Suppr超能文献

沙特阿拉伯东部省份无症状和有症状 COVID-19 患者的临床特征。

Clinical characteristics of asymptomatic and symptomatic COVID-19 patients in the Eastern Province of Saudi Arabia.

机构信息

Qatif Central Hospital, Ministry of Health, Qatif, Saudi Arabia.

Specialty Internal Medicine and Quality Department, Johns Hopkins Aramco Healthcare, Dhahran, Saudi Arabia; Indiana University School of Medicine, Indiana, USA; Johns Hopkins University School of Medicine, Baltimore, MD, USA.

出版信息

J Infect Public Health. 2021 Jan;14(1):6-11. doi: 10.1016/j.jiph.2020.11.002. Epub 2020 Dec 17.

Abstract

BACKGROUND

The first case of COVID-19 infection in Saudi Arabia was reported in Qatif on March 2nd, 2020. Here, we describe the clinical characteristics of the initial COVID-19 patients in that area.

METHODS

This is an observational study describing the clinical presentation, radiographic and laboratory data of COVID-19 cases.

RESULTS

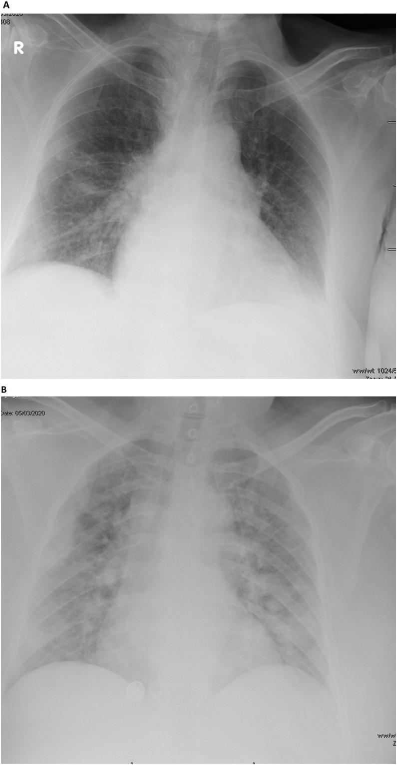
From March 1st, 2020 to April 5th, 2020 we identified a total of 82 adult COVID-19 patients. The median age of the patients was 50 years, with a range of 30 to 60 years and most of patients were female 54 (65.9%). Of all the patients, 29 (35.4%) were contacts and 43 (52.4%) were returning travelers, mainly from Iraq (65% of the total returning travelers). Comorbidities were present in 50% of patients, G6PD deficiency in 33%, hypertension in 27%, and diabetes mellitus in 26%. Chest radiographs were abnormal in 46% of symptomatic and 15.5% of asymptomatic patients (P value = 0.0035). Of all patients, 4 (4.87%) required intensive care admission. There was no significant difference in time to negative RT-PCR with mean days to negativity of 13.6 and 16.9 for asymptomatic and symptomatic group, respectively (P value = 0.42).

CONCLUSIONS

In the initial Epicenter of the COVID-19 in Saudi Arabia, the majority of the patients were asymptomatic and were returning travelers. Comorbidities were present in nearly half of the patients.

摘要

背景

2020 年 3 月 2 日,沙特阿拉伯在卡提夫报告了首例 COVID-19 感染病例。在此,我们描述了该地区最初的 COVID-19 患者的临床特征。

方法

这是一项观察性研究,描述了 COVID-19 病例的临床表现、影像学和实验室数据。

结果

从 2020 年 3 月 1 日至 2020 年 4 月 5 日,我们共发现 82 例成年 COVID-19 患者。患者的中位年龄为 50 岁,范围为 30 至 60 岁,大多数为女性(54 例,占 65.9%)。所有患者中,29 例(35.4%)为接触者,43 例(52.4%)为归国旅行者,主要来自伊拉克(归国旅行者总数的 65%)。50%的患者存在合并症,33%存在 G6PD 缺乏症,27%存在高血压,26%存在糖尿病。46%的有症状患者和 15.5%的无症状患者的胸部 X 线异常(P 值=0.0035)。所有患者中,有 4 例(4.87%)需要重症监护病房收治。无症状组和有症状组的 RT-PCR 转阴平均时间分别为 13.6 天和 16.9 天,差异无统计学意义(P 值=0.42)。

结论

在沙特阿拉伯 COVID-19 的最初震中,大多数患者为无症状且为归国旅行者。近一半的患者存在合并症。

https://cdn.ncbi.nlm.nih.gov/pmc/blobs/0de4/7744936/541e7ef4e947/gr1_lrg.jpg

文献AI研究员

20分钟写一篇综述,助力文献阅读效率提升50倍。

立即体验

用中文搜PubMed

大模型驱动的PubMed中文搜索引擎

马上搜索

文档翻译

学术文献翻译模型,支持多种主流文档格式。

立即体验