Suppr超能文献

与胸腺瘤患者较高的 Masaoka 分期和较差的无复发生存相关的纤维带。

Fibrous bands associated with higher Masaoka stage and poor recurrence-free survival in patients with thymoma.

机构信息

Division of Thoracic Surgery, Kobe University Graduate School of Medicine, Kobe, Japan.

Department of Diagnostic Pathology, Kobe University Graduate School of Medicine, Kobe, Japan.

出版信息

Thorac Cancer. 2021 Feb;12(3):349-356. doi: 10.1111/1759-7714.13755. Epub 2020 Nov 25.

Abstract

BACKGROUND

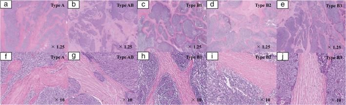
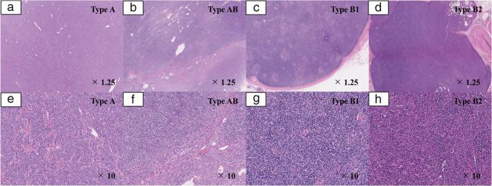
Fibrous bands (FBs) are one of the histological features in tumors which can be confirmed by hematoxylin and eosin (H&E)-stained slides. FBs have been reported to correlate with malignancy in various tumors. This study aimed to investigate whether the presence of FBs is associated with malignancy in thymoma.

METHODS

A total of 123 consecutive patients with thymoma who underwent microscopically complete resections from January 2000 to December 2018 were enrolled into this study. H&E-stained slides of all thymoma patients were re-examined. Study patients were classified into two groups: with FBs (n = 36) and without FBs (n = 87). Clinicopathological characteristics, overall survival (OS), and recurrence-free survival (RFS) were compared between the two groups. Furthermore, multivariate analyses were performed to identify whether the presence of FBs was associated with higher Masaoka stage and poor prognosis in patients with thymoma.

RESULTS

The Masaoka stage was found to be higher and recurrence more likely in thymoma patients with FBs than in those without. RFS was significantly poorer in thymoma patients with FBs than in those without, although no significant difference was observed in OS between them. The presence of FBs was significantly associated with higher Masaoka stage in the multivariate analysis using logistic regression. Additionally, the presence of FBs was an independent prognostic factor for poor RFS in multivariate analysis using Cox's proportional hazards model.

CONCLUSIONS

The presence of FBs in patients with thymoma was associated with higher Masaoka stage, higher recurrence rate, and poorer RFS.

KEY POINTS

SIGNIFICANT FINDINGS OF THE STUDY: Fibrous bands (FBs) are bands of fibrosis dividing tumors into different-sized irregular islands. The presence of FBs is associated with higher Masaoka stage and poor recurrence-free survival in patients with thymoma.

WHAT THIS STUDY ADDS

The presence of fibrous bands might be associated with the malignant behavior of thymoma. Confirming the presence or absence of FBs may result in personalized medication for patients with thymoma.

摘要

背景

纤维带(FBs)是肿瘤的组织学特征之一,可以通过苏木精和伊红(H&E)染色切片证实。已有报道称,FBs 与各种肿瘤的恶性程度相关。本研究旨在探讨 FB 是否与胸腺瘤的恶性程度相关。

方法

本研究共纳入了 2000 年 1 月至 2018 年 12 月期间接受显微镜下完全切除的 123 例连续胸腺瘤患者。所有胸腺瘤患者的 H&E 染色切片均重新检查。将研究患者分为两组:有 FB(n=36)和无 FB(n=87)。比较两组间的临床病理特征、总生存期(OS)和无复发生存期(RFS)。此外,还进行了多变量分析,以确定 FB 的存在是否与胸腺瘤患者的较高 Masaoka 分期和预后不良相关。

结果

与无 FB 的患者相比,有 FB 的胸腺瘤患者的 Masaoka 分期更高,复发的可能性更大。尽管两组患者的 OS 无显著差异,但有 FB 的胸腺瘤患者的 RFS 显著较差。多变量分析使用逻辑回归显示,FB 的存在与较高的 Masaoka 分期显著相关。此外,多变量分析使用 Cox 比例风险模型显示,FB 的存在是 RFS 不良的独立预后因素。

结论

胸腺瘤患者 FB 的存在与较高的 Masaoka 分期、较高的复发率和较差的 RFS 相关。

关键点

研究的重要发现:纤维带(FBs)是将肿瘤分隔成不同大小不规则岛的纤维化带。FB 的存在与胸腺瘤患者的较高 Masaoka 分期和较差的无复发生存期相关。

本研究的新增内容

纤维带的存在可能与胸腺瘤的恶性行为相关。确认 FB 的存在与否可能会为胸腺瘤患者提供个性化的治疗方案。

https://cdn.ncbi.nlm.nih.gov/pmc/blobs/4ccf/7862782/fbc0709ccf4c/TCA-12-349-g001.jpg

文献AI研究员

20分钟写一篇综述,助力文献阅读效率提升50倍。

立即体验

用中文搜PubMed

大模型驱动的PubMed中文搜索引擎

马上搜索

文档翻译

学术文献翻译模型,支持多种主流文档格式。

立即体验