Suppr超能文献

苯并吡唑并[3,4-d]嘧啶基胰岛素样生长因子受体/Src/Axl 靶向小分子激酶抑制剂的开发。

Development of the phenylpyrazolo[3,4-]pyrimidine-based, insulin-like growth factor receptor/Src/AXL-targeting small molecule kinase inhibitor.

机构信息

Creative Research Initiative Center for concurrent control of emphysema and lung cancer, College of Pharmacy, Seoul National University, Seoul 08826, Republic of Korea.

College of Pharmacy and Research Institute of Pharmaceutical Sciences, Seoul National University, Seoul 08826, Republic of Korea.

出版信息

Theranostics. 2021 Jan 1;11(4):1918-1936. doi: 10.7150/thno.48865. eCollection 2021.

Abstract

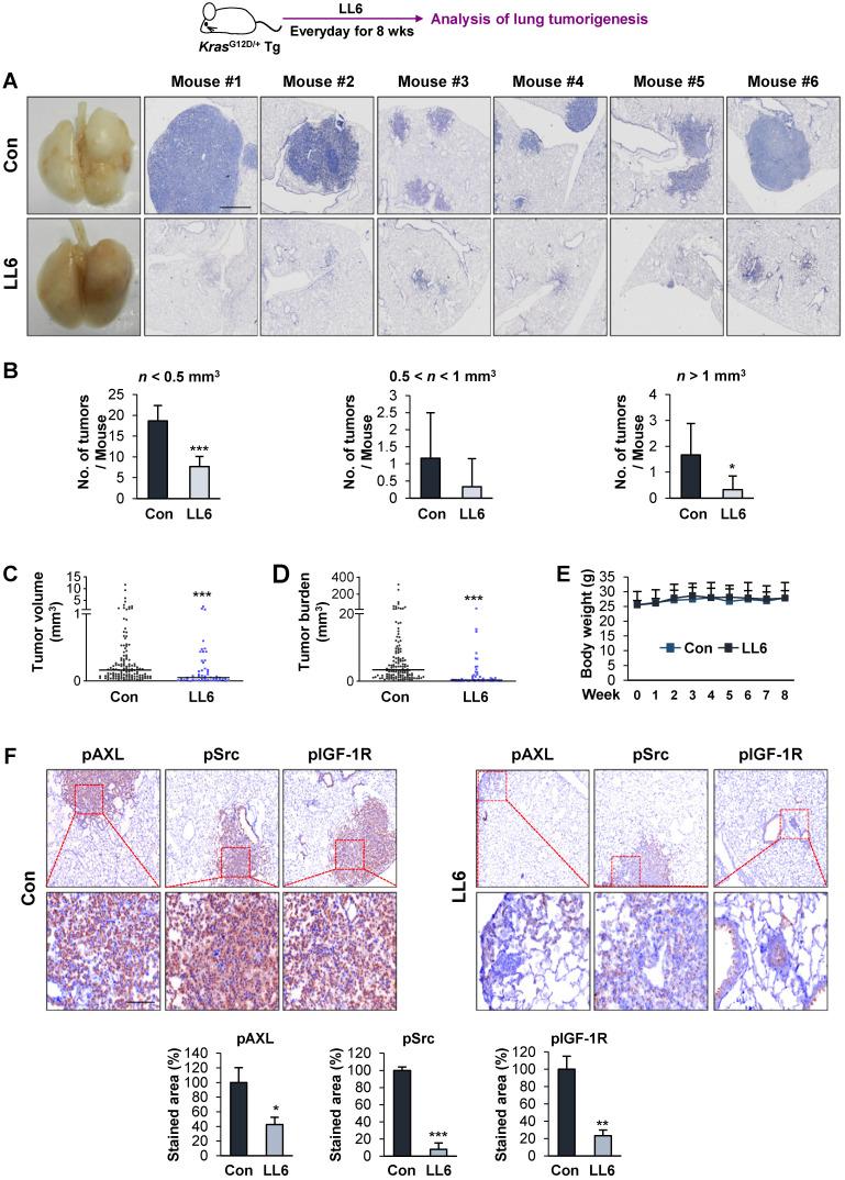
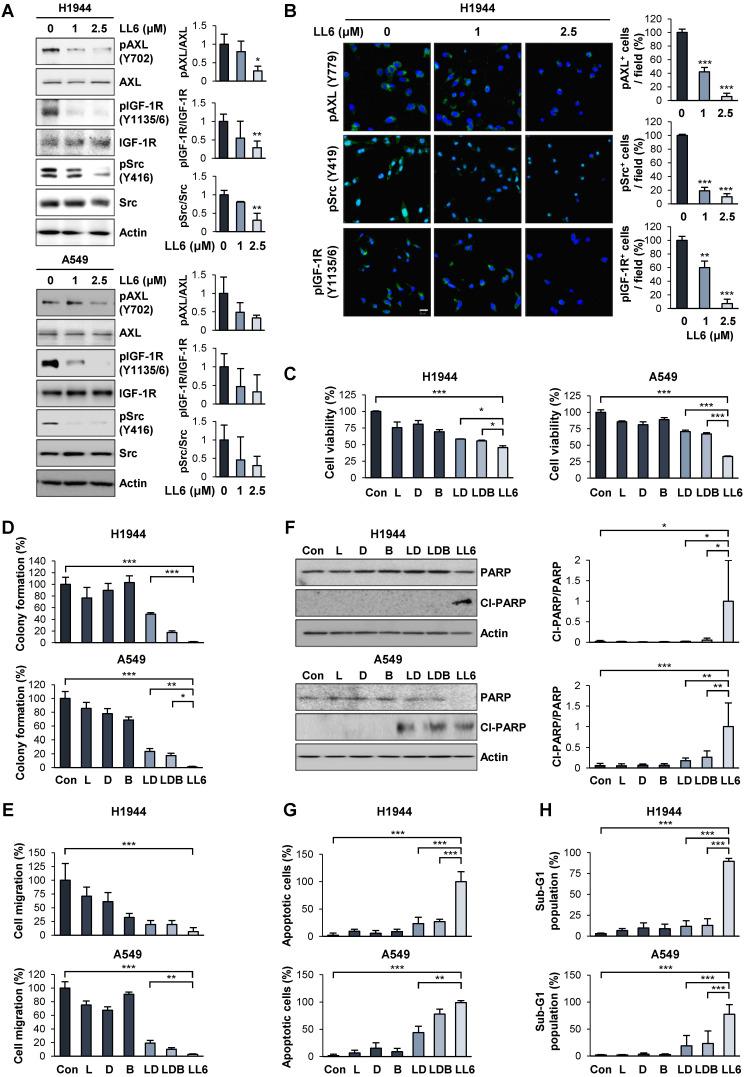
The type I insulin-like growth factor receptor (IGF-1R) signaling pathway plays key roles in the development and progression of numerous types of human cancers, and Src and AXL have been found to confer resistance to anti-IGF-1R therapies. Hence, co-targeting Src and AXL may be an effective strategy to overcome resistance to anti-IGF-1R therapies. However, pharmacologic targeting of these three kinases may result in enhanced toxicity. Therefore, the development of novel multitarget anticancer drugs that block IGF-1R, Src, and AXL is urgently needed. We synthesized a series of phenylpyrazolo[3,4-]pyrimidine (PP)-based compounds, wherein the PP module was conjugated with 2,4-bis-arylamino-1,3-pyrimidines (I2) via a copper(I)-catalyzed alkyne-azide cycloaddition reaction. To develop IGF-1R/Src/AXL-targeting small molecule kinase inhibitors, we selected LL6 as an active compound and evaluated its antitumor and antimetastatic effects and using the MTT assay, colony formation assays, migration assay, flow cytometric analysis, a tumor xenograft model, the -driven spontaneous lung tumorigenesis model, and a spontaneous metastasis model using Lewis lung carcinoma (LLC) allografts. We also determined the toxicity of LL6 and . LL6 induced apoptosis and suppressed viability and colony-forming capacities of various non-small cell lung cancer (NSCLC) cell lines and their sublines with drug resistance. LL6 also suppressed the migration of NSCLC cells at nontoxic doses. Administration of LL6 in mice significantly suppressed the growth of NSCLC xenograft tumors and metastasis of LLC allograft tumors with outstanding toxicity profiles. Furthermore, the multiplicity, volume, and load of lung tumors in transgenic mice were substantially reduced by the LL6 treatment. Our results show the potential of LL6 as a novel IGF-1R/Src/AXL-targeting small molecule kinase inhibitor, providing a new avenue for anticancer therapies.

