Suppr超能文献

Her2和Ki-67在无远处转移胃腺癌中的表达及意义:一项队列研究

Expression and significance of Her2 and Ki-67 in gastric adenocarcinoma without distant metastasis: a cohort study.

作者信息

Wei Zhijian, Huang Lei, Zhang Xinyue, Xu Aman

机构信息

Department of General Surgery, The First Affiliated Hospital of Anhui Medical University, 218 JiXi Avenue, Hefei, 230022, Anhui, China.

Department of Academic Research, The First People's Hospital of Hefei, Hefei, China.

出版信息

BMC Gastroenterol. 2020 Oct 15;20(1):343. doi: 10.1186/s12876-020-01484-9.

Abstract

BACKGROUND

The significance of human epidermal growth factor receptor 2 (Her2) and nucleus-associated antigen Ki-67 expression remains controversial in gastric adenocarcinoma (GaC). The aim of this study was to investigate the expression and clinicopathologic and prognostic significance of Her2 and Ki-67 in resected GaC without distant metastasis.

METHODS

Malignant tissues and clinicopathologic data were obtained from 195 patients with resected non-metastatic GaC. Immunohistochemistry staining was performed to examine the expression of Her2 and Ki-67; their association with clinicopathologic factors were investigated using logistic regression, and their association with survival was explored using Kaplan-Meier analysis and Cox proportional hazards regression.

RESULTS

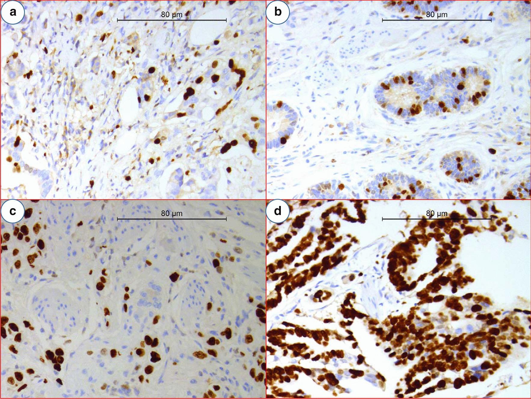
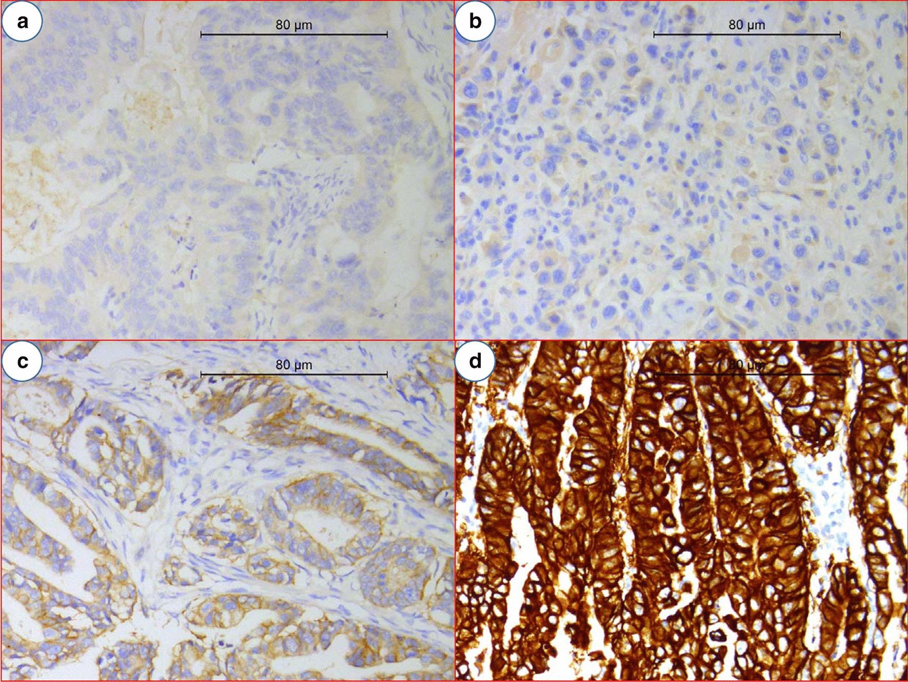
Her2 was majorly expressed in cell membrane and Ki-67 in cell nucleus in non-metastatic GaC. Stronger Her2 expression was significantly associated with better tumor differentiation, neurovascular invasion, less advanced pathological tumor (pT) stage, and more advanced pathological node (pN) stage; while Ki-67 expression was not significantly associated with any investigated clinicopathologic factors. Patients with both negative Her2 and negative Ki-67 expression had poorer tumor differentiation, and more advanced pT and pathological tumor-node-metastasis (pTNM) stages; the association with pT and pTNM stages were further confirmed by multivariable analyses, especially in node-negative disease. Her2 or Ki-67 alone was not significantly associated with pTNM stage. A strongly positive (+++) Her2 expression was associated with poorer survival in multivariable analysis only (P = 0.047); while Ki-67 or combined expression was not significantly associated with prognosis.

CONCLUSIONS

In non-metastatic GaC, Her2 expression and combined expression of Her2 and Ki-67 were associated with several clinicopathologic factors including tumor differentiation and stage, and only a +++ Her2 expression was associated with poorer prognosis in multivariable analysis with marginal significance in this study; while Ki-67 alone had both limited clinicopathologic and prognostic values.

摘要

背景

在胃腺癌(GaC)中,人表皮生长因子受体2(Her2)和核相关抗原Ki-67表达的意义仍存在争议。本研究旨在探讨Her2和Ki-67在无远处转移的切除GaC中的表达及其临床病理和预后意义。

方法

收集195例切除的非转移性GaC患者的恶性组织和临床病理资料。采用免疫组织化学染色检测Her2和Ki-67的表达;采用逻辑回归分析它们与临床病理因素的相关性,采用Kaplan-Meier分析和Cox比例风险回归探讨它们与生存的相关性。

结果

在非转移性GaC中,Her2主要表达于细胞膜,Ki-67主要表达于细胞核。Her2表达越强与肿瘤分化越好、神经血管侵犯、病理肿瘤(pT)分期越晚以及病理淋巴结(pN)分期越晚显著相关;而Ki-67表达与任何研究的临床病理因素均无显著相关性。Her2和Ki-67表达均为阴性的患者肿瘤分化较差,pT和病理肿瘤-淋巴结-转移(pTNM)分期更晚;多变量分析进一步证实了与pT和pTNM分期的相关性,尤其是在淋巴结阴性疾病中。单独的Her2或Ki-67与pTNM分期无显著相关性。仅在多变量分析中,强阳性(+++)Her2表达与较差的生存率相关(P = 0.047);而Ki-67或联合表达与预后无显著相关性。

结论

在非转移性GaC中,Her2表达以及Her2和Ki-67的联合表达与包括肿瘤分化和分期在内的多个临床病理因素相关,在本研究的多变量分析中,仅+++ Her2表达与较差的预后相关且具有边际显著性;而单独的Ki-67在临床病理和预后方面的价值均有限。

https://cdn.ncbi.nlm.nih.gov/pmc/blobs/07e4/7566118/2038f27fdea4/12876_2020_1484_Fig1_HTML.jpg

文献AI研究员

20分钟写一篇综述,助力文献阅读效率提升50倍。

立即体验

用中文搜PubMed

大模型驱动的PubMed中文搜索引擎

马上搜索

文档翻译

学术文献翻译模型,支持多种主流文档格式。

立即体验