Suppr超能文献

通过胆固醇修饰增强抗菌肽 PMAP-37(F34-R)的抗菌活性。

Enhancing the antibacterial activity of antimicrobial peptide PMAP-37(F34-R) by cholesterol modification.

机构信息

The Key Lab of Veterinary Biological Products, Henan University of Science and Technology, Luoyang, Henan, China.

Henan Provincial Open Laboratory of Key Disciplines in Environmental and Animal Products Safety, Henan University of Science and Technology, Luoyang, Henan, China.

出版信息

BMC Vet Res. 2020 Nov 2;16(1):419. doi: 10.1186/s12917-020-02630-x.

Abstract

BACKGROUND

The problem of increasing resistance against conventional antibiotics has drawn people's attention. Therefore, the development of novel antibacterial agents with effective and safe therapeutic effects is imminent. Antimicrobial peptides (AMPs) are considered a promising class of antibacterial agents due to their broad antibacterial spectrum.

RESULTS

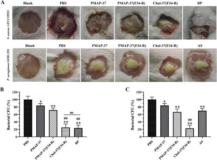
In this study, on the basis of our previously studied peptide PMAP-37(F34-R), a novel antimicrobial peptide Chol-37(F34-R) was developed by N-terminal cholesterol modification to increase hydrophobicity. We observed that the N-terminal cholesterol-modified Chol-37(F34-R) showed higher antimicrobial activity than PMAP-37(F34-R) in vitro. Chol-37(F34-R) also exhibited effective anti-biofilm activity and may kill bacteria by improving the permeability of their membranes. Chol-37(F34-R) exerted high stability in different pH, salt, serum, and boiling water environments. Chol-37(F34-R) also showed no hemolytic activity and substantially low toxicity. Furthermore, Chol-37(F34-R) exhibited good potency of bacteria eradication and promoted wound healing and abscess reduction in infected mice. Meanwhile, in S. aureus ATCC25923-infected peritonitis model, Chol-37(F34-R) exhibited an impressive therapeutic effect by reducing the decrease in systemic bacterial burden and alleviating organ damage.

CONCLUSIONS

Our findings suggested that the N-terminal cholesterol modification of PMAP-37(F34-R) could improve antibacterial activity. Chol-37(F34-R) displayed excellent bactericidal efficacy and impressive therapeutic effect in vivo. Thus, Chol-37(F34-R) may be a candidate for antimicrobial agents against microbial infection in the clinic.

摘要

背景

对抗生素耐药性不断增加的问题引起了人们的关注。因此,开发具有有效且安全治疗效果的新型抗菌剂迫在眉睫。抗菌肽(AMPs)由于其广谱的抗菌谱,被认为是一类很有前途的抗菌剂。

结果

在我们之前研究的肽 PMAP-37(F34-R)的基础上,通过 N 端胆固醇修饰来增加疏水性,开发了一种新型抗菌肽 Chol-37(F34-R)。我们观察到,与 PMAP-37(F34-R)相比,N 端胆固醇修饰的 Chol-37(F34-R)在体外具有更高的抗菌活性。Chol-37(F34-R)还表现出有效的抗生物膜活性,通过提高细胞膜的通透性来杀死细菌。Chol-37(F34-R)在不同的 pH 值、盐度、血清和沸水中环境中表现出高度的稳定性。Chol-37(F34-R)也没有溶血活性,毒性很低。此外,Chol-37(F34-R)具有很强的杀菌能力,能促进感染小鼠的伤口愈合和脓肿减少。同时,在金黄色葡萄球菌 ATCC25923 感染性腹膜炎模型中,Chol-37(F34-R)通过减少全身细菌负荷的减少和减轻器官损伤,表现出显著的治疗效果。

结论

我们的研究结果表明,PMAP-37(F34-R)的 N 端胆固醇修饰可以提高抗菌活性。Chol-37(F34-R)在体内显示出优异的杀菌效果和显著的治疗效果。因此,Chol-37(F34-R)可能是一种临床治疗微生物感染的抗菌剂候选药物。

https://cdn.ncbi.nlm.nih.gov/pmc/blobs/06c7/7607875/7cbdac7611a5/12917_2020_2630_Fig1_HTML.jpg

文献AI研究员

20分钟写一篇综述,助力文献阅读效率提升50倍。

立即体验

用中文搜PubMed

大模型驱动的PubMed中文搜索引擎

马上搜索

文档翻译

学术文献翻译模型,支持多种主流文档格式。

立即体验