Suppr超能文献

一个关于人过氧化物酶 I 半胱氨酸的有趣案例。

A curious case of cysteines in human peroxiredoxin I.

机构信息

Department of Biotechnology and Central Research Cell, MMEC, Maharishi Markandeshwar (Deemed to be University), Mullana, Ambala, Haryana, 133207, India; Faculty of Applied Science and Biotechnology, Shoolini University, Solan, 173229, India.

Department of Biotechnology and Central Research Cell, MMEC, Maharishi Markandeshwar (Deemed to be University), Mullana, Ambala, Haryana, 133207, India.

出版信息

Redox Biol. 2020 Oct;37:101738. doi: 10.1016/j.redox.2020.101738. Epub 2020 Sep 24.

Abstract

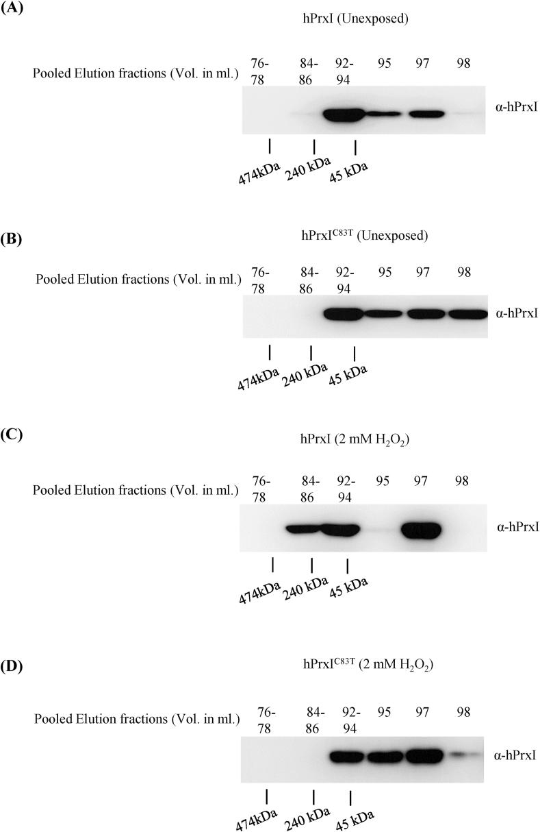
Peroxiredoxins (Prxs) are antioxidant proteins that are involved in cellular defence against reactive oxygen species and reactive nitrogen species. Humans have six peroxiredoxins, hPrxI-VI, out of which hPrxI and hPrxII belongs to the typical 2-Cys class sharing 90% conservation in their amino acid sequence including catalytic residues required to carry out their peroxidase and chaperone activities. Despite the high conservation between hPrxI and hPrxII, hPrxI behaves differently from hPrxII in its peroxidase and chaperone activity. We recently showed in yeast that in the absence of Tsa1 and Tsa2 (orthologs of hPrx) hPrxI protects the cells against different stressors whereas hPrxII does not. To understand this difference, we expressed catalytic mutants of hPrxI in yeast cells lacking the orthologs of hPrxI/II. We found that the catalytic mutants lacking peroxidase function including hPrxI, hPrxI, hPrxI, hPrxI and hPrxI were not able to grow on media with nitrosative stressor (sodium nitroprusside) and unable to withstand heat stress, but surprisingly they were able to grow on an oxidative stressor (HO). Interestingly, we found that hPrxI increases the expression of antioxidant genes, GPX1 and SOD1, and this is also seen in the case of a catalytic mutant, indicating hPrxI can indirectly reduce oxidative stress independently of its own peroxidase function and thus suggesting a novel role of hPrxI in altering the expression of other antioxidant genes. Furthermore, hPrxI was resistant to hyperoxidation and formation of stable high molecular weight oligomers, which is suggestive of impaired chaperone activity. Our results suggest that the catalytic residues of hPrxI are essential to counter the nitrosative stress whereas Cys83 in hPrxI plays a critical role in hyperoxidation of hPrxI.

摘要

过氧化物酶(Prxs)是一种抗氧化蛋白,参与细胞对活性氧和活性氮的防御。人类有六种过氧化物酶,hPrxI-VI,其中 hPrxI 和 hPrxII 属于典型的 2-Cys 类,其氨基酸序列有 90%的保守性,包括执行其过氧化物酶和伴侣活性所需的催化残基。尽管 hPrxI 和 hPrxII 之间高度保守,但 hPrxI 在其过氧化物酶和伴侣活性方面的表现与 hPrxII 不同。我们最近在酵母中表明,在缺乏 Tsa1 和 Tsa2(hPrx 的同源物)的情况下,hPrxI 保护细胞免受不同应激源的侵害,而 hPrxII 则不能。为了理解这种差异,我们在缺乏 hPrxI/II 同源物的酵母细胞中表达了 hPrxI 的催化突变体。我们发现,缺乏过氧化物酶功能的催化突变体,包括 hPrxI、hPrxI、hPrxI、hPrxI 和 hPrxI,不能在含有硝化应激源(硝普酸钠)的培养基上生长,也不能耐受热应激,但令人惊讶的是,它们能够在氧化应激源(HO)上生长。有趣的是,我们发现 hPrxI 增加了抗氧化基因 GPX1 和 SOD1 的表达,这在催化突变体中也观察到,这表明 hPrxI 可以间接降低氧化应激,而不依赖于其自身的过氧化物酶功能,因此暗示了 hPrxI 在改变其他抗氧化基因表达方面的新作用。此外,hPrxI 对超氧化和形成稳定的高分子量寡聚物具有抗性,这表明其伴侣活性受损。我们的结果表明,hPrxI 的催化残基对于对抗硝化应激至关重要,而 hPrxI 中的 Cys83 在 hPrxI 的超氧化中起着关键作用。

https://cdn.ncbi.nlm.nih.gov/pmc/blobs/45b2/7530344/264bfc207f04/fx1.jpg

文献AI研究员

20分钟写一篇综述,助力文献阅读效率提升50倍。

立即体验

用中文搜PubMed

大模型驱动的PubMed中文搜索引擎

马上搜索

文档翻译

学术文献翻译模型,支持多种主流文档格式。

立即体验