Suppr超能文献

间充质干细胞衍生的外泌体miR-542-3p抑制炎症并预防脑梗死。

Mesenchymal stem cell-derived exosome miR-542-3p suppresses inflammation and prevents cerebral infarction.

作者信息

Cai Guofeng, Cai Guoliang, Zhou Haichun, Zhuang Zhe, Liu Kai, Pei Siying, Wang Yanan, Wang Hong, Wang Xin, Xu Shengnan, Cui Cheng, Sun Manchao, Guo Sihui, Jia Kunping, Wang Xiuzhen, Zhang Dianquan

机构信息

Hanan Branch of Second Affiliated Hospital of Heilongjiang University of Traditional Chinese Medicine, Harbin, 150001, China.

Postdoctoral Research Workstation of Harbin Sport University, Harbin, China.

出版信息

Stem Cell Res Ther. 2021 Jan 6;12(1):2. doi: 10.1186/s13287-020-02030-w.

Abstract

BACKGROUND

Cerebral infarction ranks as the second leading cause of disability and death globally, and inflammatory response of glial cells is the main cause of brain damage during cerebral infarction.

METHODS

Studies have shown that mesenchymal stem cells (MSCs) can secrete exosomes and contribute to cerebral disease. Here, we would explore the function of MSC-derived exosome in cerebral infarction.

RESULTS

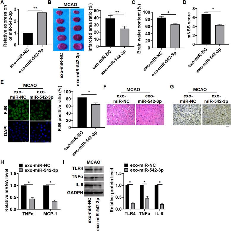
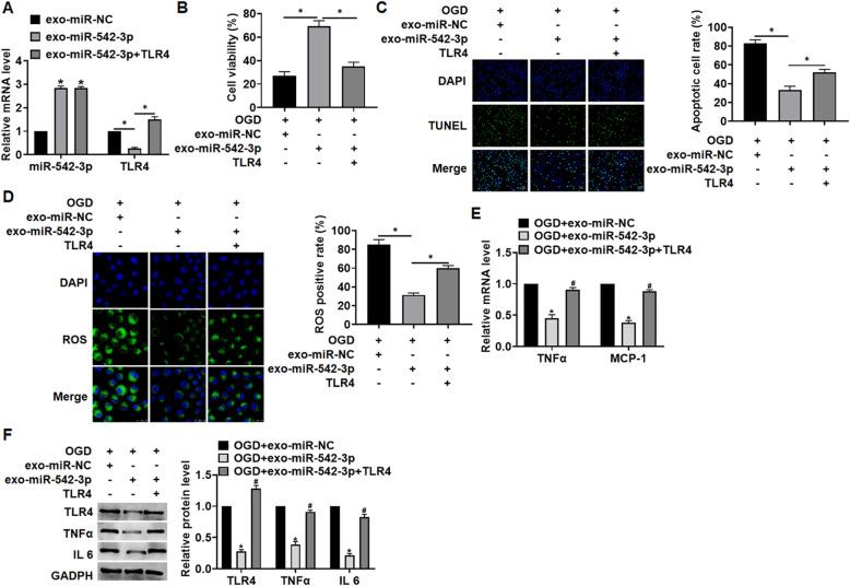
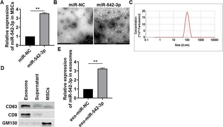
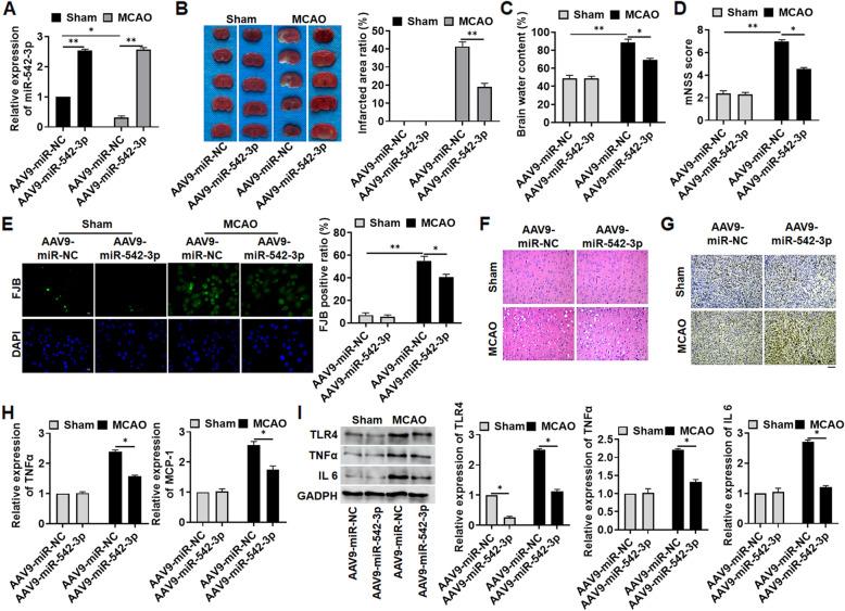
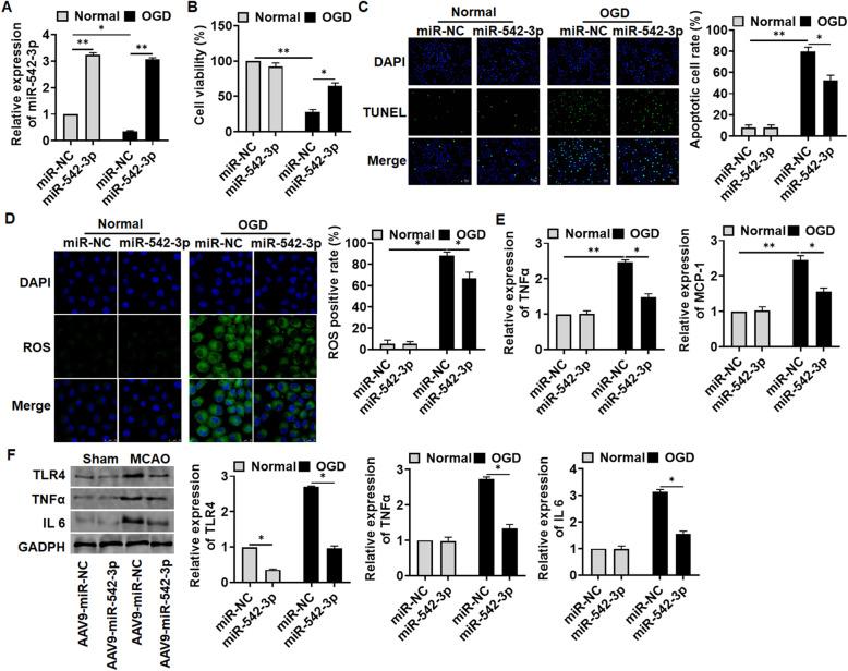
Microarray indicated a decrease of miR-542-3p and an increase of Toll-Like Receptor 4 (TLR4) in middle cerebral artery occlusion (MCAO) mice comparing with sham mice. And luciferase and RIP analysis indicated a binding of miR-542-3p and TLR4. Then, we injected AAV9-miR-542-3p into paracele of sham or MCAO mice. Functional analysis showed that AAV9-miR-542-3p inhibited infarction area and the number of degenerating neurons and suppressed inflammatory factors' expression and inflammatory cell infiltration. As well, transfection of miR-542-3p mimics into HA1800 cells underwent oxygen and glucose deprivation (OGD). Similarly, overexpression of miR-542-3p alleviated OGD induced cell apoptosis, ROS, and activation of inflammation response. Moreover, miR-542-3p could be packaged into MSCs and secreted into HA1800 cells. The extractive exosome-miR-21-3p treatment relieved MCAO- or OGD-induced cerebral injury and inflammation through targeting TLR4.

