Suppr超能文献

母体补充叶酸对不同产仔数新生羔羊小肠表型和基因表达的影响不同。

Maternal Folic Acid Supplementation Differently Affects the Small Intestinal Phenotype and Gene Expression of Newborn Lambs from Differing Litter Sizes.

作者信息

Li Zhen, Wang Bo, Li Heqiong, Jian Luyang, Luo Hailing, Wang Bing, Zhang Can, Zhao Xingang, Xue Ying, Peng Sijia, Zuo Shuxian

机构信息

State Key Laboratory of Animal Nutrition, College of Animal Science and Technology, China Agricultural University, Beijing 100193, China.

出版信息

Animals (Basel). 2020 Nov 22;10(11):2183. doi: 10.3390/ani10112183.

Abstract

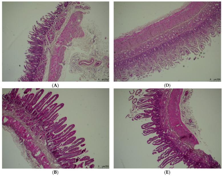
The purpose of this study was to investigate the effect of maternal dietary folic acid (FA) supplementation during gestation on small intestinal development of newborn lambs of different litter sizes, focusing on the intestinal morphology and development-, apoptosis- and digestion-related genes expression. One hundred and twenty Hu ewes () were inseminated and randomly allotted to three groups. One group received a control diet [without FA supplementation, control (CON)] and the other two groups received control diets supplemented with different amount of FA [16 or 32 mg FA per kg dry matter (DM), i.e., F16 and F32] during pregnancy. After lambing, according to the dietary FA levels and litter size (twins, TW; triplets, TR), the neonatal lambs were divided into 6 (TW-CON, TW-F16, TW-F32, TR-CON, TR-F16, TR-F32) treatment groups. The results showed that the ratio of small intestinal weight to live body weight and the thickness of the intestinal muscle layer in the offspring was enhanced significantly with increasing maternal FA supplementation ( < 0.05). Meanwhile, the expression levels of insulin-like growth factor I (), B-cell lymphoma-2 ( and sodium/glucose co-transporter-1 () in the small intestines of the newborn lambs were increased, while the opposite was true for Bcl2-associated × ( in response to FA supplementation ( < 0.05). Moreover, the small intestinal weights of twins were significantly higher than those of triplets ( < 0.01), and the expression levels of ( < 0.05), sucrase-isomaltase ( ( < 0.05) and solute carrier family 2 member 5 () ( < 0.01) were significantly lower than those in triplets. These findings suggest that maternal FA supplementation could improve the offspring's small intestinal phenotype and the expression of development-, apoptosis- and digestion-related genes, so it could promote the small intestinal development of newborn lambs. Furthermore, the small intestine phenotypic development of twins was generally better than that of triplets, while the expression levels of the above genes of twins were lower than those of triplets.

摘要

本研究旨在探讨妊娠期母体补充叶酸(FA)对不同产仔数新生羔羊小肠发育的影响,重点关注肠道形态以及与发育、凋亡和消化相关基因的表达。120只湖羊母羊授精后随机分为三组。一组给予对照日粮[不补充FA,对照组(CON)],另外两组在妊娠期间给予补充不同量FA的对照日粮[每千克干物质(DM)含16或32 mg FA,即F16和F32]。产羔后,根据日粮FA水平和产仔数(双胞胎,TW;三胞胎,TR),将新生羔羊分为6个(TW-CON、TW-F16、TW-F32、TR-CON、TR-F16、TR-F32)处理组。结果表明,随着母体FA补充量的增加,后代小肠重量与体重之比以及肠肌层厚度显著增加(P<0.05)。同时,新生羔羊小肠中胰岛素样生长因子I(IGF-I)、B细胞淋巴瘤-2(Bcl-2)和钠/葡萄糖协同转运蛋白-1(SGLT-1)的表达水平升高,而Bcl-2相关X蛋白(Bax)的表达水平则相反,对FA补充有反应(P<0.05)。此外,双胞胎的小肠重量显著高于三胞胎(P<0.01),且IGF-I(P<0.05)、蔗糖酶-异麦芽糖酶(SI)(P<0.05)和溶质载体家族2成员5(GLUT5)(P<0.01)的表达水平显著低于三胞胎。这些发现表明,母体补充FA可改善后代小肠表型以及与发育、凋亡和消化相关基因的表达,从而促进新生羔羊小肠发育。此外,双胞胎的小肠表型发育总体上优于三胞胎,而双胞胎上述基因的表达水平低于三胞胎。

https://cdn.ncbi.nlm.nih.gov/pmc/blobs/8ed6/7700240/90c7573e1d2b/animals-10-02183-g001.jpg

文献AI研究员

20分钟写一篇综述,助力文献阅读效率提升50倍。

立即体验

用中文搜PubMed

大模型驱动的PubMed中文搜索引擎

马上搜索

文档翻译

学术文献翻译模型,支持多种主流文档格式。

立即体验