Suppr超能文献

减轻高脂饮食诱导的白化大鼠睾丸损伤;组织学和超微结构研究

alleviate testicular damage induced by high fat diet in albino rats; histological and ultrastructural studies.

作者信息

Arisha Samah M, Sakr Saber A, Abd-Elhaseeb Fatma R

机构信息

Zoology Department, Faculty of Science, Menoufia University, Egypt.

出版信息

Heliyon. 2020 Nov 23;6(11):e05584. doi: 10.1016/j.heliyon.2020.e05584. eCollection 2020 Nov.

Abstract

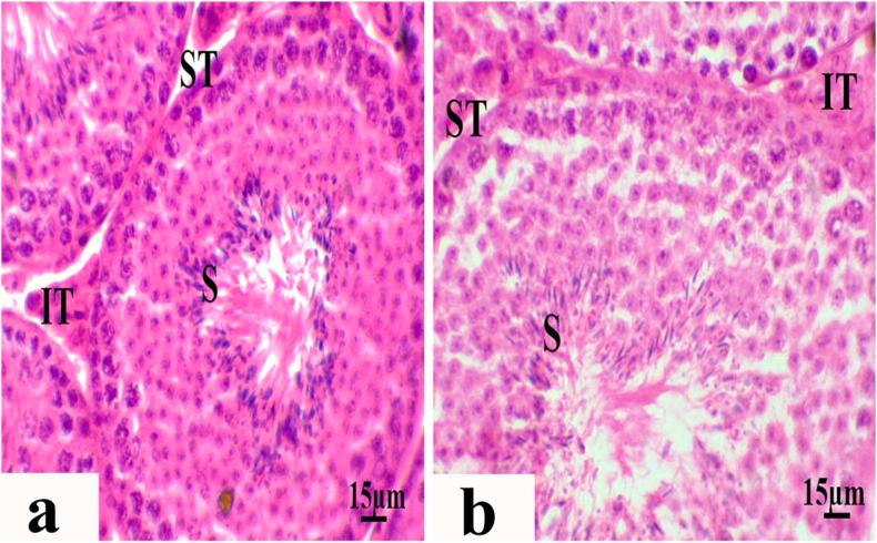
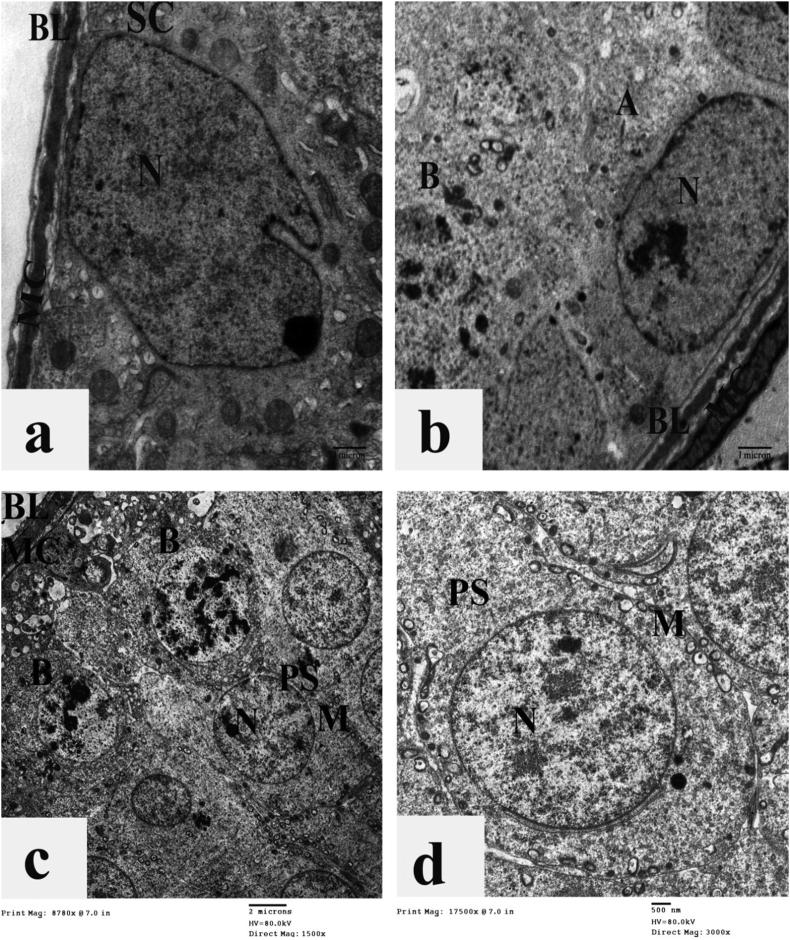
Hyperlipidemia has been related to sever health outcome include cardiovascular complication, metabolic disorders and infertility. Moreover, obesity has also been linked to dangerous effects on testicular morphology, spermatogenesis and sperm malformation. Many studies using different herbal medicines exert protective and therapeutic effect on the testes, spermatogenesis and fertility in animals fed high fat diet. Objective: this study aimed to find out the protective effect of cinnamon on testes of albino rat fed high fat diet (HFD). Forty adult male albino rats were selected and equally divided into 4 groups. Group 1: animals of this group were fed standard diet. Group 2: rats were fed standard diet and cinnamon "15% weight by weight, w/w" for 8 weeks. Group 3: animals in this group were fed HFD (2% cholesterol, 15 % sucrose, 15% corn, 15% cocoa butter, starch and 4.7% cellulose) for 8 weeks. Group 4: animals in this group were fed HFD and cinnamon. At the end of 4 weeks half animals were sacrificed and the rest of animals were sacrificed at the end of 8 weeks and blood samples were collected to assay the testosterone level. As well as testes were taken and prepared for both histological and ultrastructure studies. Histological examination of testicular tissue of HFD-fed animals revealed many pathological changes include degenerated seminiferous tubules, distorted germinal layers and interstitial tissue appeared degenerated with intertubular hemorrhage. Ultrastructural observations showed severe degenerated features including both different types of spermatogonia and interstitial tissue. On the other hand, both histological and ultrastructural alterations were substantially but not completely protect in obese animals fed HFD and cinnamon for 4 weeks while advanced degree of improvement tissue appeared after 8 weeks of the same treatment. As well as, significantly increase in the level of testosterone was recorded when compared with HFD-fed animals. The present work concluded that cinnamon dietary uptake may improve testicular damage induced by HFD as it has anti-inflammatory, anti-obesity and antioxidant activities.