CONCLUSION

These results confirmed that MSC-derived exosome miR-542-3p prevented ischemia-induced glial cell inflammatory response via inhibiting TLR4. These results suggest possible therapeutic strategies for using exosome delivery of miR-542-3p to cure cerebral ischemic injury.

摘要

背景

脑梗死是全球致残和致死的第二大主要原因,胶质细胞的炎症反应是脑梗死期间脑损伤的主要原因。

方法

研究表明,间充质干细胞(MSC)可分泌外泌体并对脑部疾病产生影响。在此,我们将探索MSC来源的外泌体在脑梗死中的作用。

结果

基因芯片显示,与假手术小鼠相比,大脑中动脉闭塞(MCAO)小鼠中miR-542-3p表达降低,Toll样受体4(TLR4)表达增加。荧光素酶和RIP分析表明miR-542-3p与TLR4存在结合。然后,我们将AAV9-miR-542-3p注射到假手术或MCAO小鼠的侧脑室。功能分析表明,AAV9-miR-542-3p可抑制梗死面积和变性神经元数量,并抑制炎症因子表达和炎症细胞浸润。同样,将miR-542-3p模拟物转染至经历氧糖剥夺(OGD)的HA1800细胞。类似地,miR-542-3p的过表达减轻了OGD诱导的细胞凋亡、活性氧(ROS)以及炎症反应的激活。此外,miR-542-3p可被包装到MSC中并分泌到HA1800细胞中。提取的外泌体-miR-21-3p处理通过靶向TLR4减轻了MCAO或OGD诱导的脑损伤和炎症。

结论

这些结果证实,MSC来源的外泌体miR-542-3p通过抑制TLR4预防缺血诱导的胶质细胞炎症反应。这些结果提示了利用外泌体递送miR-542-3p治疗脑缺血损伤的可能治疗策略。

https://cdn.ncbi.nlm.nih.gov/pmc/blobs/fb0d/7786953/661a071adef9/13287_2020_2030_Fig1_HTML.jpg

文献AI研究员

20分钟写一篇综述,助力文献阅读效率提升50倍。

立即体验

用中文搜PubMed

大模型驱动的PubMed中文搜索引擎

马上搜索

文档翻译

学术文献翻译模型,支持多种主流文档格式。

立即体验