Suppr超能文献

小肠切除术增加草酸和柠檬酸转运蛋白在大鼠高草酸尿症肾脏中的表达和草酸钙晶体形成。

Small intestine resection increases oxalate and citrate transporter expression and calcium oxalate crystal formation in rat hyperoxaluric kidneys.

机构信息

Division of Urology, Department of Surgery, Far Eastern Memorial Hospital, New Taipei, Taiwan.

Ph.D. Program in Nutrition and Food Science, Fu Jen Catholic University, New Taipei, Taiwan.

出版信息

Clin Sci (Lond). 2020 Oct 16;134(19):2565-2580. doi: 10.1042/CS20200973.

Abstract

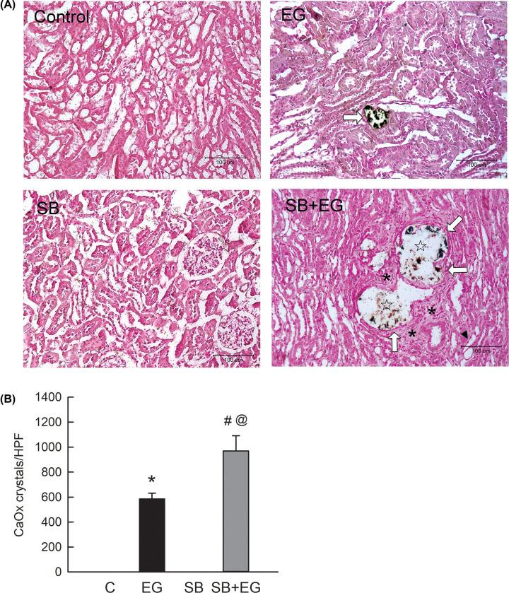
Short bowel (SB) increases the risk of kidney stones. However, the underlying mechanism is unclear. Here, we examined how SB affected renal oxalate and citrate handlings for in vivo hyperoxaluric rats and in vitro tubular cells. SB was induced by small intestine resection in male Wistar rats. Sham-operated controls had no resection. After 7 days of recovery, the rats were divided into control, SB (both fed with distilled water), ethylene glycol (EG), and SB+EG (both fed with 0.75% EG for hyperoxaluric induction) groups for 28 days. We collected the plasma, 24 h of urine, kidney, and intestine tissues for analysis. Hypocitraturia was found and persisted up to 28 days for the SB group. Hypocalcemia and high plasma parathyroid hormone (PTH) levels were found in the 28-day SB rats. SB aggravated EG-mediated oxalate nephropathy by fostering hyperoxaluria and hypocitraturia, and increasing the degree of supersaturation and calcium oxalate (CaOx) crystal deposition. These effects were associated with renal up-regulations of the oxalate transporter solute carrier family 26 (Slc26)a6 and citrate transporter sodium-dependent dicarboxylate cotransporter-1 (NaDC-1) but not Slc26a2. The effects of PTH on the SB kidneys were then examined in NRK-52E tubular cells. Recombinant PTH attenuated oxalate-mediated cell injury and up-regulated NaDC-1 via protein kinase A (PKA) activation. PTH, however, showed no additive effects on oxalate-induced Slc26a6 and NaDC-1 up-regulation. Together, these results demonstrated that renal NaDC-1 upregulation-induced hypocitraturia weakened the defense against Slc26a6-mediated hyperoxaluria in SB kidneys for excess CaOx crystal formation. Increased tubular NaDC-1 expression caused by SB relied on PTH.

摘要

短肠(SB)增加肾结石的风险。然而,其潜在机制尚不清楚。在这里,我们研究了 SB 如何影响体内高草酸尿大鼠和体外管状细胞的肾草酸和柠檬酸处理。通过小肠切除术在雄性 Wistar 大鼠中诱导 SB。假手术对照组没有切除。恢复 7 天后,将大鼠分为对照组、SB(均用蒸馏水喂养)、乙二醇(EG)和 SB+EG(均用 0.75%EG 喂养以诱导高草酸尿)组,共 28 天。我们收集血浆、24 小时尿液、肾脏和肠组织进行分析。发现 SB 组存在低柠檬酸尿症,并持续至 28 天。28 天 SB 大鼠出现低钙血症和高血浆甲状旁腺激素(PTH)水平。SB 通过促进高草酸尿和低柠檬酸尿症、增加过饱和度和草酸钙(CaOx)晶体沉积,加重 EG 介导的草酸肾病。这些作用与肾脏草酸转运体溶质载体家族 26(Slc26)a6 和柠檬酸转运体钠依赖性二羧酸共转运体-1(NaDC-1)的上调有关,但与 Slc26a2 无关。然后在 NRK-52E 管状细胞中检查 PTH 对 SB 肾脏的影响。重组 PTH 通过蛋白激酶 A(PKA)激活减轻草酸介导的细胞损伤并上调 NaDC-1。然而,PTH 对草酸诱导的 Slc26a6 和 NaDC-1 上调没有附加作用。综上所述,这些结果表明,肾脏 NaDC-1 上调诱导的低柠檬酸尿削弱了 SB 肾脏对 Slc26a6 介导的高草酸尿的防御作用,导致过多的 CaOx 晶体形成。SB 引起的肾小管 NaDC-1 表达增加依赖于 PTH。

https://cdn.ncbi.nlm.nih.gov/pmc/blobs/4737/7557498/df2fa6433a2f/cs-134-cs20200973-g1.jpg

文献AI研究员

20分钟写一篇综述,助力文献阅读效率提升50倍。

立即体验

用中文搜PubMed

大模型驱动的PubMed中文搜索引擎

马上搜索

文档翻译

学术文献翻译模型,支持多种主流文档格式。

立即体验