Suppr超能文献

下颌骨骨折修复中的软骨细胞向成骨细胞转化。

Chondrocyte-to-osteoblast transformation in mandibular fracture repair.

机构信息

Department of Orthopaedic Surgery, Orthopaedic Trauma Institute, University of California, 2550 23rd Street Building 9, 3rd Floor, San Francisco, California, 94110, USA.

Oral and Craniofacial Sciences Program, School of Dentistry, University of California, San Francisco, California, USA.

出版信息

J Orthop Res. 2021 Aug;39(8):1622-1632. doi: 10.1002/jor.24904. Epub 2020 Nov 18.

Abstract

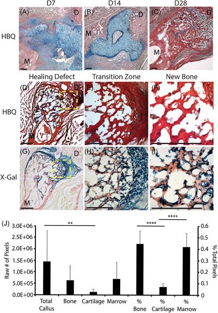
The majority of fracture research has been conducted using long bone fracture models, with significantly less research into the mechanisms driving craniofacial repair. However, craniofacial bones differ from long bones in both their developmental mechanism and embryonic origin. Thus, it is possible that their healing mechanisms could differ. In this study we utilize stabilized and unstabilized mandible fracture models to investigate the pathways regulating repair. Whereas fully stable trephine defects in the ramus form bone directly, mechanical motion within a transverse fracture across the same anatomical location promoted robust cartilage formation before boney remodeling. Literature investigating long bone fractures show chondrocytes are a direct precursor of osteoblasts during endochondral repair. Lineage tracing with Aggrecan-Cre ::Ai9 tdTomato mice demonstrated that mandibular callus chondrocytes also directly contribute to the formation of new bone. Furthermore, immunohistochemistry revealed that chondrocytes located at the chondro-osseous junction expressed Sox2, suggesting that plasticity of these chondrocytes may facilitate this chondrocyte-to-osteoblast transformation. Based on the direct role chondrocytes play in bone repair, we tested the efficacy of cartilage grafts in healing critical-sized mandibular defects. Whereas empty defects remained unbridged and filled with fibrous tissue, cartilage engraftment produced bony-bridging and robust marrow cavity formation, indicating healthy vascularization of the newly formed bone. Engrafted cartilage directly contributed to new bone formation since a significant portion of the newly formed bone was graft/donor-derived. Taken together these data demonstrate the important role of chondrocyte-to-osteoblast transformation during mandibular endochondral repair and the therapeutic promise of using cartilage as a tissue graft to heal craniofacial defects.

摘要

大多数骨折研究都是使用长骨骨折模型进行的,而对颅面修复的机制研究则明显较少。然而,颅面骨在发育机制和胚胎起源上与长骨不同。因此,它们的愈合机制可能不同。在这项研究中,我们利用稳定和不稳定的下颌骨骨折模型来研究调节修复的途径。虽然在支部完全稳定的环钻缺陷直接形成骨,但在同一解剖位置的横断骨折中,机械运动促进了丰富的软骨形成,然后才进行骨重塑。研究长骨骨折的文献表明,软骨细胞是软骨内修复过程中成骨细胞的直接前体细胞。用 Aggrecan-Cre ::Ai9 tdTomato 小鼠进行谱系追踪表明,下颌骨痂软骨细胞也直接有助于新骨的形成。此外,免疫组织化学显示位于软骨-骨交界处的软骨细胞表达 Sox2,表明这些软骨细胞的可塑性可能促进这种软骨细胞向成骨细胞的转化。基于软骨细胞在骨修复中的直接作用,我们测试了软骨移植物在修复临界尺寸下颌骨缺损中的疗效。虽然空缺陷未愈合且充满纤维组织,但软骨移植产生了骨桥接和强大的骨髓腔形成,表明新形成的骨有健康的血管化。移植的软骨直接有助于新骨形成,因为新形成的骨的很大一部分是移植物/供体来源的。综上所述,这些数据表明,软骨细胞向成骨细胞转化在下颌骨软骨内修复中起着重要作用,并且使用软骨作为组织移植物来治疗颅面缺损具有治疗潜力。

https://cdn.ncbi.nlm.nih.gov/pmc/blobs/ae66/8451921/be9e46caf908/JOR-39-1622-g004.jpg

文献AI研究员

20分钟写一篇综述,助力文献阅读效率提升50倍。

立即体验

用中文搜PubMed

大模型驱动的PubMed中文搜索引擎

马上搜索

文档翻译

学术文献翻译模型,支持多种主流文档格式。

立即体验