摘要

高脂血症与包括心血管并发症、代谢紊乱和不育症在内的严重健康后果有关。此外,肥胖也与对睾丸形态、精子发生和精子畸形的危险影响有关。许多使用不同草药的研究对高脂饮食喂养的动物的睾丸、精子发生和生育能力具有保护和治疗作用。目的:本研究旨在探讨肉桂对高脂饮食(HFD)喂养的白化大鼠睾丸的保护作用。选择40只成年雄性白化大鼠,平均分为4组。第1组:该组动物喂食标准饮食。第2组:大鼠喂食标准饮食和肉桂“15%重量比,w/w”,持续8周。第3组:该组动物喂食高脂饮食(2%胆固醇、15%蔗糖、15%玉米、15%可可脂、淀粉和4.7%纤维素),持续8周。第4组:该组动物喂食高脂饮食和肉桂。在4周结束时,处死一半动物,其余动物在8周结束时处死,并采集血样检测睾酮水平。同时取出睾丸,准备进行组织学和超微结构研究。对高脂饮食喂养动物的睾丸组织进行组织学检查发现许多病理变化,包括生精小管退化、生发层扭曲和间质组织出现退化并伴有管间出血。超微结构观察显示严重的退化特征,包括不同类型的精原细胞和间质组织。另一方面,在高脂饮食和肉桂喂养4周的肥胖动物中,组织学和超微结构改变均得到了显著但不完全的保护,而在相同处理8周后组织改善程度更高。此外,与高脂饮食喂养的动物相比,睾酮水平显著升高。本研究得出结论,肉桂饮食摄入可能改善高脂饮食诱导的睾丸损伤,因为它具有抗炎、抗肥胖和抗氧化活性。

https://cdn.ncbi.nlm.nih.gov/pmc/blobs/6caf/7695915/237ee7045d89/gr1.jpg

文献AI研究员

20分钟写一篇综述,助力文献阅读效率提升50倍。

立即体验

用中文搜PubMed

大模型驱动的PubMed中文搜索引擎

马上搜索

文档翻译

学术文献翻译模型,支持多种主流文档格式。

立即体验