep 24.

Abstract

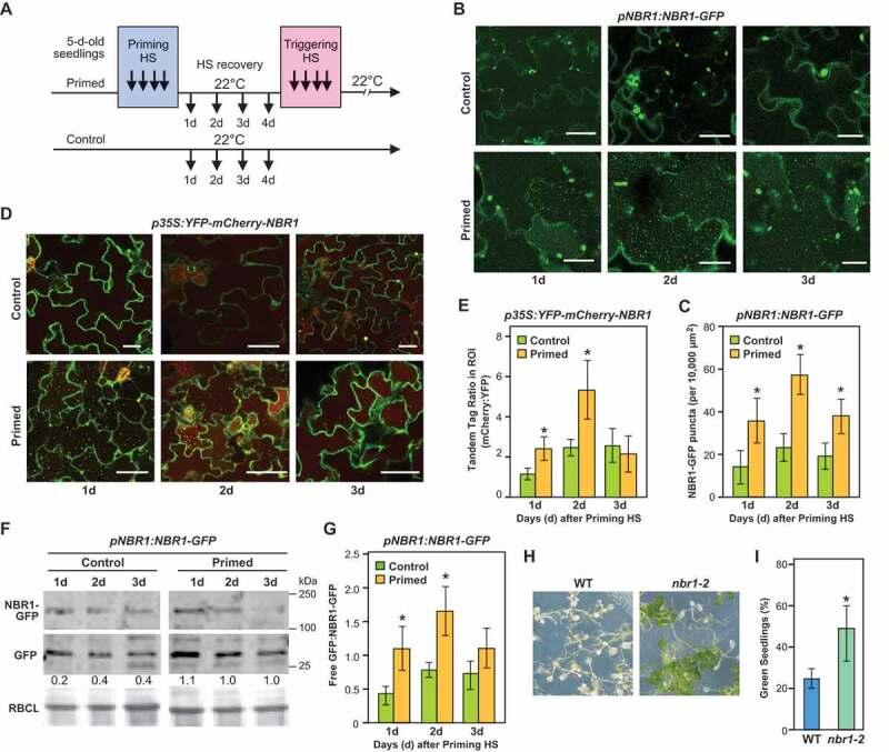
In nature, plants are constantly exposed to many transient, but recurring, stresses. Thus, to complete their life cycles, plants require a dynamic balance between capacities to recover following cessation of stress and maintenance of stress memory. Recently, we uncovered a new functional role for macroautophagy/autophagy in regulating recovery from heat stress (HS) and resetting cellular memory of HS in . Here, we demonstrated that NBR1 (next to BRCA1 gene 1) plays a crucial role as a receptor for selective autophagy during recovery from HS. Immunoblot analysis and confocal microscopy revealed that levels of the NBR1 protein, NBR1-labeled puncta, and NBR1 activity are all higher during the HS recovery phase than before. Co-immunoprecipitation analysis of proteins interacting with NBR1 and comparative proteomic analysis of an -null mutant and wild-type plants identified 58 proteins as potential novel targets of NBR1. Cellular, biochemical and functional genetic studies confirmed that NBR1 interacts with HSP90.1 (heat shock protein 90.1) and ROF1 (rotamase FKBP 1), a member of the FKBP family, and mediates their degradation by autophagy, which represses the response to HS by attenuating the expression of genes regulated by the HSFA2 transcription factor. Accordingly, loss-of-function mutation of resulted in a stronger HS memory phenotype. Together, our results provide new insights into the mechanistic principles by which autophagy regulates plant response to recurrent HS. AIM: Atg8-interacting motif; ATG: autophagy-related; BiFC: bimolecular fluorescence complementation; ConA: concanamycinA; CoIP: co-immunoprecipitation; DMSO: dimethyl sulfoxide; FKBP: FK506-binding protein; FBPASE: fructose 1,6-bisphosphatase; GFP: green fluorescent protein; HS: heat stress; HSF: heat shock factor; HSFA2: heat shock factor A2; HSP: heat shock protein; HSP90: heat shock protein 90; LC-MS/MS: Liquid chromatography-tandem mass spectrometry; 3-MA: 3-methyladenine; NBR1: next-to-BRCA1; PQC: protein quality control; RFP: red fluorescent protein; ROF1: rotamase FKBP1; TF: transcription factor; TUB: tubulin; UBA: ubiquitin-associated; YFP: yellow fluorescent protein.

摘要

在自然界中,植物不断受到许多短暂但反复出现的压力的影响。因此,为了完成其生命周期,植物需要在应激停止后的恢复能力和应激记忆的维持之间实现动态平衡。最近,我们在 中发现了巨自噬/自噬在调节热应激 (HS) 后恢复和重置 HS 细胞记忆方面的新功能作用。在这里,我们证明了 NBR1(紧邻 BRCA1 基因 1)在 HS 恢复过程中作为选择性自噬的受体发挥关键作用。免疫印迹分析和共聚焦显微镜显示,NBR1 蛋白、NBR1 标记的斑点和 NBR1 活性的水平在 HS 恢复阶段均高于恢复前。与 NBR1 相互作用的蛋白质的共免疫沉淀分析和 -null 突变体和野生型植物的比较蛋白质组学分析鉴定了 58 种潜在的 NBR1 新靶标。细胞、生化和功能遗传研究证实,NBR1 与 HSP90.1(热休克蛋白 90.1)和 ROF1(旋转酶 FKBP1)相互作用,FKBP 家族的成员,并通过自噬介导其降解,通过衰减由 HSFA2 转录因子调节的基因的表达来抑制对 HS 的反应。因此, 的功能丧失突变导致更强的 HS 记忆表型。总之,我们的研究结果为自噬调节植物对反复出现的 HS 反应的机制原理提供了新的见解。目的:Atg8 相互作用基序;ATG:自噬相关;BiFC:双分子荧光互补;ConA:康纳霉素 A;CoIP:共免疫沉淀;DMSO:二甲基亚砜;FKBP:FK506 结合蛋白;FBPASE:果糖 1,6-二磷酸酶;GFP:绿色荧光蛋白;HS:热应激;HSF:热休克因子;HSFA2:热休克因子 A2;HSP:热休克蛋白;HSP90:热休克蛋白 90;LC-MS/MS:液相色谱-串联质谱法;3-MA:3-甲基腺嘌呤;NBR1:紧邻 BRCA1;PQC:蛋白质质量控制;RFP:红色荧光蛋白;ROF1:旋转酶 FKBP1;TF:转录因子;TUB:微管;UBA:泛素相关;YFP:黄色荧光蛋白。

https://cdn.ncbi.nlm.nih.gov/pmc/blobs/a8fa/8496721/30b4bd2488e5/KAUP_A_1820778_F0001_OC.jpg

文献AI研究员

20分钟写一篇综述,助力文献阅读效率提升50倍。

立即体验

用中文搜PubMed

大模型驱动的PubMed中文搜索引擎

马上搜索

文档翻译

学术文献翻译模型,支持多种主流文档格式。

立即体验