Suppr超能文献

PLCγ1 抑制驱动的 IL-1β 处理的软骨细胞自噬赋予软骨对骨关节炎的保护作用,涉及 AMPK、Erk 和 Akt。

PLCγ1 inhibition-driven autophagy of IL-1β-treated chondrocyte confers cartilage protection against osteoarthritis, involving AMPK, Erk and Akt.

机构信息

Zhongshan Hospital, Xiamen University, Xiamen, China.

School of Medicine, Xiamen University, Xiamen, China.

出版信息

J Cell Mol Med. 2021 Feb;25(3):1531-1545. doi: 10.1111/jcmm.16245. Epub 2020 Dec 28.

Abstract

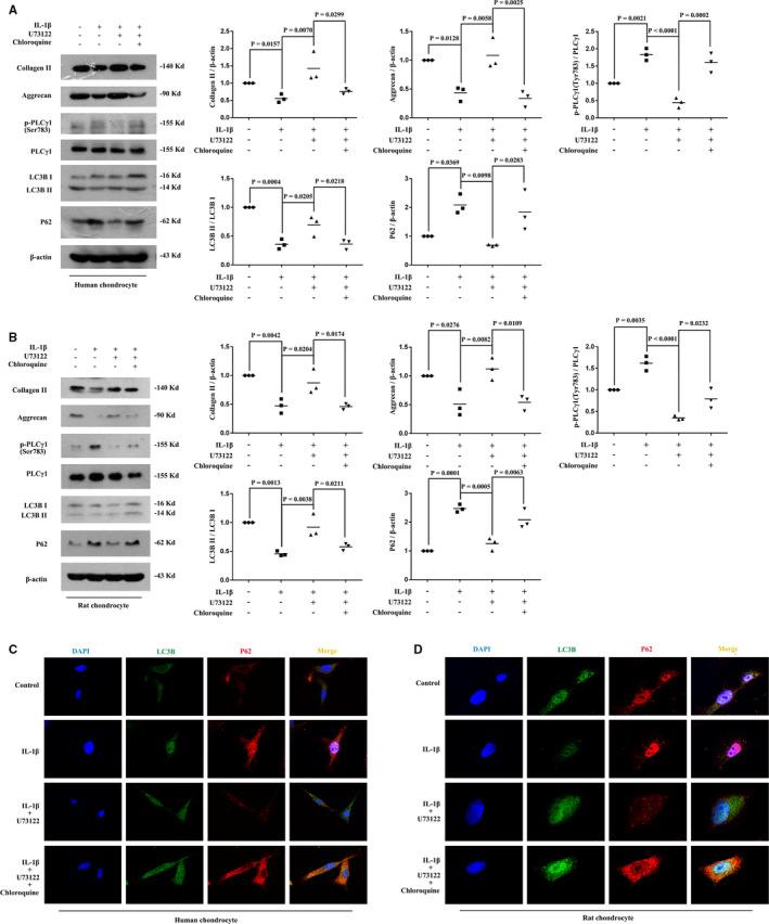
Previous studies identified the involvement of phosphoinositide-specific phospholipase C (PLC) γ1 in some events of chondrocytes. This study aims to investigate whether and how PLCγ1 modulates autophagy to execute its role in osteoarthritis (OA) progression. Rat normal or human OA chondrocytes were pretreated with IL-1β for mimicking or sustaining OA pathological condition. Using Western blotting, immunoprecipitation, qPCR, immunofluorescence and Dimethylmethylene blue assays, and ELISA and transmission electron microscope techniques, we found that PLCγ1 inhibitor U73122 enhanced Collagen II, Aggrecan and GAG levels, accompanied with increased LC3B-II/I ratio and decreased P62 expression level, whereas autophagy inhibitor Chloroquine partially diminished its effect. Meanwhile, U73122 dissociated Beclin1 from Beclin1-IP3R-Bcl-2 complex and blocked mTOR/ULK1 axis, in which the crosstalk between PLCγ1, AMPK, Erk and Akt were involved. Additionally, by haematoxylin and eosin, Safranin O/Fast green, and immunohistochemistry staining, we observed that intra-articular injection of Ad-shPLCγ1-1/2 significantly enhanced Collagen and Aggrecan levels, accompanied with increased LC3B and decreased P62 levels in a rat OA model induced by anterior cruciate ligament transection and medial meniscus resection. Consequently, PLCγ1 inhibition-driven autophagy conferred cartilage protection against OA through promoting ECM synthesis in OA chondrocytes in vivo and in vitro, involving the crosstalk between PLCγ1, AMPK, Erk and Akt.

摘要

先前的研究表明,磷酸肌醇特异性磷脂酶 C(PLC)γ1 参与了软骨细胞的某些事件。本研究旨在探讨 PLCγ1 是否以及如何调节自噬来执行其在骨关节炎(OA)进展中的作用。使用 IL-1β 预处理大鼠正常或人 OA 软骨细胞以模拟或维持 OA 病理状况。通过 Western blot、免疫沉淀、qPCR、免疫荧光和 Dimethylmethylene blue 测定、ELISA 和透射电镜技术,我们发现 PLCγ1 抑制剂 U73122 增强了 Collagen II、Aggrecan 和 GAG 水平,伴随着 LC3B-II/I 比值的增加和 P62 表达水平的降低,而自噬抑制剂氯喹部分削弱了其作用。同时,U73122 使 Beclin1 从 Beclin1-IP3R-Bcl-2 复合物中解离,并阻断了 mTOR/ULK1 轴,其中涉及 PLCγ1、AMPK、Erk 和 Akt 之间的串扰。此外,通过苏木精和伊红、番红 O/快绿和免疫组织化学染色,我们观察到关节内注射 Ad-shPLCγ1-1/2 显著增强了 Collagen 和 Aggrecan 水平,伴随着大鼠 ACL 切断和内侧半月板切除诱导的 OA 模型中 LC3B 的增加和 P62 水平的降低。因此,PLCγ1 抑制驱动的自噬通过促进体内和体外 OA 软骨细胞的 ECM 合成,从而对 OA 发挥软骨保护作用,涉及 PLCγ1、AMPK、Erk 和 Akt 之间的串扰。

https://cdn.ncbi.nlm.nih.gov/pmc/blobs/b28e/7875910/ec4bb2e4a49e/JCMM-25-1531-g001.jpg

文献AI研究员

20分钟写一篇综述,助力文献阅读效率提升50倍。

立即体验

用中文搜PubMed

大模型驱动的PubMed中文搜索引擎

马上搜索

文档翻译

学术文献翻译模型,支持多种主流文档格式。

立即体验