Suppr超能文献

肿瘤干细胞标志物CD133和CD44是胰腺神经内分泌肿瘤手术切除后的有用预后因素。

Tumour stem cell markers CD133 and CD44 are useful prognostic factors after surgical resection of pancreatic neuroendocrine tumours.

作者信息

Sun Zhonghai, Li Dezhi, Wu Hongmei, Hou Baohua

机构信息

Department of General Surgery, Guangdong Provincial People's Hospital, Guangdong Academy of Medical Sciences, Guangzhou, Guangdong 510080, P.R. China.

Postgraduate School, Shantou University Medical College, Shantou, Guangdong 515041, P.R. China.

出版信息

Oncol Lett. 2020 Dec;20(6):341. doi: 10.3892/ol.2020.12204. Epub 2020 Oct 8.

Abstract

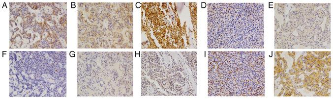
The aim of the present study was to investigate the expression profiles and prognostic values of CD133 and CD44 in a cohort of patients with pancreatic neuroendocrine tumours (PNETs). PNET data from patients who underwent radical resection at the Guangdong Provincial People's Hospital were retrospectively analysed. Immunohistochemistry was performed on PNET samples, and CD133 and CD44 expression was examined. Survival analysis was performed using the Kaplan-Meier method and the log-rank test. A total of 71 cases were included in the study. The mean age of the patients was 45.2 years, and the mean tumour size was 3.3 cm. CD44 expression was positively associated with poor tumour differentiation (P=0.007), high Ki-67 index (P=0.001), added mitotic count (P=0.003), high histological grade (P=0.001) and advanced stage (P=0.025). Similarly, CD133 expression was positively associated with high Ki-67 index (P=0.014) and added mitotic count (P=0.012). However, CD133 expression was not associated with tumour differentiation (P=0.118), histological grade (P=0.126) and stage (P=0.203). Survival analysis revealed that both CD44 and CD133 were prognostic factors for overall survival (OS) and/or disease-free survival (DFS), and that increased co-expression of CD44 and CD133 indicated poor OS and DFS rates in patients with PNET. In patients with no expression or low expression of either CD44 or CD133, a DFS rate of 100% was observed, indicating a low recurrence risk. The present findings suggested that high CD44 and CD133 expression was associated with a poor prognosis in patients with PNET. CD44 and CD133 may be used as prognostic indicators of OS and/or DFS in patients with PNETs.

摘要

本研究的目的是调查一组胰腺神经内分泌肿瘤(PNETs)患者中CD133和CD44的表达谱及其预后价值。对在广东省人民医院接受根治性切除的患者的PNET数据进行了回顾性分析。对PNET样本进行免疫组织化学检测,观察CD133和CD44的表达情况。采用Kaplan-Meier法和对数秩检验进行生存分析。本研究共纳入71例病例。患者的平均年龄为45.2岁,平均肿瘤大小为3.3 cm。CD44表达与肿瘤低分化(P=0.007)、高Ki-67指数(P=0.001)、核分裂象计数增加(P=0.003)、高组织学分级(P=0.001)及晚期(P=0.025)呈正相关。同样,CD133表达与高Ki-67指数(P=0.014)和核分裂象计数增加(P=0.012)呈正相关。然而,CD133表达与肿瘤分化(P=0.118)、组织学分级(P=0.126)及分期(P=0.203)无关。生存分析显示,CD44和CD133均为总生存(OS)和/或无病生存(DFS)的预后因素,且CD44和CD133共表达增加提示PNET患者的OS和DFS率较差。在CD44或CD133无表达或低表达的患者中,观察到DFS率为100%,提示复发风险较低。本研究结果表明,CD44和CD133高表达与PNET患者预后不良相关。CD44和CD133可作为PNET患者OS和/或DFS的预后指标。

https://cdn.ncbi.nlm.nih.gov/pmc/blobs/73be/7583850/b2179c19718c/ol-20-06-12204-g00.jpg

文献AI研究员

20分钟写一篇综述,助力文献阅读效率提升50倍。

立即体验

用中文搜PubMed

大模型驱动的PubMed中文搜索引擎

马上搜索

文档翻译

学术文献翻译模型,支持多种主流文档格式。

立即体验