Suppr超能文献

暴露于臭氧通过激活 lncRNA PVT1-miR-15a-5p/miR-29c-3p 信号转导,影响 CD T 细胞的 Th1/Th2 失衡和 ASMCs 的细胞凋亡,从而导致哮喘进展。

Exposure to ozone impacted Th1/Th2 imbalance of CD T cells and apoptosis of ASMCs underlying asthmatic progression by activating lncRNA PVT1-miR-15a-5p/miR-29c-3p signaling.

机构信息

Department of Respiratory and Critical Care Medicine, The First Hospital of Shanxi Medical University, Taiyuan 030001, China.

Department of Medicine, Shanxi Medical University, Taiyuan 030001, China.

出版信息

Aging (Albany NY). 2020 Nov 20;12(24):25229-25255. doi: 10.18632/aging.104124.

Abstract

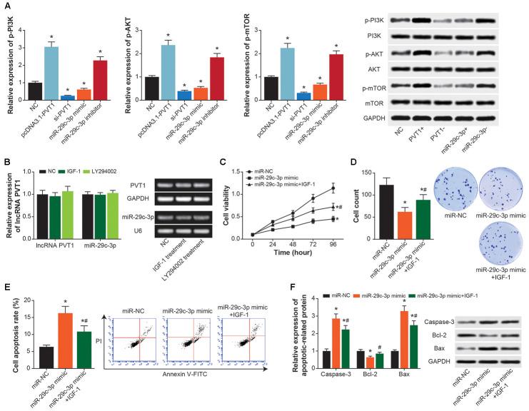
This investigation attempted to elucidate whether lncRNA PVT1-led miRNA axes participated in aggravating ozone-triggered asthma progression. One hundred and sixty-eight BALB/c mice were evenly divided into saline+air group, ovalbumin+air group, saline+ozone group and ovalbumin+ozone group. Correlations were evaluated between PVT1 expression and airway smooth muscle function/inflammatory cytokine release among the mice models. Furthermore, pcDNA3.1-PVT1 and si-PVT1 were, respectively, transfected into CDT cells and airway smooth muscle cells (ASMCs), and activities of the cells were observed. Ultimately, a cohort of asthma patients was recruited to estimate the diagnostic performance of PVT1. It was demonstrated that mice of ovalbumin+ozone group were associated with higher PVT1 expression, thicker trachea/airway smooth muscle and smaller ratio of Th1/Th2-like cytokines than mice of ovalbumin+air group and saline+ozone group (<0.05). Moreover, pcDNA3.1-PVT1 significantly brought down Th1/Th2 ratio in CD T cells by depressing miR-15a-5p expression and activating PI3K-Akt-mTOR signaling (<0.05). The PVT1 also facilitated ASMC proliferation by sponging miR-29c-3p and motivating PI3K-Akt-mTOR signaling (<0.05). Additionally, PVT1 seemed promising in diagnosis of asthma, with favorable sensitivity (i.e. 0.844) and specificity (i.e. 0.978). Conclusively, lncRNA PVT1-miR-15a-5p/miR-29c-3p-PI3K-Akt-mTOR axis was implicated in ozone-induced asthma development by promoting ASMC proliferation and Th1/Th2 imbalance.

摘要

本研究旨在探讨长链非编码 RNA PVT1 介导的微小 RNA 轴是否参与加剧臭氧诱发的哮喘进展。将 168 只 BALB/c 小鼠平均分为盐水+空气组、卵清蛋白+空气组、盐水+臭氧组和卵清蛋白+臭氧组。评估了小鼠模型中 PVT1 表达与气道平滑肌功能/炎性细胞因子释放之间的相关性。此外,分别将 pcDNA3.1-PVT1 和 si-PVT1 转染至 CDT 细胞和气道平滑肌细胞(ASMCs),观察细胞活性。最终,招募了一组哮喘患者来评估 PVT1 的诊断性能。结果表明,与卵清蛋白+空气组和盐水+臭氧组相比,卵清蛋白+臭氧组小鼠的 PVT1 表达更高、气管/气道平滑肌更厚、Th1/Th2 样细胞因子比值更小(<0.05)。此外,pcDNA3.1-PVT1 通过抑制 miR-15a-5p 的表达和激活 PI3K-Akt-mTOR 信号通路,显著降低 CDT 细胞中的 Th1/Th2 比值(<0.05)。PVT1 还通过海绵吸附 miR-29c-3p 并激活 PI3K-Akt-mTOR 信号通路,促进 ASMC 增殖(<0.05)。此外,PVT1 在哮喘诊断中似乎很有前景,具有良好的敏感性(即 0.844)和特异性(即 0.978)。综上所述,lncRNA PVT1-miR-15a-5p/miR-29c-3p-PI3K-Akt-mTOR 轴通过促进 ASMC 增殖和 Th1/Th2 失衡参与臭氧诱导的哮喘发生发展。

https://cdn.ncbi.nlm.nih.gov/pmc/blobs/da1c/7803560/1e6b1534c65d/aging-12-104124-g001.jpg

文献AI研究员

20分钟写一篇综述,助力文献阅读效率提升50倍。

立即体验

用中文搜PubMed

大模型驱动的PubMed中文搜索引擎

马上搜索

文档翻译

学术文献翻译模型,支持多种主流文档格式。

立即体验