Suppr超能文献

用于结直肠癌治疗的自缔合型SN-38共轭聚环氧乙烷-聚酯胶束的研发

Development of Self-Associating SN-38-Conjugated Poly(ethylene oxide)-Poly(ester) Micelles for Colorectal Cancer Therapy.

作者信息

Sadat Sams M A, Vakili Mohammad Reza, Paiva Igor M, Weinfeld Michael, Lavasanifar Afsaneh

机构信息

Faculty of Pharmacy and Pharmaceutical Sciences, University of Alberta, Edmonton, AB T6G 2E1, Canada.

Department of Oncology, Faculty of Medicine and Dentistry, University of Alberta, Edmonton, AB T6G 2R7, Canada.

出版信息

Pharmaceutics. 2020 Oct 29;12(11):1033. doi: 10.3390/pharmaceutics12111033.

Abstract

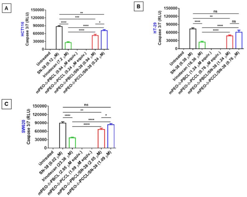
The clinical use of 7-ethyl-10-hydroxy-camptothecin (SN-38), which is the active metabolite of irinotecan, has been hampered because of its practical water-insolubility. In this study, we successfully synthesized two self-associating SN-38-polymer drug conjugates to improve the water-solubility of SN-38, while retaining its anticancer activity. The polymeric micellar SN-38 conjugates were composed of either methoxy-poly(ethylene oxide)-block-poly(α-benzyl carboxylate-ε-caprolactone) conjugated to SN-38 at the PBCL end (mPEO--PBCL/SN-38) or mPEO-block-poly(α-carboxyl-ε-caprolactone) attached to SN-38 from the pendent-free carboxyl site (mPEO--PCCL/SN-38). The chemical structure of block copolymers was confirmed by H NMR. The physicochemical characterizations of their self-assembled structures including size, surface charge, polydispersity, critical micellar concentration, conjugation content and efficiency, morphology, kinetic stability, and in vitro release of SN-38 were compared between the two formulations. In vitro anticancer activities were evaluated by measuring cellular cytotoxicity and caspase activation by MTS and Caspase-Glo 3/7 assays, respectively. The hemolytic activity of both micellar structures against rat red blood cells was also measured. The results showed the formation of SN-38-polymeric micellar conjugates at diameters < 50 nm with a narrow size distribution and sustained release of SN-38 for both structures. The loading content of SN-38 in mPEO--PBCL and mPEO--PCCL were 11.47 ± 0.10 and 12.03 ± 0.17 (% ), respectively. The mPEO--PBCL/SN-38, end-capped micelles were kinetically more stable than mPEO--PCCL/SN-38. The self-assembled mPEO--PBCL/SN-38 and mPEO--PCCL/SN-38 micelles resulted in significantly higher cytotoxic effects than irinotecan against human colorectal cancer cell lines HCT116, HT-29, and SW20. The CRC cells were found to be 70-fold to 330-fold more sensitive to micellar SN-38 than irinotecan, on average. Both SN-38-incorporated micelles showed two-fold higher caspase-3/7 activation levels than irinotecan. The mPEO--PBCL/SN-38 micelles were not hemolytic, but mPEO--PCCL/SN-38 showed some hemolysis. The overall results from this study uphold mPEO--PBCL/SN-38 over mPEO--PCCL/SN-38 micellar formulation as an effective delivery system of SN-38 that warrants further preclinical investigation.

摘要

7-乙基-10-羟基喜树碱(SN-38)是伊立替康的活性代谢产物,因其实际的水不溶性,其临床应用受到了阻碍。在本研究中,我们成功合成了两种自缔合的SN-38-聚合物药物偶联物,以提高SN-38的水溶性,同时保留其抗癌活性。聚合物胶束SN-38偶联物由在PBCL末端与SN-38共轭的甲氧基聚(环氧乙烷)-嵌段-聚(α-苄基羧酸酯-ε-己内酯)(mPEO-PBCL/SN-38)或从无悬垂羧基位点连接到SN-38的mPEO-嵌段-聚(α-羧基-ε-己内酯)(mPEO-PCCL/SN-38)组成。嵌段共聚物的化学结构通过核磁共振氢谱得到证实。比较了两种制剂自组装结构的物理化学特性,包括尺寸、表面电荷、多分散性、临界胶束浓度、偶联含量和效率、形态、动力学稳定性以及SN-38的体外释放。分别通过MTS和Caspase-Glo 3/7测定法测量细胞毒性和半胱天冬酶激活,评估体外抗癌活性。还测量了两种胶束结构对大鼠红细胞的溶血活性。结果表明,两种结构均形成了直径<50 nm、尺寸分布窄的SN-38-聚合物胶束偶联物,并实现了SN-38的持续释放。mPEO-PBCL和mPEO-PCCL中SN-38的负载量分别为11.47±0.10和12.03±0.17(%)。mPEO-PBCL/SN-38封端胶束在动力学上比mPEO-PCCL/SN-38更稳定。自组装的mPEO-PBCL/SN-38和mPEO-PCCL/SN-38胶束对人结肠癌细胞系HCT116、HT-29和SW20产生了比伊立替康显著更高的细胞毒性作用。发现CRC细胞对胶束SN-38的敏感性平均比对伊立替康高70倍至330倍。两种掺入SN-38的胶束均显示半胱天冬酶-3/7激活水平比伊立替康高两倍。mPEO-PBCL/SN-38胶束无溶血作用,但mPEO-PCCL/SN-38有一定溶血作用。本研究的总体结果支持mPEO-PBCL/SN-38胶束制剂优于mPEO-PCCL/SN-38胶束制剂,作为SN-38的有效递送系统,值得进一步进行临床前研究。

https://cdn.ncbi.nlm.nih.gov/pmc/blobs/37ea/7694018/8a034904b2b7/pharmaceutics-12-01033-g001.jpg

文献AI研究员

20分钟写一篇综述,助力文献阅读效率提升50倍。

立即体验

用中文搜PubMed

大模型驱动的PubMed中文搜索引擎

马上搜索

文档翻译

学术文献翻译模型,支持多种主流文档格式。

立即体验