Suppr超能文献

mA 读码器 YTHDC2 通过抑制 SLC7A11 依赖性抗氧化功能抑制肺腺癌细胞发生。

The mA reader YTHDC2 inhibits lung adenocarcinoma tumorigenesis by suppressing SLC7A11-dependent antioxidant function.

机构信息

Department of Thoracic Surgery, Shanghai Chest Hospital, Shanghai Jiao Tong University, Shanghai, 200030, China; Shanghai Institute of Thoracic Oncology, Shanghai Chest Hospital, Shanghai Jiao Tong University, Shanghai, 200030, China.

Shanghai Lung Cancer Center, Shanghai Chest Hospital, Shanghai Jiao Tong University, Shanghai, 200030, China.

出版信息

Redox Biol. 2021 Jan;38:101801. doi: 10.1016/j.redox.2020.101801. Epub 2020 Nov 18.

Abstract

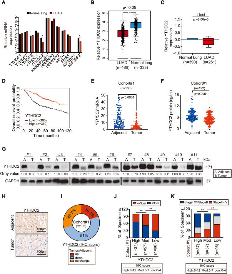
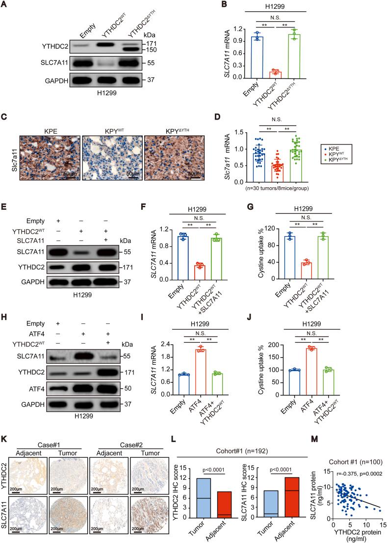
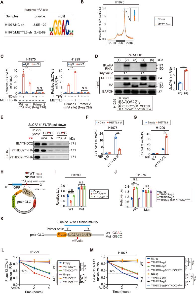
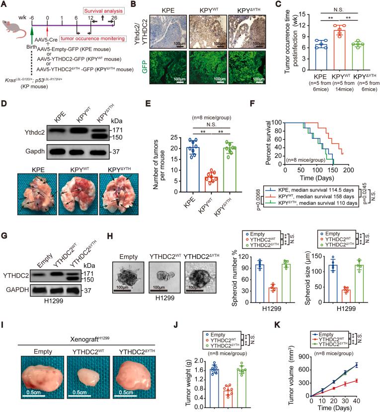
The biological functions of N6-methyladenosine (mA) RNA methylation are mainly dependent on the reader; however, its role in lung tumorigenesis remains unclear. Here, we have demonstrated that the mA reader YT521-B homology domain containing 2 (YTHDC2) is frequently suppressed in lung adenocarcinoma (LUAD). Downregulation of YTHDC2 was associated with poor clinical outcome of LUAD. YTHDC2 decreased tumorigenesis in a spontaneous LUAD mouse model. Moreover, YTHDC2 exhibited antitumor activity in human LUAD cells. Mechanistically, YTHDC2, via its mA-recognizing YTH domain, suppressed cystine uptake and blocked the downstream antioxidant program. Administration of cystine downstream antioxidants to pulmonary YTHDC2-overexpressing mice rescued lung tumorigenesis. Furthermore, solute carrier 7A11 (SLC7A11), the catalytic subunit of system X, was identified to be the direct target of YTHDC2. YTHDC2 destabilized SLC7A11 mRNA in an mA-dependent manner because YTHDC2 preferentially bound to mA-modified SLC7A11 mRNA and thereafter promoted its decay. Clinically, a large proportion of acinar LUAD subtype cases exhibited simultaneous YTHDC2 downregulation and SLC7A11 elevation. Patient-derived xenograft (PDX) mouse models generated from acinar LUAD showed sensitivity to system X inhibitors. Collectively, the promotion of cystine uptake via the suppression of YTHDC2 is critical for LUAD tumorigenesis, and blocking this process may benefit future treatment.

摘要

N6-甲基腺苷(m6A) RNA 甲基化的生物学功能主要依赖于其“阅读器”;然而,其在肺肿瘤发生中的作用尚不清楚。在这里,我们证明 N6-甲基腺苷(m6A) RNA 甲基化的“阅读器”Y 碱基 T 富含域蛋白 2(YTHDC2)在肺腺癌(LUAD)中经常受到抑制。YTHDC2 的下调与 LUAD 的不良临床预后相关。YTHDC2 降低了自发性 LUAD 小鼠模型中的肿瘤发生。此外,YTHDC2 在人 LUAD 细胞中表现出抗肿瘤活性。在机制上,YTHDC2 通过其 m6A 识别 YTH 结构域抑制胱氨酸摄取并阻断下游抗氧化程序。向肺过表达 YTHDC2 的小鼠中给予胱氨酸下游抗氧化剂可挽救肺肿瘤发生。此外,溶质载体 7A11(SLC7A11),即系统 X 的催化亚基,被鉴定为 YTHDC2 的直接靶标。YTHDC2 以 m6A 依赖的方式使 SLC7A11 mRNA 不稳定,因为 YTHDC2 优先结合 mA 修饰的 SLC7A11 mRNA,随后促进其降解。临床上,相当一部分腺泡 LUAD 亚型病例同时表现出 YTHDC2 下调和 SLC7A11 升高。从腺泡 LUAD 生成的患者来源异种移植(PDX)小鼠模型对系统 X 抑制剂敏感。总之,通过抑制 YTHDC2 促进胱氨酸摄取对于 LUAD 肿瘤发生至关重要,阻断这一过程可能有益于未来的治疗。

https://cdn.ncbi.nlm.nih.gov/pmc/blobs/36aa/7691619/618444d152c3/fx1.jpg

文献AI研究员

20分钟写一篇综述,助力文献阅读效率提升50倍。

立即体验

用中文搜PubMed

大模型驱动的PubMed中文搜索引擎

马上搜索

文档翻译

学术文献翻译模型,支持多种主流文档格式。

立即体验