摘要

I 型胰岛素样生长因子受体(IGF-1R)信号通路在多种人类癌症的发生和发展中发挥着关键作用,而 Src 和 AXL 已被发现赋予了对 IGF-1R 治疗的耐药性。因此,共同靶向 Src 和 AXL 可能是克服对 IGF-1R 治疗耐药性的有效策略。然而,这些三种激酶的药理学靶向可能会导致毒性增强。因此,迫切需要开发新型多靶抗癌药物来阻断 IGF-1R、Src 和 AXL。

我们合成了一系列苯并吡唑并[3,4-d]嘧啶(PP)基化合物,其中 PP 模块通过铜(I)催化的炔烃-叠氮环加成反应与 2,4-双芳基氨基-1,3-嘧啶(I2)连接。为了开发 IGF-1R/Src/AXL 靶向小分子激酶抑制剂,我们选择 LL6 作为活性化合物,并使用 MTT 测定法、集落形成测定法、迁移测定法、流式细胞术分析、肿瘤异种移植模型、驱动的自发性肺肿瘤发生模型和自发转移模型评估其抗肿瘤和抗转移作用使用 Lewis 肺癌(LLC)同种异体移植。我们还确定了 LL6 的毒性。

LL6 诱导各种非小细胞肺癌(NSCLC)细胞系及其耐药亚系的细胞凋亡,并抑制其活力和集落形成能力。LL6 还以非毒性剂量抑制 NSCLC 细胞的迁移。在小鼠中给予 LL6 可显著抑制 NSCLC 异种移植肿瘤的生长和 LLC 同种异体移植肿瘤的转移,且具有出色的毒性特征。此外,LL6 治疗还显著减少了转基因小鼠肺部肿瘤的多发性、体积和负荷。

我们的研究结果表明,LL6 具有作为新型 IGF-1R/Src/AXL 靶向小分子激酶抑制剂的潜力,为癌症治疗提供了新的途径。

https://cdn.ncbi.nlm.nih.gov/pmc/blobs/6e9f/7778606/a21f5e63569c/thnov11p1918g001.jpg

文献AI研究员

20分钟写一篇综述,助力文献阅读效率提升50倍。

立即体验

用中文搜PubMed

大模型驱动的PubMed中文搜索引擎

马上搜索

文档翻译

学术文献翻译模型,支持多种主流文档格式。

立即体验