Suppr超能文献

基质金属蛋白酶-9 和金属蛋白酶组织抑制剂-1 的水平与胎儿炎症反应综合征的心肺损伤有关。

Levels of matrix metalloproteinase-9 and tissue inhibitor of metalloproteinase-1 are related to cardiopulmonary injury in fetal inflammatory response syndrome.

机构信息

Department of Pediatrics, The Fourth Hospital of Hebei Medical University, Shijiazhuang, China.

出版信息

Clinics (Sao Paulo). 2020 Nov 27;75:e2049. doi: 10.6061/clinics/2020/e2049. eCollection 2020.

Abstract

OBJECTIVES

To evaluate the diagnostic value of matrix metalloproteinase-9 (MMP-9), tissue inhibitor of metalloproteinase-1 (TIMP-1), and the MMP-9/TIMP-1 ratio in fetal inflammatory response syndrome (FIRS), and determine a possible association with the incidence of bronchopulmonary dysplasia (BPD) and myocardial injury.

METHODS

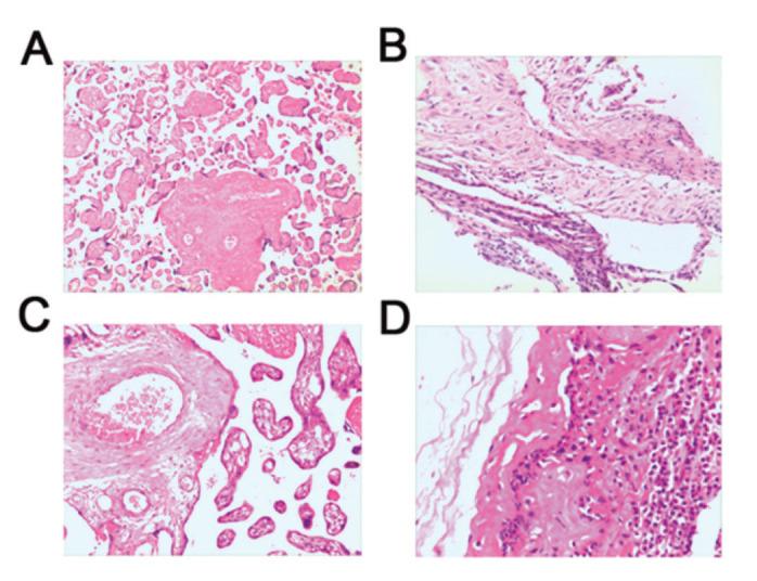
Overall, 61 cases of preterm infants with FIRS were divided into the FIRS group 1 (≤32 weeks) and FIRS group 2 (32 to 37 weeks). Similarly, 57 cases of normal preterm infants were divided into Control group 1 and Control group 2. Levels of interleukin-6 (IL-6), MMP-9, and TIMP-1 were detected by enzyme-linked immunosorbent assay. Spearman's linear correlation was used to analyze the relationship between dependent variables. Pathological changes were examined by hematoxylin and eosin (HE) staining and in amniotic fluid smears.

RESULTS

Levels of IL-6, MMP-9, and TIMP-1, and the MMP-9/TIMP-1 ratio were significantly higher in the FIRS group than in the Control groups. IL-6 was positively correlated with MMP-9, TIMP-1, and the MMP-9/TIMP-1 ratio. Areas under the curve (AUC) of MMP-9, TIMP-1, and the MMP-9/TIMP-1 ratio were 0.92, 0.90, and 0.95, respectively. HE staining and amniotic fluid smears showed the aggregation of inflammatory cells. MMP-9, TIMP-1, and the MMP-9/TIMP-1 ratio were closely related to the incidence of BPD (≤32 weeks) and myocardial injury (<37 weeks) in preterm infants.

CONCLUSION

MMP-9, TIMP-1, and the MMP-9/TIMP-1 ratio revealed a certain diagnostic value for FIRS; combined with gestational age, these parameters were effective for predicting cardiopulmonary injury.

摘要

目的

评估基质金属蛋白酶-9(MMP-9)、金属蛋白酶组织抑制剂-1(TIMP-1)及 MMP-9/TIMP-1 比值在胎儿炎症反应综合征(FIRS)中的诊断价值,并探讨其与支气管肺发育不良(BPD)及心肌损伤的发生的可能相关性。

方法

选取 61 例 FIRS 早产儿,分为 FIRS 组 1(≤32 周)和 FIRS 组 2(32~37 周);同期选取 57 例正常早产儿分为对照组 1 和对照组 2。采用酶联免疫吸附试验检测白细胞介素-6(IL-6)、MMP-9、TIMP-1 水平。采用 Spearman 线性相关分析对各指标间的关系进行分析。HE 染色和羊水涂片观察病理学变化。

结果

FIRS 组的 IL-6、MMP-9、TIMP-1 及 MMP-9/TIMP-1 比值明显高于对照组。IL-6 与 MMP-9、TIMP-1 及 MMP-9/TIMP-1 比值呈正相关。MMP-9、TIMP-1、MMP-9/TIMP-1 比值的曲线下面积(AUC)分别为 0.92、0.90、0.95。HE 染色和羊水涂片显示炎症细胞聚集。MMP-9、TIMP-1、MMP-9/TIMP-1 比值与早产儿 BPD(≤32 周)及心肌损伤(<37 周)的发生率密切相关。

结论

MMP-9、TIMP-1 及 MMP-9/TIMP-1 比值对 FIRS 具有一定的诊断价值;与胎龄相结合,这些参数可有效预测心肺损伤。

https://cdn.ncbi.nlm.nih.gov/pmc/blobs/865e/7654901/648711cda48c/cln-75-e2049-g001.jpg

文献AI研究员

20分钟写一篇综述,助力文献阅读效率提升50倍。

立即体验

用中文搜PubMed

大模型驱动的PubMed中文搜索引擎

马上搜索

文档翻译

学术文献翻译模型,支持多种主流文档格式。

立即体验