Suppr超能文献

缺氧通过 MYC 调控途径诱导肿瘤微环境中的线粒体缺陷促进 T 细胞耗竭。

Hypoxia Induces Mitochondrial Defect That Promotes T Cell Exhaustion in Tumor Microenvironment Through MYC-Regulated Pathways.

机构信息

Collaborative Innovation Center for Cancer Medicine, State Key Laboratory of Oncology in South China, Guangzhou, China.

Key Laboratory of Gene Engineering of the Ministry of Education, State Key Laboratory of Biocontrol, School of Life Sciences, Sun Yat-sen University, Guangzhou, China.

出版信息

Front Immunol. 2020 Aug 21;11:1906. doi: 10.3389/fimmu.2020.01906. eCollection 2020.

Abstract

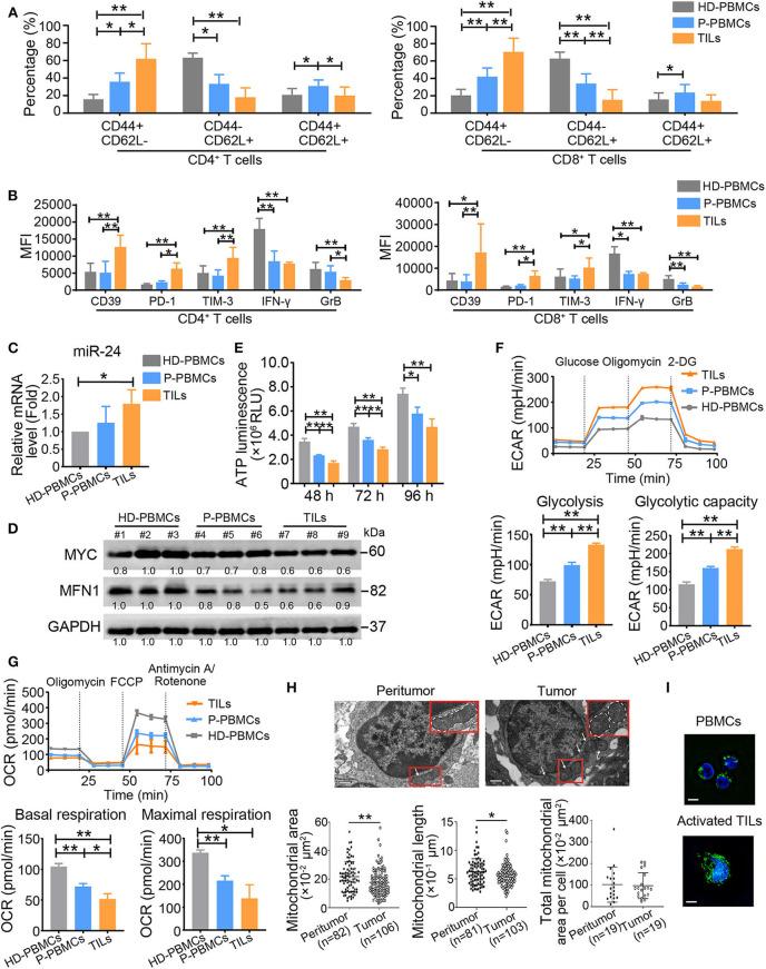
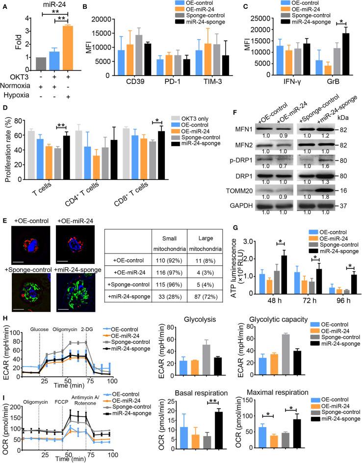
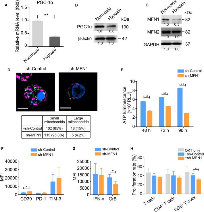
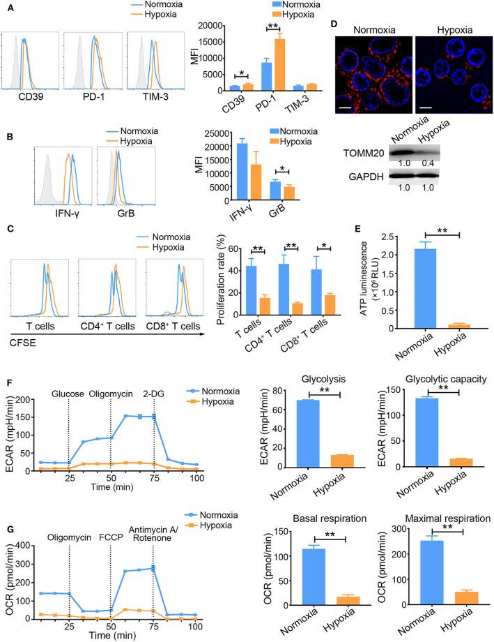
T cell exhaustion is an obstacle to immunotherapy for solid tumors. An understanding of the mechanism by which T cells develop this phenotype in solid tumors is needed. Here, hypoxia, a feature of the tumor microenvironment, causes T cell exhaustion (T) by inducing a mitochondrial defect. Upon exposure to hypoxia, activated T cells with a T phenotype are characterized by mitochondrial fragmentation, decreased ATP production, and decreased mitochondrial oxidative phosphorylation activity. The T phenotype is correlated with the downregulation of the mitochondrial fusion protein mitofusin 1 (MFN1) and upregulation of miR-24. Overexpression of miR-24 alters the transcription of many metabolism-related genes including its target genes and fibroblast growth factor 11 (). Downregulation of and induces T differentiation, reduced ATP production and a loss of the mitochondrial mass in T cell receptor (TCR)-stimulated T cells. In addition, we determined that MYC regulates the transcription of and . In nasopharyngeal carcinoma (NPC) tissues, the T cells exhibit an increased frequency of exhaustion and loss of mitochondrial mass. In addition, inhibition of miR-24 signaling decreases NPC xenograft growth in nude mice. Our findings reveal a mechanism for T cell exhaustion in the tumor environment and provide potential strategies that target mitochondrial metabolism for cancer immunotherapy.

