Suppr超能文献

系统性使用本妥昔单抗治疗阴茎蕈样霉菌病完全缓解。

Complete response of penile mycosis fungoides with systemic brentuximab therapy.

作者信息

Schaufler Christian, Ferenczi Katalin, Hegde Upendra, Ristau Benjamin T

机构信息

University of Connecticut Health Center, Division of Urology, 263 Farmington Avenue, Farmington, CT, 06030, United States.

University of Connecticut Health Center, Division of Dermatology, 263 Farmington Avenue, Farmington, CT, 06030, United States.

出版信息

Urol Case Rep. 2020 Oct 21;34:101460. doi: 10.1016/j.eucr.2020.101460. eCollection 2021 Jan.

Abstract

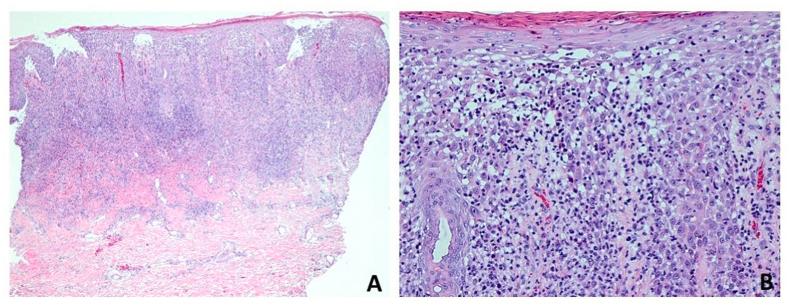
Mycosis fungoides with penile involvement is extremely rare. Previous reports have shown successful treatment with imiquimod or a combination of beam radiation and chemotherapy. We present a patient with mycosis fungoides and penile involvement. The penile lesions were initially treated with topical imiquimod; however, he developed worsening glandular lesions and discharge. Therefore the treatment was discontinued. Subsequent treatment with brentuximab (anti-CD30) targeted therapy resulted in complete resolution of the penile lesions. To our knowledge, this represents the first case of a complete penile mycosis fungoides response to brentuximab therapy. Brentuximab may be considered for refractory penile mycoses fungoides.

摘要

蕈样肉芽肿累及阴茎极为罕见。既往报道显示,咪喹莫特或联合电子束放疗及化疗治疗有效。我们报告1例累及阴茎的蕈样肉芽肿患者。阴茎病变最初采用咪喹莫特局部治疗;然而,他出现了腺体病变恶化及分泌物增多。因此,停止了该治疗。随后采用靶向治疗药物brentuximab(抗CD30)治疗,阴茎病变完全消退。据我们所知,这是首例阴茎蕈样肉芽肿对brentuximab治疗完全缓解的病例。对于难治性阴茎蕈样肉芽肿,可考虑使用brentuximab。

https://cdn.ncbi.nlm.nih.gov/pmc/blobs/4755/7644882/43c06ba27c91/gr1.jpg

文献AI研究员

20分钟写一篇综述,助力文献阅读效率提升50倍。

立即体验

用中文搜PubMed

大模型驱动的PubMed中文搜索引擎

马上搜索

文档翻译

学术文献翻译模型,支持多种主流文档格式。

立即体验