Suppr超能文献

0.3% topical nepafenac在术后黄斑囊样水肿治疗中的疗效

Efficacy of Topical Nepafenac 0.3% in the Management of Postoperative Cystoid Macular Edema.

作者信息

Giarmoukakis Athanassios K, Blazaki Styliani V, Bontzos Georgios C, Plaka Argyro D, Seliniotakis Konstantinos N, Ioannidi Larissa D, Tsilimbaris Miltiadis K

机构信息

Department of Ophthalmology, University Hospital of Heraklion, Heraklion, Greece.

出版信息

Ther Clin Risk Manag. 2020 Nov 6;16:1067-1074. doi: 10.2147/TCRM.S271184. eCollection 2020.

Abstract

PURPOSE

To assess the effect of twice-daily nepafenac ophthalmic suspension 0.3% on postoperative cystoid-macular-edema (CME).

PATIENTS AND METHODS

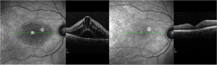
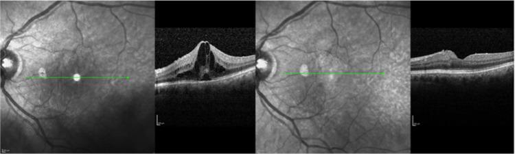
In this prospective, clinic-based, non-randomized case-series, 21 patients (21 eyes) were enrolled with either acute or chronic postoperative CME after cataract extraction. Patients were treated with twice-daily nepafenac 0.3% drops, and followed for at least a 4-month period. Best-corrected visual acuity (BCVA) and spectral-domain optical coherence tomography (SD-OCT)-derived central retinal thickness (CRT) were measured.

RESULTS

From 21 patients, eight presented with acute postoperative CME and 13 with chronic CME. Mean follow-up was 4.82±1.24 months. No adverse events were reported during the study. Baseline BCVA was 0.49±0.36 logMAR and improved to 0.36±0.42 logMAR at the last follow-up visit (<0.005). CRT decreased from 450.40±90.74 μm at baseline to 354.60±81.49 μm (<0.05), following treatment.

CONCLUSION

Our outcomes strongly suggest that administrating nepafenac 0.3% drops on a twice-daily regimen could be a promising alternative for the management of postoperative CME. Additional studies are necessary to further validate our results.

摘要

目的

评估0.3%奈帕芬酸眼用混悬液每日两次给药对术后黄斑囊样水肿(CME)的影响。

患者与方法

在这项前瞻性、基于临床的非随机病例系列研究中,纳入了21例白内障摘除术后出现急性或慢性CME的患者(21只眼)。患者接受0.3%奈帕芬酸滴眼液每日两次治疗,并随访至少4个月。测量最佳矫正视力(BCVA)和光谱域光学相干断层扫描(SD-OCT)得出的中心视网膜厚度(CRT)。

结果

21例患者中,8例出现急性术后CME,13例出现慢性CME。平均随访时间为4.82±1.24个月。研究期间未报告不良事件。基线BCVA为0.49±0.36 logMAR,在最后一次随访时提高至0.36±0.42 logMAR(<0.005)。治疗后,CRT从基线时的450.40±90.74μm降至354.60±81.49μm(<0.05)。

结论

我们的结果强烈表明,每日两次使用0.3%奈帕芬酸滴眼液可能是治疗术后CME的一种有前景的替代方法。需要进一步的研究来进一步验证我们的结果。

https://cdn.ncbi.nlm.nih.gov/pmc/blobs/f906/7654537/3822bd850a18/TCRM-16-1067-g0001.jpg

文献AI研究员

20分钟写一篇综述,助力文献阅读效率提升50倍。

立即体验

用中文搜PubMed

大模型驱动的PubMed中文搜索引擎

马上搜索

文档翻译

学术文献翻译模型,支持多种主流文档格式。

立即体验