Suppr超能文献

Wnt/β-catenin/Esrrb 信号通路控制了小鼠胚胎休眠期间多能性谱系的组织尺度重构和维持。

Wnt/Beta-catenin/Esrrb signalling controls the tissue-scale reorganization and maintenance of the pluripotent lineage during murine embryonic diapause.

机构信息

Embryonic Self-Organization research group, Max Planck Institute for Molecular Biomedicine, Röntgenstraße 20, 48149, Münster, Germany.

University of Bern, Department of Chemistry and Biochemistry, Freiestrasse 3, 3012, Bern, Switzerland.

出版信息

Nat Commun. 2020 Oct 30;11(1):5499. doi: 10.1038/s41467-020-19353-0.

Abstract

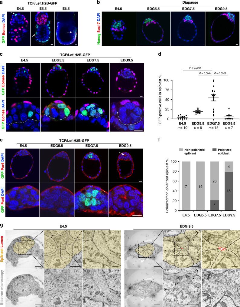
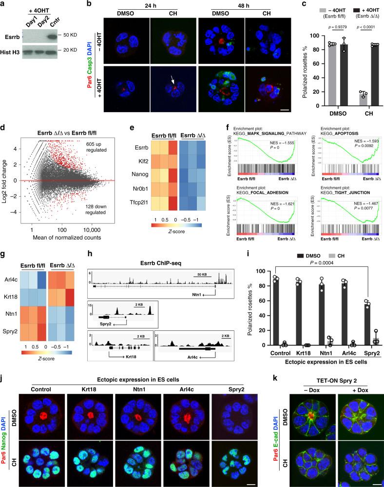
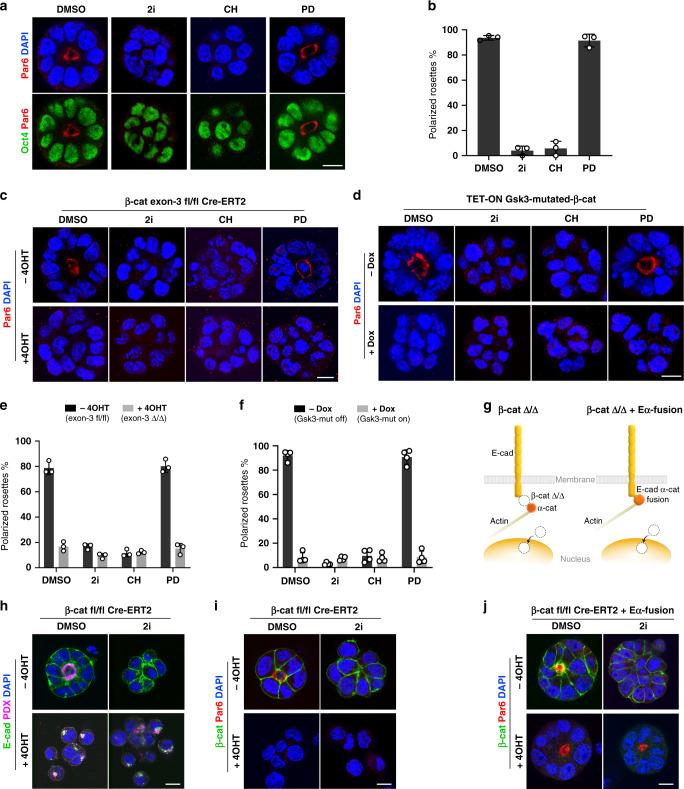
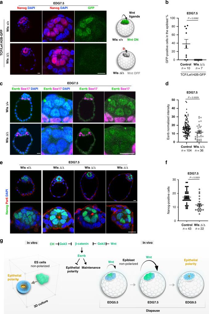
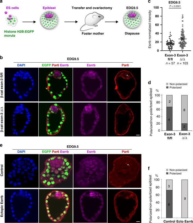
The epiblast, which provides the foundation of the future body, is actively reshaped during early embryogenesis, but the reshaping mechanisms are poorly understood. Here, using a 3D in vitro model of early epiblast development, we identify the canonical Wnt/β-catenin pathway and its central downstream factor Esrrb as the key signalling cascade regulating the tissue-scale organization of the murine pluripotent lineage. Although in vivo the Wnt/β-catenin/Esrrb circuit is dispensable for embryonic development before implantation, autocrine Wnt activity controls the morphogenesis and long-term maintenance of the epiblast when development is put on hold during diapause. During this phase, the progressive changes in the epiblast architecture and Wnt signalling response show that diapause is not a stasis but instead is a dynamic process with underlying mechanisms that can appear redundant during transient embryogenesis.

摘要

胚胎外胚层为未来身体提供基础,在胚胎早期发育过程中会被积极重塑,但重塑机制尚不清楚。在这里,我们使用早期胚胎外胚层发育的 3D 体外模型,确定了经典的 Wnt/β-catenin 途径及其核心下游因子 Esrrb 作为调节小鼠多能系组织尺度组织的关键信号级联。尽管体内,Wnt/β-catenin/Esrrb 回路在植入前的胚胎发育中是可有可无的,但自分泌 Wnt 活性在胚胎发育暂停期间控制着胚胎外胚层的形态发生和长期维持。在这个阶段,胚胎外胚层结构和 Wnt 信号反应的渐进变化表明,暂停不是一种静止状态,而是一个动态过程,其潜在机制在短暂的胚胎发生过程中可能显得多余。

https://cdn.ncbi.nlm.nih.gov/pmc/blobs/1584/7603494/c3033ee005d8/41467_2020_19353_Fig1_HTML.jpg

文献AI研究员

20分钟写一篇综述,助力文献阅读效率提升50倍。

立即体验

用中文搜PubMed

大模型驱动的PubMed中文搜索引擎

马上搜索

文档翻译

学术文献翻译模型,支持多种主流文档格式。

立即体验