Suppr超能文献

经口给予枳属(Pomel)水提物的急性和亚急性毒性研究。

Acute and Subacute Toxicity Studies of the Aqueous Extract from Pomel ( (Pomel)) by Oral Administration in Rodents.

机构信息

Laboratory of Bioresources, Biotechnology, Ethnopharmacology and Health, URAC-40, Department of Biology, Faculty of Sciences, Mohammed First University, Oujda, Morocco.

Biochemistry Laboratory, Central Laboratory Service-CHU, Mohammed VI, Oujda, Morocco.

出版信息

Biomed Res Int. 2020 Oct 6;2020:4020647. doi: 10.1155/2020/4020647. eCollection 2020.

Abstract

MATERIALS AND METHODS

Acute toxicity test was performed on Swiss albino mice at a single oral dose of 1-10 g/kg for 14 consecutive days. General behavioral adverse effects, mortality, and latency of mortality were determined. In the subacute study, the Pomel extract was administered orally at doses of 500, 1000, and 2000 mg/kg daily for 30 days to Wistar rats. Body weight and selected biochemical and hematological parameters were determined at the end of the experiment. Sections of livers and kidneys were removed for histological studies.

RESULTS

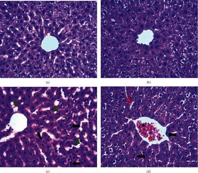
Acute toxicity study showed that the oral LD value of Pomel extract was 5000 mg/kg. The subacute toxicity study of Pomel extract at doses 500, 1000, and 2000 mg/kg did not produce any observable symptoms of toxicity and no significant variation in body weight, organ weights, food, and water consumption or mortality in all treated rats. However, the administration of the Pomel extract to rats at 500 mg/kg and 1000 mg/kg showed a significant decrease in platelets. Moreover, only at the highest dose (2000 mg/kg), the extract caused a significant increase in red blood cells and hemoglobin. Our results showed that subacute treatments with Pomel extract at doses of 1000 mg/kg and 2000 mg/kg significantly elevated alkaline phosphatase and triglycerides. Histological studies showed that the subacute treatments of rats with Pomel extracts, at the doses 1000 and 2000 mg/kg, induced some histopathological changes in the livers but a slight changing in kidneys.

CONCLUSION

Our results indicated low acute toxicity of the aqueous extract of Pomel. Furthermore, daily oral administration of Pomel extract caused some damages to the livers of rats treated with high doses, expressed by an increase in some enzyme activities such as ALP. Regarding the renal function, we did not find remarkable toxicity in the subacute treatment with Pomel extracts at doses 1000 and 2000 mg/kg. However, further toxicity assessments should be done to ascertain the safety or the toxicity of this valuable plant species " pomel" in subchronic treatments.

摘要

材料与方法

对瑞士白化病小鼠进行单次口服剂量为 1-10g/kg 的急性毒性试验,连续 14 天。观察一般行为不良反应、死亡率和死亡潜伏期。在亚急性研究中,以 500、1000 和 2000mg/kg 的剂量每日口服给予 Pomel 提取物 30 天,观察 Wistar 大鼠。实验结束时测定体重和部分生化及血液学参数。取出肝脏和肾脏组织进行组织学研究。

结果

急性毒性研究表明, Pomel 提取物的口服 LD 值为 5000mg/kg。500、1000 和 2000mg/kg 剂量的 Pomel 提取物亚急性毒性研究未产生任何可观察到的毒性症状,所有治疗大鼠的体重、器官重量、食物和水的消耗或死亡率均无显著变化。然而,Pomel 提取物在 500mg/kg 和 1000mg/kg 剂量下给药会导致血小板显著减少。此外,只有在最高剂量(2000mg/kg)时,提取物才会导致红细胞和血红蛋白显著增加。结果表明,Pomel 提取物在 1000mg/kg 和 2000mg/kg 剂量下的亚急性治疗会显著升高碱性磷酸酶和甘油三酯。组织学研究表明,Pomel 提取物在 1000 和 2000mg/kg 剂量下的亚急性处理会导致大鼠肝脏出现一些组织病理学变化,但对肾脏的影响较小。

结论

我们的结果表明, Pomel 的水提物具有低急性毒性。此外,每日口服 Pomel 提取物会导致高剂量组大鼠肝脏受损,表现为某些酶活性(如 ALP)升高。关于肾功能,我们在 1000 和 2000mg/kg 剂量的 Pomel 提取物亚急性处理中未发现明显毒性。然而,应该进行进一步的毒性评估,以确定该有价值植物物种“pomel”在亚慢性处理中的安全性或毒性。

https://cdn.ncbi.nlm.nih.gov/pmc/blobs/8741/7582073/56749370f534/BMRI2020-4020647.001.jpg

文献AI研究员

20分钟写一篇综述,助力文献阅读效率提升50倍。

立即体验

用中文搜PubMed

大模型驱动的PubMed中文搜索引擎

马上搜索

文档翻译

学术文献翻译模型,支持多种主流文档格式。

立即体验