Suppr超能文献

环状 RNA hsa_circRNA_104348 通过调控 miR-187-3p/RTKN2 轴和激活 Wnt/β-catenin 通路促进肝癌进展。

CircRNA hsa_circRNA_104348 promotes hepatocellular carcinoma progression through modulating miR-187-3p/RTKN2 axis and activating Wnt/β-catenin pathway.

机构信息

Department of General Surgery, The Fifth Affiliated Hospital of Guangzhou Medical University, 510700, Guangzhou City, Guangdong Province, China.

Phase I Clinical Trial Center, The Fifth Affiliated Hospital of Guangzhou Medical University, 510700, Guangzhou City, Guangdong Province, China.

出版信息

Cell Death Dis. 2020 Dec 14;11(12):1065. doi: 10.1038/s41419-020-03276-1.

Abstract

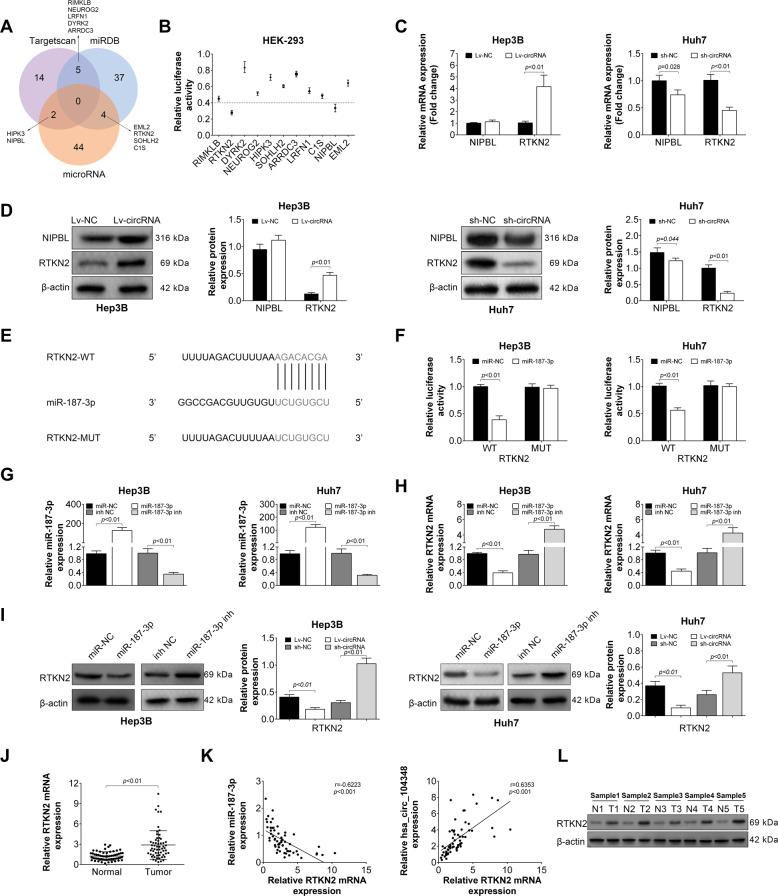
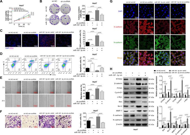
Circular RNAs (circRNAs) have confirmed to participate in diverse biological functions in cancer. However, the expression patterns of circRNAs on hepatocellular carcinoma (HCC) remains unclear. In the present study, we clarified that hsa_circRNA_104348 was dramatically upregulated in HCC tissues and cells. Patients with HCC displaying high hsa_circRNA_104348 level possessed poor prognosis. Has_circ_104348 facilitated proliferation, migration, and invasion, meanwhile suppressed apoptosis of HCC cell. Furthermore, hsa_circRNA_104348 directly targeted miR-187-3p, could regulate miR-187-3p to affect proliferation, migration, invasion, and apoptosis of HCC cells, and may have effect on Wnt/β-catenin signaling pathway. Moreover, RTKN2 could be a direct target of miR-187-3p. In addition, knockdown of hsa_circRNA_104348 attenuated HCC tumorigenesis and lung metastasis in vivo. Taken together, these findings indicated that circular RNA hsa_circRNA_104348 might function as a competing endogenous RNA (ceRNA) to promotes HCC progression by targeting miR-187-3p/RTKN2 axis and activating Wnt/β-catenin pathway.

摘要

环状 RNA(circRNAs)已被证实参与癌症中的多种生物学功能。然而,circRNAs 在肝细胞癌(HCC)中的表达模式尚不清楚。在本研究中,我们阐明 hsa_circRNA_104348 在 HCC 组织和细胞中显著上调。hsa_circRNA_104348 水平高的 HCC 患者预后不良。Has_circ_104348 促进 HCC 细胞的增殖、迁移和侵袭,同时抑制细胞凋亡。此外,hsa_circRNA_104348 可直接靶向 miR-187-3p,调节 miR-187-3p 影响 HCC 细胞的增殖、迁移、侵袭和凋亡,并可能对 Wnt/β-catenin 信号通路有影响。此外,RTKN2 可能是 miR-187-3p 的直接靶标。此外,hsa_circRNA_104348 的敲低可减弱体内 HCC 肿瘤发生和肺转移。总之,这些发现表明环状 RNA hsa_circRNA_104348 可能通过靶向 miR-187-3p/RTKN2 轴和激活 Wnt/β-catenin 通路,作为竞争内源性 RNA(ceRNA)发挥作用,促进 HCC 的进展。

https://cdn.ncbi.nlm.nih.gov/pmc/blobs/13f5/7734058/f4789990a68b/41419_2020_3276_Fig1_HTML.jpg

文献AI研究员

20分钟写一篇综述,助力文献阅读效率提升50倍。

立即体验

用中文搜PubMed

大模型驱动的PubMed中文搜索引擎

马上搜索

文档翻译

学术文献翻译模型,支持多种主流文档格式。

立即体验