摘要

T 细胞耗竭是实体瘤免疫治疗的障碍。需要了解 T 细胞在实体瘤中产生这种表型的机制。在这里,肿瘤微环境的一个特征——缺氧通过诱导线粒体缺陷导致 T 细胞耗竭(T)。在缺氧暴露下,具有 T 表型的活化 T 细胞的特征是线粒体碎片化、ATP 产生减少和线粒体氧化磷酸化活性降低。T 表型与线粒体融合蛋白 MFN1 的下调和 miR-24 的上调相关。miR-24 的过表达改变了许多代谢相关基因的转录,包括其靶基因 和成纤维细胞生长因子 11 (). 和 的下调诱导 T 细胞分化,减少 TCR 刺激的 T 细胞中的 ATP 产生和线粒体质量损失。此外,我们确定 MYC 调节 和 的转录。在鼻咽癌(NPC)组织中,T 细胞表现出耗竭和线粒体质量损失的频率增加。此外,抑制 miR-24 信号可减少裸鼠 NPC 异种移植物的生长。我们的研究结果揭示了肿瘤微环境中 T 细胞耗竭的机制,并为针对线粒体代谢的癌症免疫治疗提供了潜在策略。

https://cdn.ncbi.nlm.nih.gov/pmc/blobs/6fd7/7472844/776f27e946ef/fimmu-11-01906-g0001.jpg

文献AI研究员

20分钟写一篇综述,助力文献阅读效率提升50倍。

立即体验

用中文搜PubMed

大模型驱动的PubMed中文搜索引擎

马上搜索

文档翻译

学术文献翻译模型,支持多种主流文档格式。

立即体验