Suppr超能文献

提取物可减轻大鼠甲氨蝶呤诱导的睾丸损伤:氧化应激、炎症、细胞凋亡与 miRNA-29a 表达的串扰。

Extract Attenuates Methotrexate-Induced Testicular Injury in Rats: Cross-talk Between Oxidative Stress, Inflammation, Apoptosis, and miRNA-29a Expression.

机构信息

Emergency Hospital, Faculty of Medicine, Mansoura University, Mansoura, Egypt.

Chemistry Department, College of Science, Princess Nourah bint Abdulrahman University, Riyadh, Saudi Arabia.

出版信息

Integr Cancer Ther. 2020 Jan-Dec;19:1534735420969814. doi: 10.1177/1534735420969814.

Abstract

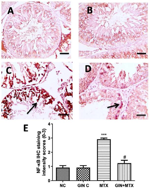
leaf extract (GIN) is a popular Chinese herbal medicine. It has a nephroprotective effect against the nephrotoxicity induced by the chemotherapeutic agent methotrexate (MTX). This work was designed to explore the testicular protective role of GIN on MTX-induced testicular injury in a rat model. The experimental protocol lasted for 10 days for the 4 studied groups. First group: received saline (normal control, NC group). The second group was administered GIN (100 mg/kg/day) orally for 10 days (GIN C). Third group: injected with MTX (20 mg/kg ip) only on the fifth day (MTX group). Fourth group: administered GIN for 10 days with MTX injection on the fifth day (GIN+MTX group). MTX induced testicular injury as evident by a marked rise in the malondialdehyde (MDA) content, interleukin-6 (IL-6) and IL-1β protein levels, nuclear factor kappa-B (NF-κB) protein expression, bcl-2 associated × protein (Bax) mRNA expression, p53 mRNA and protein expressions, and miRNA29-a expression along with a marked decline in the serum level of testosterone and superoxide dismutase (SOD) content in testicular tissue in relation to the NC group. Moreover, histopathological testicular damage with a notable decrease in the Johnsen score together with a significant elevation in the testicular injury score was observed in the MTX group in comparison to the NC group. The administration of GIN ameliorated the biochemical changes as well as the testicular histopathological findings and scores. GIN could protect against MTX-induced gonadotoxicity by its antioxidant, anti-inflammatory, antiapoptotic activities plus the regulation of the miRNA-29a testicular expression.

摘要

银杏叶提取物(GIN)是一种流行的中草药。它对化疗药物甲氨蝶呤(MTX)引起的肾毒性具有肾保护作用。本工作旨在探讨 GIN 对 MTX 诱导的大鼠睾丸损伤的睾丸保护作用。实验方案持续了 10 天,共研究了 4 组。第一组:给予生理盐水(正常对照组,NC 组)。第二组每天口服 GIN(100mg/kg)10 天(GIN C 组)。第三组:仅在第五天腹腔注射 MTX(20mg/kg)(MTX 组)。第四组:在第五天给予 GIN 治疗 10 天并注射 MTX(GIN+MTX 组)。MTX 诱导的睾丸损伤表现为丙二醛(MDA)含量、白细胞介素-6(IL-6)和白细胞介素-1β蛋白水平、核因子 kappa-B(NF-κB)蛋白表达、bcl-2 相关 X 蛋白(Bax)mRNA 表达、p53mRNA 和蛋白表达以及 miRNA29-a 表达明显升高,而与 NC 组相比,睾丸组织中血清睾酮和超氧化物歧化酶(SOD)含量明显下降。此外,与 NC 组相比,MTX 组睾丸组织的组织病理学损伤明显,Johnsen 评分明显降低,睾丸损伤评分明显升高。GIN 可改善生化变化以及睾丸组织学发现和评分。GIN 可能通过抗氧化、抗炎、抗凋亡活性以及调节 miRNA-29a 的睾丸表达来防止 MTX 引起的性腺毒性。

https://cdn.ncbi.nlm.nih.gov/pmc/blobs/6878/7605049/48986e5b66e3/10.1177_1534735420969814-fig1.jpg

文献AI研究员

20分钟写一篇综述,助力文献阅读效率提升50倍。

立即体验

用中文搜PubMed

大模型驱动的PubMed中文搜索引擎

马上搜索

文档翻译

学术文献翻译模型,支持多种主流文档格式。

立即体验