Suppr超能文献

COVID-19 患者中的肺栓塞:一家三级医院的患病率研究。

Pulmonary embolisms in patients with COVID-19: a prevalence study in a tertiary hospital.

机构信息

Sección Radiología de Urgencias, Servicio de Radiodiagnóstico, Hospital Universitario 12 de Octubre, Madrid, España.

Sección Radiología Cardiotorácica, Sección de Radiodiagnóstico, Hospital Universitario 12 de Octubre, Madrid, España.

出版信息

Radiologia (Engl Ed). 2021 Jan-Feb;63(1):13-21. doi: 10.1016/j.rx.2020.09.010. Epub 2020 Oct 29.

Abstract

INTRODUCTION

SARS-CoV-2, the virus responsible for the current pandemic, predominantly affects the respiratory tract, and a growing number of publications report the predisposition of patients with COVID-19 to develop thrombotic phenomena.

OBJECTIVE

To determine the prevalence of pulmonary embolism in patients with COVID-19; to determine the possible relationship between the severity of pulmonary involvement and D-dimer levels; to analyze the location of pulmonary embolisms in patients with COVID-19 and to compare it with the location in patients without COVID-19.

METHODS

This retrospective study analyzed all CT angiograms of the pulmonary arteries done in patients with suspected pulmonary embolisms between March 15 and April 30, 2020 and compared them with studies done in the same period one year earlier.

RESULTS

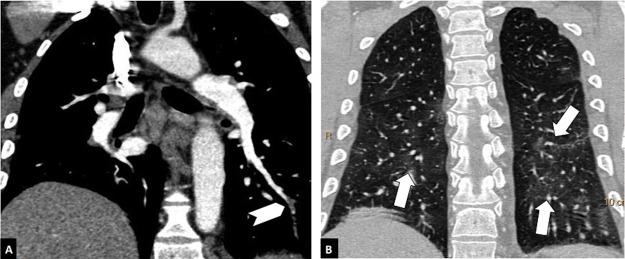
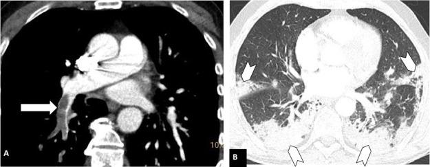
We included 492 pulmonary CT angiograms (342 (69.9%) in patients with COVID-19 and 147 (30.1%) in patients without COVID-19). The prevalence of pulmonary embolisms was higher in patients with COVID-19 (26% vs. 16.3% in patients without COVID-19, p=0.0197; relative risk=1.6). The prevalence of pulmonary embolisms in the same period in 2019 was 13.2%, similar to that of the group of COVID-19-negative patients in 2020 (p=0.43). There were no significant differences in D-dimer levels or the location of pulmonary embolisms between the two groups. CT showed moderate or severe pulmonary involvement in 78.7% of the patients with COVID-19.

CONCLUSIONS

Patients with COVID-19 have an increased prevalence of pulmonary embolisms (26%), and most (78.7%) have moderate or severe lung involvement on CT studies. The location of pulmonary embolisms and the degree of elevation of D-dimer levels does not differ between patients with COVID-19 and those without.

摘要

介绍

导致当前大流行的 SARS-CoV-2 病毒主要影响呼吸道,越来越多的出版物报告 COVID-19 患者易发生血栓现象。

目的

确定 COVID-19 患者中肺栓塞的患病率;确定肺受累严重程度与 D-二聚体水平之间的可能关系;分析 COVID-19 患者肺栓塞的位置,并与无 COVID-19 患者的位置进行比较。

方法

本回顾性研究分析了 2020 年 3 月 15 日至 4 月 30 日期间疑似肺栓塞患者的所有肺动脉 CT 血管造影,并将其与一年前同期的研究进行了比较。

结果

共纳入 492 例肺动脉 CT 血管造影(COVID-19 患者 342 例[69.9%],无 COVID-19 患者 147 例[30.1%])。COVID-19 患者肺栓塞的患病率较高(26%比无 COVID-19 患者[16.3%],p=0.0197;相对风险=1.6)。2019 年同期的肺栓塞患病率为 13.2%,与 2020 年无 COVID-19 患者组相似(p=0.43)。两组患者的 D-二聚体水平或肺栓塞位置无显著差异。CT 显示 COVID-19 患者中有 78.7%存在中度或重度肺受累。

结论

COVID-19 患者肺栓塞的患病率增加(26%),大多数(78.7%)在 CT 研究中有中度或重度肺部受累。COVID-19 患者和无 COVID-19 患者的肺栓塞位置和 D-二聚体水平升高程度无差异。

https://cdn.ncbi.nlm.nih.gov/pmc/blobs/a989/7598917/be1251445b4c/gr1_lrg.jpg

文献AI研究员

20分钟写一篇综述,助力文献阅读效率提升50倍。

立即体验

用中文搜PubMed

大模型驱动的PubMed中文搜索引擎

马上搜索

文档翻译

学术文献翻译模型,支持多种主流文档格式。

立即体验